拜博口腔网

  • 矫正牙齿会导致牙根裸露吗?原因和应对方法是什么?

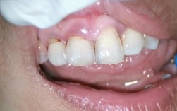
    矫正牙齿会导致牙根裸露吗?原因和应对方法是什么?

    矫正牙齿是改善口腔功能与美观的常见手段,通过佩戴矫治器逐步调整牙齿位置,帮助患者获得整齐的牙列和健康的咬合,部分人在矫正过程中或结束后,可能会出现牙根裸露的问题,即牙龈萎缩导致牙根部分暴露,这不仅影响美观,还可能引发牙齿敏感等不适,牙根裸露...

    2026-01-19
    16 0 0
  • 1 / 1
  • 1