牙齿矫正是通过外力引导牙齿在牙槽骨内移动,最终达到排列整齐、咬合协调的目的,而这一过程的核心基础是牙槽骨的改建能力,牙槽骨作为包围和支持牙齿的颌骨组织,具有高度的代谢活性,在牙齿移动过程中会不断发生“吸收与重建”——受压侧的牙槽骨被破骨细胞吸收,牵引侧则由成骨细胞形成新骨,这种动态平衡是矫正成功的生理保障,部分患者在矫正过程中或矫正后可能出现“牙槽骨增生”现象,这一概念既包含正常的生理性改建,也可能涉及病理性变化,需结合具体情况分析。
牙槽骨增生的生理与病理机制
牙槽骨增生本质上是骨组织对机械力刺激的响应,其核心是成骨细胞与破骨细胞的活性平衡,在牙齿矫正中,当矫治器(如托槽、弓丝)对牙齿施加持续、轻柔的牵引力时,牙齿周围的牙周膜受到牵拉,会释放多种生长因子(如BMP、TGF-β),刺激牙槽骨内壁的成骨细胞分化增殖,在牵引侧形成新骨,使牙槽骨宽度增加、高度调整,以适应牙齿的新位置,这种增生是矫正目标实现的必要过程,通常表现为牙槽骨密度的适度升高、骨小梁排列更规则,属于“生理性增生”。

但若增生过度或发生在异常位置,则可能发展为“病理性增生”,其发生与多种因素相关:一是矫治力不当,如力量过大或持续时间过长,导致牙槽骨过度修复,形成骨赘或骨皮质增厚;二是患者个体差异,如青少年患者骨改建活跃,若矫正方案未充分考虑生长潜力,可能出现代偿性增生;三是全身性疾病影响,如甲状旁腺功能亢进、成骨不全等骨代谢异常疾病,会干扰骨吸收与重建的平衡,导致异常骨增生;四是局部因素,如牙周炎未得到控制,炎症刺激骨组织过度增生,或矫正过程中口腔卫生不佳,引发牙槽骨感染性增生。
牙槽骨增生的临床表现与影响
生理性牙槽骨增生通常无明显临床症状,通过影像学检查(如X光片、CBCT)可观察到牙槽骨形态逐渐规则,密度均匀升高,牙齿移动稳定,属于矫正过程中的正常现象,而病理性增生则可能带来一系列问题:
牙齿移动异常:过度增生的牙槽骨密度过高,会阻碍牙齿在预期方向上的移动,导致矫正效率下降,牙齿排齐或内收速度缓慢,甚至停滞,在拔牙矫正病例中,若支抗牙牙槽骨过度增生,可能导致支抗丧失,影响前牙内收效果。
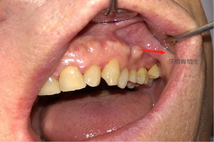
牙周组织损伤:病理性增生常伴随牙槽骨形态异常,如骨皮质增厚、牙槽嵴顶凸起,可能压迫牙龈组织,导致牙龈退缩、牙根暴露,或形成“骨刺”刺激牙龈,引发牙龈炎、牙周袋形成,影响牙周健康。

矫正后复发风险:若牙槽骨增生不均匀,牙齿移动后周围骨组织未能形成稳定的支持结构,可能导致矫正后牙齿移位复发,牙槽骨增生不足的部位,牙齿缺乏骨性约束,易回到原位;而增生过度部位则可能限制牙齿在三维方向上的稳定。
功能与美观影响:严重的牙槽骨增生可能导致牙根吸收(因骨组织与牙根粘连)、咬合干扰,或牙龈形态异常(如牙龈增生、不对称),影响面部美观和咀嚼功能。
牙槽骨增生的预防与处理策略
牙槽骨增生的预防需从矫正方案设计、矫治过程控制及患者管理三方面综合入手:
个性化矫正方案设计:矫正前需通过影像学检查(如CBCT、全景片)评估患者牙槽骨的厚度、密度及形态,特别是对于骨密度异常(如过高或过低)、存在骨代谢疾病风险的患者,需制定差异化方案,骨密度高的患者可采用轻力矫治(如隐形矫正的渐进式移动),避免过大力量刺激;拔牙病例需精确计算支抗,防止支抗牙牙槽骨代偿性增生。

合理控制矫治力:遵循“生物力矫治原则”,使用持续、轻柔的力量(通常每颗牙齿的力量控制在50-200g),避免“急功近利”的快速移动,定期复诊调整矫治器,监测牙齿移动速度和牙槽骨改建情况(通过X光片观察骨密度变化),及时调整力值和移动方向。
加强口腔卫生与全身健康管理:矫正期间患者需严格保持口腔卫生,使用正畸专用牙刷、冲牙器等清洁牙面,预防牙周炎;对于有骨代谢疾病(如糖尿病、甲状旁腺功能异常)的患者,需先控制原发病,待骨代谢稳定后再开始矫正。
病理性增生的处理:若已出现病理性增生,需根据严重程度采取不同措施:轻度增生可通过调整矫治力、延长保持时间(如佩戴保持器至骨改建稳定);中度增生需辅助药物治疗(如使用抑制骨吸收的双膦酸盐类药物,需在医生指导下使用);重度增生则可能需手术干预,如骨修整术(去除过度增生的骨组织)、牙槽骨引导再生术(引导骨组织有序重建),以恢复牙槽骨正常形态。
牙槽骨增生的生理与病理特征对比
为更清晰区分生理性与病理性牙槽骨增生,可通过下表总结其核心差异:
| 特征 | 生理性增生 | 病理性增生 |
|---|---|---|
| 发生原因 | 正常矫治力刺激,牙槽骨适应性改建 | 矫治力过大、骨代谢异常、炎症刺激等 |
| 骨密度变化 | 均匀升高,骨小梁排列规则 | 局部密度过高或过低,骨小梁紊乱 |
| 牙齿移动 | 速度正常,方向符合预期 | 移动缓慢、停滞或方向偏离 |
| 临床症状 | 无明显不适,影像学显示骨形态逐渐规则 | 牙龈退缩、牙根吸收、咬合异常、疼痛 |
| 处理原则 | 无需特殊处理,继续常规矫正 | 调整矫治力、药物或手术干预 |
相关问答FAQs
Q1:牙齿矫正中牙槽骨增生是好事还是坏事?
A:需区分生理性与病理性增生,生理性增生是牙槽骨对矫治力的正常响应,是牙齿成功移动、矫正效果稳定的基础,属于“好事”;而病理性增生则是异常的骨改建,可能导致牙齿移动困难、牙周损伤等问题,属于“坏事”,需及时干预,矫正过程中,医生会通过定期检查(如X光片、临床评估)判断增生类型,确保其处于生理范围内。
Q2:矫正后牙槽骨增生会自己恢复吗?
A:生理性增生在矫正结束后,随着保持器的佩戴,牙槽骨会进一步改建稳定,骨密度和形态会逐渐趋于正常,无需特殊处理;但病理性增生若不干预,通常无法自行恢复,可能持续影响牙齿稳定性和牙周健康,因矫治力过大导致的骨赘,可能需通过手术修整;而骨代谢疾病引起的增生,则需治疗原发病并结合正畸调整,才能改善骨改建状态。
