牙齿矫正是通过外力调整牙齿位置、改善咬合关系及面部美观的常用治疗方法,但在矫正过程中,部分患者会出现牙齿脱矿问题,影响口腔健康,牙齿脱矿是指牙釉质表层矿物质(如钙、磷)溶解流失,导致牙齿表面出现白垩色斑点、硬度下降,若不及时干预,可能进一步发展为龋齿,本文将详细分析牙齿矫正与牙齿脱矿的关系、脱矿的原因、表现、危害及防治措施,帮助患者科学应对矫正期间的口腔问题。
牙齿矫正为何容易引发牙齿脱矿?
牙齿矫正过程中,牙齿脱矿的风险主要与以下因素相关:

口腔清洁难度增加
牙齿矫正需在牙齿表面粘贴托槽、弓丝等附件,这些附件会占据牙齿部分表面,并形成“托槽-牙齿”间隙,成为食物残渣和细菌堆积的“隐蔽角落”,普通牙刷难以彻底清洁托槽周围,尤其是牙龈缘和邻面区域,导致局部菌斑积聚,细菌代谢食物中的糖分产酸,长期酸性环境会破坏牙釉质的矿物质平衡,引发脱矿。
矫正过程中的口腔环境变化
矫正期间,部分患者因牙齿移动、附件刺激等出现牙龈轻微肿胀、敏感,可能减少刷牙次数或力度;部分青少年患者依从性较差,未能掌握正确的正畸清洁方法,导致口腔卫生维护不到位,若矫正期间饮食中糖分摄入过高(如频繁饮用碳酸饮料、食用黏性甜食),会加速细菌产酸,进一步增加脱矿风险。
唾液缓冲作用减弱
唾液是口腔天然的“清洁剂”,可通过冲刷作用清除食物残渣,其中的氟离子、钙磷离子可促进牙釉质再矿化,但矫正期间,部分患者因佩戴矫治器张口呼吸增多,导致唾液分泌量减少、流速变慢,局部缓冲能力下降,酸性物质更易滞留牙齿表面,诱发脱矿。
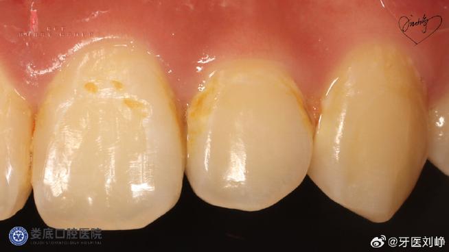
牙齿脱矿的表现与危害
牙齿脱矿初期症状隐匿,需仔细观察,常见表现包括:

- 白垩色斑块:牙齿表面(尤其是托槽周围)出现边界不清的白色或淡黄色斑点,刷牙后无法擦除,是脱矿的典型特征;
- 牙齿敏感:对冷、热、酸、甜刺激出现短暂刺痛,严重时 even 空气刺激也会引发不适;
- 表面粗糙:脱矿区域牙釉质失去光泽,用指甲轻刮可有粗糙感。
若脱矿未及时干预,牙釉质缺损会逐渐加深,形成龋洞(蛀牙),甚至引发牙髓炎、根尖周炎等严重并发症,不仅影响矫正效果(如龋坏牙齿可能无法正常移动),还可能导致牙齿永久性损伤。
牙齿矫正期间预防牙齿脱矿的措施
预防是应对牙齿脱矿的核心,需从口腔卫生维护、饮食调整、专业干预三方面入手:
加强口腔清洁,采用“正畸专用清洁工具”
- 正畸专用牙刷:选择小头软毛牙刷,刷毛末端呈圆钝形,可灵活清洁托槽周围及牙龈缘,建议每天刷牙2-3次,每次不少于3分钟,采用“巴氏刷牙法”(刷毛与牙齿呈45°角,轻压牙龈缘水平颤动);
- 牙线/牙缝刷:每日使用正畸专用牙线(含牵引器)或牙缝刷(直径0.4-0.8mm)清除邻面及托槽间隙的食物残渣,牙线需“C”形包绕牙齿侧面,上下刮擦牙面;
