在追求健康与美丽的现代社会,口腔健康不仅是身体健康的基石,更是个人形象的重要名片,牙齿的美白与矫正是改善口腔外观、提升自信的两大热门选择,两者分别针对牙齿颜色和排列问题,却常常被一同提及,本文将详细解析牙齿美白与牙齿矫正的核心原理、方法选择、注意事项及两者间的协同关系,帮助读者全面了解这两项口腔美学项目。
牙齿美白:还原牙齿自然洁白
牙齿美白是指通过各种技术手段减轻牙齿表面及深层色素沉着,恢复牙齿自然洁白的过程,牙齿颜色主要由牙釉质和牙本质决定,外源性色素(如茶渍、咖啡渍、烟渍)和内源性色素(如四环素牙、氟斑牙、牙髓坏死导致的变色)是影响美观的主要因素,美白原理可分为两类:一是通过物理摩擦或化学溶解去除表面色素(如美白牙膏、洁牙);二是利用氧化剂(如过氧化氢、过氧化脲)渗透牙釉质,分解深层色素分子(如冷光美白、家庭美白套装)。

目前主流的美白方法包括:
- 冷光美白:在牙齿表面涂抹美白剂,通过冷光照射加速氧化反应,单次治疗可提升3-5个色阶,适合快速改善外源性色素及轻度内源性变色,但可能出现暂时性敏感,术后需避免冷热刺激;
- 家庭美白:通过牙医定制个性化托槽,居家使用低浓度美白剂,周期约2-4周,效果较温和,适合时间充裕、敏感度较低的人群;
- 瓷贴面/树脂贴面:对于重度变色、牙釉质缺损者,通过粘贴薄层瓷或树脂材料覆盖牙齿表面,兼具美白和修复功能,但需磨除少量牙体组织;
- 美白牙膏:添加摩擦剂或化学美白成分,适合日常维护,但效果有限,无法改变深层色素。
并非所有人都适合牙齿美白,如孕妇、哺乳期女性、牙釉质严重缺损者、对美白剂过敏者需谨慎,术后需注意口腔卫生,避免饮用咖啡、红酒等易染色食物,定期复查以维持效果。
牙齿矫正:重塑牙齿排列与咬合功能
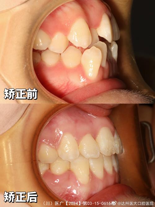
牙齿矫正是通过施加持续、轻柔的生物力,引导牙齿在牙槽骨内移动,最终达到排列整齐、咬合协调的目的,其核心原理是“牙槽骨改建”——牙齿受压侧牙槽骨吸收,受张力侧牙槽骨增生,从而使牙齿在移动过程中保持稳定,矫正不仅能改善美观(如解决“龅牙”“地包天”、牙齿拥挤等问题),更能恢复咀嚼功能,预防牙周病、颞下颌关节紊乱等疾病。
矫正方法多样,各有优劣:

- 传统金属托槽:采用金属托槽和弓丝,性价比高,适用范围广,但美观度较低;
- 陶瓷托槽:托槽颜色接近牙齿,兼顾美观与强度,适合对美观有要求的人群;
- 自锁托槽:减少结扎丝,摩擦力更低,可缩短矫正周期,复诊间隔延长;
- 隐形矫正:通过透明牙套逐步移动牙齿,可自行摘戴,美观舒适,但需严格佩戴(每天20小时以上),价格较高;
- 舌侧矫正:托槽粘贴在牙齿内侧,完全隐形,但对医生技术要求高,费用昂贵,清洁难度大。
矫正适用于多种错颌畸形,包括牙列拥挤、牙列稀疏、深覆合、深覆盖、反颌(“地包天”)、开颌等,最佳矫正年龄为儿童青少年(12-18岁,生长发育高峰期),但成人矫正同样可行,只是可能需要更长时间或结合辅助治疗(如种植体支抗),矫正期间需特别注意口腔卫生,避免过硬、黏性食物,定期复诊调整矫正力,矫正结束后必须佩戴保持器(至少2年),防止牙齿复发移位。
牙齿美白与矫正的协同关系
牙齿美白与矫正并非互斥,反而可协同提升口腔美学,通常建议先进行矫正,再进行美白:矫正过程中牙齿持续移动,美白剂渗透不均匀,且托槽会遮挡部分牙齿,影响美白效果;矫正完成后牙齿排列整齐,美白剂可均匀作用,达到更好的整体美观效果,若牙齿同时存在排列和颜色问题,可先通过矫正改善形态,再通过冷光美白或贴面进一步提升颜色,实现功能与美观的双重改善。
牙齿美白与矫正对比概览
| 维度 | 牙齿美白 | 牙齿矫正 |
|---|---|---|
| 核心目标 | 改善牙齿颜色,去除色素沉着 | 改善牙齿排列及咬合,恢复功能与美观 |
| 主要解决对象 | 外源性/内源性色素(烟渍、氟斑牙等) | 错颌畸形(拥挤、反颌、深覆合等) |
| 常见方法 | 冷光美白、家庭美白、贴面 | 传统托槽、隐形矫正、自锁托槽等 |
| 治疗周期 | 30分钟-2周(单次) | 1-3年 |
| 费用参考 | 500-20000元(贴面较贵) | 8000-80000元(隐形矫正较高) |
| 注意事项 | 敏感管理、避免染色食物 | 口腔卫生、饮食调整、保持器佩戴 |
相关问答FAQs
Q1:牙齿矫正会导致牙齿松动吗?老了会不会更容易掉牙?
A:矫正过程中牙齿会在牙槽骨内移动,出现暂时性松动是正常现象,这是牙槽骨改建的表现,矫正结束后,牙齿在新位置稳定,松动会消失,只要牙根及牙槽骨健康,矫正不会导致牙齿提前脱落,反而通过改善咬合、减轻牙周负担,有助于长期口腔健康。
Q2:牙齿美白后牙齿会变敏感吗?如何缓解?
A:部分人可能在美白后出现暂时性敏感(冷热刺激不适),通常1-3周内缓解,原因是美白剂渗透牙釉质,刺激牙本质小管,可通过使用抗敏感牙膏(含硝酸钾、氟化物)、避免冷热饮食、咨询医生使用脱敏剂等方式改善,若敏感持续,需及时排查牙釉质缺损等问题。

