牙齿矫正是解决牙齿排列不齐、咬合异常等问题的重要方式,不仅能提升面部美观,还能改善口腔功能,预防龋齿、牙周病等疾病,上海作为国际化大都市,医疗资源丰富,牙齿矫正技术成熟,选择多样,涵盖传统金属托槽、陶瓷托槽、自锁托槽、隐形矫正、舌侧矫正等多种方式,同时公立医院与私立口腔机构并存,满足不同人群的需求。
上海牙齿矫正的主要方式及特点
牙齿矫正的核心原理是通过施加持续、轻柔的力,引导牙齿在牙槽内移动,最终达到排列整齐、咬合协调的目标,目前上海主流的矫正方式各有优劣,适合不同年龄、美观需求及牙齿状况的患者。

传统金属托槽矫正
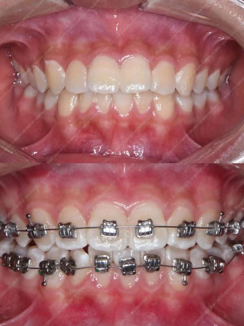
这是最经典、应用最广的矫正方式,通过金属托槽和弓丝将牙齿固定,通过调整弓丝力度实现牙齿移动,其优点是性价比高(价格通常在8000-15000元),适用范围广,几乎适用于所有类型的牙齿畸形,如牙列拥挤、龅牙、地包天等;缺点是美观度较差,托槽和弓丝明显,部分患者可能存在口腔异物感,上海公立医院如上海交通大学医学院附属第九人民医院口腔正畸科、瑞金医院口腔科等均开展此项目,技术成熟,医生经验丰富,适合预算有限或牙齿复杂程度较高的青少年及成人患者。
陶瓷托槽矫正
陶瓷托槽的外观与牙齿颜色接近,托槽材质为透明或牙色陶瓷,兼顾了矫正效果与美观性,被称为“半隐形矫正”,其强度接近金属托槽,但脆性较高,需避免咬硬物,价格略高于金属托槽,约10000-18000元,适合对美观有一定要求,同时牙齿畸形程度中等或复杂的患者,如成人职场人群、青少年学生,上海私立口腔机构如牙博士口腔、瑞尔齿科等普遍提供陶瓷托槽矫正,服务体验较好,预约便捷。
自锁托槽矫正
自锁托槽在传统托槽基础上增加了“闭锁装置”,无需结扎丝或橡皮圈固定弓丝,减少了弓丝与托槽的摩擦力,牙齿移动更高效,复诊间隔可延长至6-8周(传统托槽为4-6周),治疗时间可能缩短3-6个月,分为金属自锁和陶瓷自锁两种,价格约15000-25000元,优点是舒适度高(对口腔黏膜刺激小)、口腔卫生更易维护(无结扎丝藏匿食物残渣),适合对舒适度和效率有要求的患者,如工作繁忙的成人、对疼痛敏感者,上海九院、马泷齿科等机构自锁托槽技术成熟,医生可根据患者情况选择个性化方案。
隐形矫正
隐形矫正采用透明高分子材料制作的牙套,通过3D打印技术定制,每副牙套佩戴1-2周后更换,逐步将牙齿移动至目标位置,其最大优势是美观度高(牙套透明,佩戴后不易察觉)、可自行摘戴(方便进食、清洁),几乎不影响正常生活,代表品牌有隐适美(Invisalign)、时代天使(Angelalign),价格较高,约25000-50000元,适合成人、对美观要求极高的人群,以及牙齿畸形程度中等(如轻度拥挤、牙缝大、轻微龅牙)的患者,上海作为隐形矫正技术领先城市,公立医院如九院与品牌有合作,私立机构如瑞尔齿科、马泷齿科等则提供更灵活的预约和专属服务,但需注意患者需保证每日佩戴时间不少于22小时,否则影响矫正效果。

舌侧矫正
舌侧矫正将托槽和弓丝粘接在牙齿内侧(舌侧面),从外观完全看不到矫正装置,是“隐形度”最高的矫正方式,但其对医生技术要求极高(需个性化定制托槽和弓丝),治疗周期较长(通常2-3年),价格昂贵,约50000-80000元,初期佩戴可能出现舌头不适、发音困难等问题,需适应期,上海仅少数高端机构开展舌侧矫正,如马泷齿科、九院口腔正畸科(专家团队),适合对形象要求极高的公众人物、艺人或追求极致美观的高收入人群。
上海牙齿矫正机构选择建议
上海牙齿矫正机构可分为公立医院和私立口腔机构两大类,各有特点,患者可根据自身需求选择。
公立医院
代表机构:上海第九人民医院、瑞金医院、仁济医院、中山医院等。
优点:权威性强,医生团队多为高校附属医院背景,擅长处理复杂牙齿畸形(如骨性错颌、联合正颌手术等),部分项目(如拔牙、补牙)可医保报销。
缺点:挂号难、排队时间长(尤其专家号),服务流程相对固定,环境和服务体验不如私立机构。
适合人群:牙齿畸形复杂、需联合治疗(如正畸-正颌联合手术)、预算有限且对医保报销有需求的患者。
私立口腔机构
代表机构:牙博士口腔、瑞尔齿科、马泷齿科、佳美口腔等(连锁品牌或本土高端机构)。
优点:预约便捷,服务体验好(一对一咨询、个性化方案设计),环境舒适,部分机构提供分期付款、终身维护等服务;部分高端机构(如马泷齿科)引进国际先进技术(如舌侧矫正、数字化矫正)。
缺点:价格较高,需注意选择正规连锁机构(查看执业许可证、医生资质),避免小型诊所技术不规范风险。
适合人群:对美观、服务体验要求高、预算充足、牙齿畸形程度中等或简单的成人患者。

