矫正牙齿是改善口腔功能与美观的常见手段,通过佩戴矫治器逐步调整牙齿位置,帮助患者获得整齐的牙列和健康的咬合,部分人在矫正过程中或结束后,可能会出现牙根裸露的问题,即牙龈萎缩导致牙根部分暴露,这不仅影响美观,还可能引发牙齿敏感等不适,牙根裸露究竟与矫正牙齿有何关联?又该如何科学应对呢?
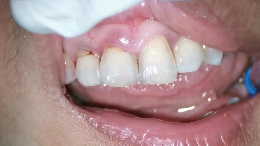
牙根裸露的本质是牙龈组织的退缩,使原本被牙龈包裹的牙根表面暴露出来,牙齿表面覆盖着一层牙釉质,是最坚硬的组织,但牙根表面覆盖的是牙骨质,下方连接着敏感的牙本质,一旦暴露,外界刺激(冷、热、酸、甜)容易通过牙本质小管传递至牙髓,引发敏感症状,在矫正牙齿时,牙齿需要在牙槽骨内移动,牙槽骨会随之发生改建——受压侧骨吸收,牵引侧骨增生,若矫正力度过大、移动速度过快,或患者自身牙槽骨条件较差(如骨量不足、骨质疏松),可能导致牙槽骨过度吸收,进而牵连牙龈组织,使其失去支撑而萎缩,形成牙根裸露。

除了矫正过程中的力学因素,其他原因也可能加剧牙根裸露,矫正前若存在未控制的牙周炎(牙龈炎进展到牙周组织感染),会导致牙槽骨 already 吸收,牙龈萎缩,此时矫正可能进一步加重问题;矫正期间口腔卫生维护不当,牙菌斑堆积引发牙龈炎症,长期炎症会破坏牙龈附着;个体差异(如天生牙龈薄、牙根形态异常)和不良习惯(如刷牙用力过猛、咬硬物)也是诱因。
牙根裸露的影响不容忽视,首先是牙齿敏感,患者可能在进食冷饮、甜食或刷牙时感到酸痛,影响生活质量;其次是美观问题,暴露的牙根呈淡黄色,与牙冠颜色差异明显,尤其在前牙区会影响笑容;长期未处理,牙根持续暴露可能导致牙根面龋坏(牙根蛀牙),严重时甚至引发牙齿松动、脱落,威胁口腔健康。
为避免矫正过程中出现牙根裸露,科学预防至关重要,以下是不同阶段的预防要点:
| 阶段 | 具体措施 | 注意事项 |
|---|---|---|
| 矫正前 | 进行全面的牙周检查,包括牙周探诊、X光片评估牙槽骨情况;治疗 existing 牙周炎 | 若有骨吸收或牙龈萎缩,需先控制牙周炎症再开始矫正 |
| 矫正中 | 选择专业正畸医生,采用轻柔矫正力,避免快速移动牙齿;佩戴保持器时注意力度 | 定期复诊(1-2个月/次),医生会监测牙齿移动和牙龈状态,及时调整方案 |
| 矫正后 | 坚持正确刷牙(巴氏刷牙法),使用牙线、冲牙器清洁牙缝;避免咬硬物(坚果、骨头) | 每半年进行一次口腔检查和洁牙,维护牙周健康 |
若矫正期间已出现牙根裸露,需及时就医,轻度敏感可使用脱敏牙膏(含硝酸钾、氟化物成分),减少刺激;中度以上需进行牙周治疗,如龈下刮治清除牙菌斑、根面平整平整牙根表面,促进牙龈重新附着;严重牙龈萎缩可能需行牙龈移植术,从口腔其他部位(如上颚)取部分牙龈组织,覆盖暴露牙根,矫正医生会评估牙根吸收情况,必要时调整矫治力,避免进一步损伤。

FAQs
-
矫正牙齿一定会导致牙根裸露吗?
不一定,牙根裸露的发生与个体条件、矫正方案设计、口腔卫生维护等多种因素相关,若矫正前牙周健康、医生操作规范、患者配合维护口腔卫生,多数人不会出现明显牙根裸露,目前临床数据显示,正畸治疗后牙根吸收的发生率约为5%-10%,且多数为轻微吸收,不影响牙齿功能。 -
矫正期间如何判断自己是否有牙根裸露的迹象?
可通过以下症状初步判断:牙齿对冷热酸甜刺激敏感(尤其是咬合时)、牙龈边缘退缩(牙缝变大、牙根变长)、刷牙时牙龈出血或疼痛、牙齿出现松动感,若出现上述情况,应及时复诊,让医生通过牙周探诊、X光片等检查明确诊断。