- 冲牙器:每天使用1-2次,选择可调节压力的冲牙器,水流对准托槽与牙齿交界处,冲刷残留菌斑,尤其适合佩戴固定矫治器的患者;
- 含氟牙膏/漱口水:使用含氟浓度(1000-1500ppm)的牙膏,每天刷牙时确保牙齿表面充分接触氟离子;可配合含氟漱口水(如0.12%氟化钠溶液),每次含漱30秒,每天1次,不吞咽。
调整饮食习惯,减少口腔酸性环境
- 控制糖分摄入:避免频繁食用糖果、巧克力、饼干等黏性甜食,减少碳酸饮料、果汁等酸性饮品的饮用(如需饮用,使用吸管减少液体与牙齿接触时间,饮用后及时清水漱口);
- 增加钙磷摄入:多喝牛奶、酸奶,食用豆制品、深绿色蔬菜等,补充牙釉质所需的钙、磷元素,促进再矿化;
- 避免咀嚼硬物:矫正期间牙齿移动,咬合力下降,咀嚼硬物(如坚果、骨头)易损伤牙釉质,同时可能损坏矫治器。
定期口腔检查与专业干预
- 每3-6个月复查:矫正期间需定期到正畸科和口腔科复查,医生通过口腔检查、牙片等评估牙齿脱矿情况,早期发现白垩色斑点可及时处理;
- 专业清洁与涂氟:每半年进行1次超声波洁牙(彻底清除菌斑和牙结石),同时由医生进行局部涂氟(含氟凝胶或泡沫),增强牙釉质抗酸能力;
- 早期脱矿处理:若已出现轻度脱矿,可使用含氟材料(如含氟凝胶、树脂渗透剂)进行再矿化治疗,阻止脱矿进展。
牙齿脱矿的处理方法
根据脱矿程度,采取针对性治疗方案:
| 脱矿程度 | 临床表现 | 处理方案 |
|---|---|---|
| 轻度脱矿 | 白垩色斑点,无缺损,无敏感 | 加强口腔卫生,使用含氟牙膏/漱口水,每3个月复查1次,配合专业涂氟再矿化治疗。 |
| 中度脱矿 | 白垩色明显,表面粗糙,轻度敏感 | 树脂渗透治疗(将低黏度树脂渗入脱矿孔隙,阻止矿物质进一步流失),同时进行氟化物封闭。 |
| 重度脱矿(形成龋洞) | 牙齿缺损,明显敏感,可伴疼痛 | 去除腐坏组织,树脂充填修复;若深及牙髓,需根管治疗后桩冠修复,暂停或调整矫正方案。 |
相关问答FAQs
问题1:矫正期间牙齿出现白斑,一定是脱矿吗?需要立即处理吗?
答:牙齿矫正期间出现的白斑多数为脱矿所致,但也需排除早期龋齿、氟斑牙或釉质发育不全等情况,建议尽快到口腔科就诊,医生通过视诊、探诊及牙片检查可明确诊断,若确诊为脱矿,早期干预(如加强清洁、涂氟再矿化)可有效逆转,避免发展为龋齿;若拖延处理,脱矿可能加重,甚至导致矫正中断。
问题2:矫正结束后,脱矿的牙齿能恢复吗?日常如何护理?
答:轻度脱矿(仅白垩色斑点,无缺损)通过长期坚持使用含氟牙膏、保持良好口腔卫生,部分矿物质可重新沉积,牙釉质外观可能改善,但无法完全恢复至正常状态;中重度脱矿(已形成缺损)需通过树脂充填、贴面等修复治疗改善外观和功能,矫正结束后,仍需坚持每天正确刷牙、使用牙线,定期洁牙和口腔检查,避免脱矿复发或出现新的口腔问题。
