牙齿矫正后,不少人在照镜子时会发现“牙齿变大了”,这种感受其实并非牙齿实际尺寸发生了变化,而是多种因素共同作用下的视觉或感知差异,要理解这一现象,需从牙齿结构、矫正原理、视觉心理及矫正过程中的细节变化等多方面分析。
牙齿的实际尺寸:矫正不会改变牙齿本身大小
牙齿的大小由牙冠(露在牙龈外的部分)和牙根(埋在牙槽骨内的部分)共同决定,其中牙冠的长度、宽度在恒牙萌出后基本固定,矫正过程中无论是通过托槽、钢丝移动牙齿,还是使用隐形牙套施加轻微力,都不会改变牙体硬组织的体积——牙釉质、牙本质的厚度和结构是稳定的,不存在“矫正让牙齿长大或缩小”的生理基础。

为什么会有“牙齿变大”的错觉?关键在于“对比”和“暴露程度”的变化。
视觉错觉:排列整齐后,牙齿“显大”更明显
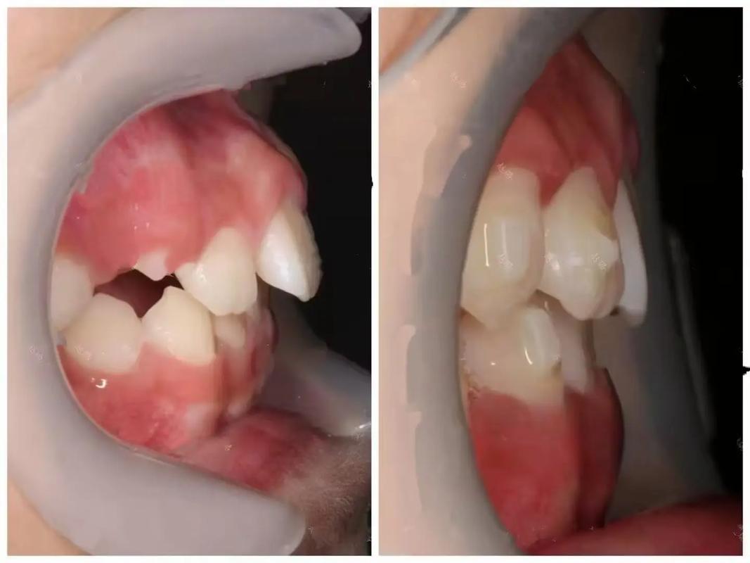
矫正前,许多人的牙齿存在拥挤、错位、扭转等问题:比如牙齿歪斜时会部分重叠,牙冠可能被相邻牙齿遮挡,导致视觉上“看不全”;或者牙齿排列过于紧密,牙与牙之间几乎没有缝隙,牙面显得局促、不突出,这种“混乱”的排列会弱化单个牙齿的存在感,大脑对牙齿大小的感知会因“遮挡”而打折扣。
矫正后,牙齿通过移动被排列整齐,原本歪斜、重叠的牙齿被“解放”,每个牙冠都能完整暴露在视野中,牙面与牙面之间的间隙恢复正常(甚至因去釉处理略微增加),整体“展开”的状态会让牙齿在视觉上显得更大、更饱满,这类似于把一团揉皱的纸展开后,会感觉“面积变大了”,其实纸的总量并未改变,只是呈现方式不同。
牙齿排列整齐后,咬合关系改善,面部肌肉协调性提升,笑容的整体美观度增加,这种“变好看”的积极反馈会放大对牙齿细节的关注,进一步强化“牙齿变大”的主观感受。

牙釉质处理:去釉让牙齿边缘更清晰,视觉上更“突出”
部分矫正案例中,为了解决牙齿轻度拥挤或为内收牙齿创造空间,医生会采用“邻面去釉”(Interproximal Reduction, IPR)技术,即通过精细器械磨除相邻牙齿邻面(牙齿接触面)的少量牙釉质(通常每颗磨除0.2-0.5mm,总量不超过牙釉质厚度的1/3),这一操作不会影响牙齿健康(牙釉质是人体最坚硬的组织,少量磨除后仍有足够保护),但会改变牙齿的轮廓:原本“凸起”的邻面被磨得更平滑,牙齿边缘线条更清晰,牙冠之间的过渡更自然。
去釉后,牙齿在视觉上会显得更“修长”或“立体”,尤其前牙区,原本因拥挤而“挤在一起”的牙齿分开后,牙面的反光面积增加,加上边缘更锐利,大脑会解读为“牙齿变大”,这其实是牙齿形态的微调,而非尺寸增加,类似于把一块方糖的棱角磨圆后,看起来体积似乎变大了,其实质量未变。
托槽拆除后的“反差感”:覆盖物消失,牙齿“原貌”显现
传统矫正中,牙齿表面会粘贴金属或陶瓷托槽,托槽本身有一定厚度(约0.8-1.2mm),会覆盖部分牙面;矫正后期,医生还会在托槽上绑钢丝或使用橡皮圈,这些附件进一步遮挡牙齿细节,矫正结束后拆除托槽,牙齿表面会暴露出原本被覆盖的区域,包括托槽周围的牙釉质(因长期被覆盖,颜色可能略深于其他区域)和完整的牙体形态。
这种“覆盖-暴露”的变化会产生强烈的反差:矫正中,托槽和附件让牙齿看起来“更小、更模糊”(因为视线被分散),拆除后,干净的牙面、清晰的边缘和完整的牙冠轮廓突然呈现,大脑会误以为“牙齿变大了”,这类似于戴眼镜时,镜框会遮挡部分面部皮肤,摘下眼镜后,露出完整的脸,会感觉“脸变大了”,其实只是视野开阔了。