不同矫正方式对比表
| 矫正类型 | 美观度(1-5星) | 舒适度(1-5星) | 价格范围(元) | 适合人群 | 复诊频率(月) | 代表机构/品牌 |
|---|---|---|---|---|---|---|
| 传统金属托槽 | 8000-15000 | 青少年、复杂畸形、预算有限者 | 1-2 | 九院、瑞金医院 | ||
| 陶瓷托槽 | 10000-18000 | 对美观有要求的中等畸形患者 | 1-2 | 牙博士、瑞尔齿科 | ||
| 自锁托槽 | ★★(金属) | 15000-25000 | 对舒适度、效率有要求者 | 2-3 | 九院、马泷齿科 | |
| 隐形矫正 | 25000-50000 | 成人、美观要求高、简单畸形 | 1-2(换牙套) | 隐适美、时代天使、瑞尔 | ||
| 舌侧矫正 | 50000-80000 | 极致美观需求、高收入人群 | 1-2 | 马泷齿科、九院专家团队 |
选择牙齿矫正的注意事项
- 明确自身需求:优先考虑牙齿畸形程度(复杂程度建议选择公立医院)、美观需求(成人可优先考虑隐形或舌侧)、预算(金属/陶瓷托槽性价比高,隐形/舌侧价格较高)。
- 考察机构资质:无论公立还是私立,需确认机构拥有《医疗机构执业许可证》,医生需具备正畸专业资质(如口腔正畸学硕士/博士毕业、中华口腔医学会正畸专业委员会认证等)。
- 面诊沟通方案:建议选择2-3家机构面诊,通过CBCT、数字化口扫等检查获取详细数据,对比医生方案(如拔牙与否、治疗周期、预期效果),选择沟通顺畅、方案合理的医生。
- 注意口腔维护:矫正期间需加强口腔卫生(使用正畸牙刷、牙缝刷、水牙线),避免蛀牙和牙周炎;避免食用过硬、黏性食物(如坚果、年糕),防止托槽脱落。
相关问答FAQs
问题1:上海牙齿矫正一般需要多少钱?影响价格的因素有哪些?
解答:上海牙齿矫正价格因矫正方式、机构类型、牙齿复杂程度等差异较大,从8000元到80000元不等,主要影响因素包括:
- 矫正方式:金属托槽最便宜(8000-15000元),舌侧矫正最贵(50000-80000元);
- 机构类型:公立医院价格低于私立机构(同类型矫正公立比私立低20%-30%);
- 牙齿畸形程度:简单畸形(如牙列轻度拥挤)价格较低,复杂畸形(如骨性错颌需联合正颌手术)价格较高;
- 医生资质:主任医师、专家团队收费高于普通医生(溢价约5000-20000元);
- 附加治疗:如拔牙、骨钉植入、牙周治疗等,会增加额外费用(约1000-5000元/项)。
问题2:牙齿矫正期间需要注意什么?
解答:牙齿矫正周期较长(通常1.5-3年),期间需注意以下事项:
- 口腔卫生:使用正畸专用牙刷(如小头软毛刷)和牙缝刷清洁托槽周围,配合水牙线冲洗,避免食物残渣堆积导致蛀牙或牙周炎;
- 饮食调整:避免咬硬物(如坚果、螃蟹壳)、黏性食物(如口香糖、奶糖),防止托槽脱落;隐形矫正需摘下牙套进食,避免食用染色食物(如咖啡、咖喱);
- 佩戴附件:隐形矫正需保证每日佩戴时间不少于22小时,否则影响牙齿移动速度;自锁/托槽矫正若托槽脱落,需及时联系医生复诊;
- 定期复诊:按时复诊(通常1-2个月一次),医生会调整弓丝或更换牙套,确保矫正进度;
- 保持器佩戴:矫正结束后需佩戴保持器(建议全天佩戴3-6个月,之后夜间长期佩戴),防止牙齿复发。