牙龈变化:牙龈退缩或调整,让牙根“显长”,牙齿“变长”
矫正过程中,牙齿移动可能对牙龈产生轻微刺激,尤其是原本存在牙龈炎、牙周炎或牙槽骨吸收的人,可能出现牙龈暂时性退缩(牙龈缘向牙根方向退缩),导致部分牙根暴露,牙根原本被牙龈包裹,暴露后牙齿在视觉上会“变长”,而“变长”常被大脑误读为“变大”。
矫正前如果牙龈增生(如因正畸牙刷不好托槽周围食物残渣刺激),牙龈会覆盖部分牙冠,显得牙齿“短小”;矫正后通过口腔清洁和牙周治疗,牙龈恢复健康,退缩至正常位置,牙冠完全暴露,也会让牙齿看起来“变大”,这种情况其实是牙龈状态的改善,而非牙齿本身变化。
特殊情况:是否伴随牙齿修复或美白?
极少数情况下,矫正后“牙齿变大”可能与矫正无关的其他治疗有关,部分人在矫正后会进行牙齿美白(如冷光美白),美白后牙齿颜色变白,对比度增加,会显得更“醒目”,从而强化“变大”的错觉;或因牙齿缺损(如蛀牙、外伤)在矫正后进行了树脂充填、贴面、牙冠等修复,修复体为了美观可能略微增大牙冠体积,这种情况需区分是矫正本身还是附加治疗导致的变化。
矫正前后牙齿视觉感知对比表
| 对比维度 | 矫正前 | 矫正中 | 矫正后 |
|---|---|---|---|
| 牙齿排列状态 | 拥挤、错位、重叠,部分牙冠被遮挡 | 托槽/附件覆盖牙面,牙齿被“固定”移动 | 牙齿整齐排列,无重叠,牙冠完全暴露 |
| 牙面暴露情况 | 牙面局促,间隙小或无间隙,反光面积小 | 托槽遮挡部分牙面,边缘模糊 | 牙面完整,间隙正常,反光面积增加 |
| 牙龈状态 | 可能因拥挤/增生覆盖部分牙冠 | 可能暂时性刺激牙龈,轻微红肿 | 牙龈恢复健康,退缩至正常位置(或改善) |
| 视觉感知关键词 | “小”“拥挤”“模糊”“不突出” | “被遮挡”“附件多”“不自然” | “大”“整齐”“清晰”“突出” |
牙齿矫正后“牙齿变大”并非实际尺寸变化,而是排列整齐、牙面暴露、去釉处理、托槽拆除、牙龈状态改善等多重因素导致的视觉和感知差异,这种变化本质上是牙齿从“混乱”到“有序”、从“不完整”到“完整”的正常转变,是矫正效果的一部分,无需担心,若对牙齿形态仍有疑虑,可及时与正畸医生沟通,通过口腔检查明确具体原因,排除潜在问题。
相关问答FAQs
Q1:矫正后牙齿看起来变大,是不是医生磨掉了太多牙釉质?
A:不会,邻面去釉是矫正中常见的精细操作,每颗牙齿磨除的牙釉质厚度严格控制在0.5mm以内,仅占牙釉质总厚度的1/4-1/3,不会影响牙齿强度和健康,矫正后牙齿“显大”主要因排列整齐和牙面暴露,而非牙釉质磨除过量,若担心磨除量,可在矫正前通过口腔CT和模型测量与医生确认方案。
Q2:矫正后牙齿变大了,会影响吃饭或咬合吗?
A:不会,牙齿的实际尺寸和咬合功能在矫正前后保持一致,矫正只是移动牙齿位置,调整咬合关系,而非改变牙齿大小或形态,若感觉“变大”后咬合不适,可能是牙齿适应新位置的正常现象(通常1-2周内缓解),若持续不适需复查排除咬合干扰,而非牙齿尺寸问题。
