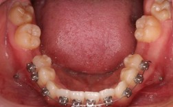
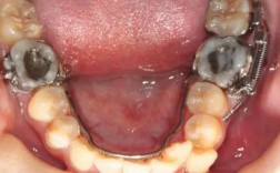
正畸治疗中,钢丝是牙齿移动的核心工具,而“绞钢丝”(通常指直径0.2-0.3mm的不锈钢结扎丝)在大牙(磨牙)区域的运用尤为关键,大牙作为口腔中体积最大、牙根数目多(上颌磨牙3根、下颌磨牙2根)、承担主要咀嚼功能的牙齿,其矫正难度远大于前牙,绞钢丝通过精细的结扎与牵引,在稳定支抗、调整位置、关闭间隙等方面发挥着不可替代的作用。
绞钢丝在大牙的核心作用
大牙的矫正需兼顾功能与稳定,绞钢丝的作用主要体现在四个维度:

稳定支抗,提供移动“支点”
在正畸治疗中,支抗控制是核心难点,尤其当需要前牙内收或后牙移动时,大牙常作为“支抗牙”为其他牙齿移动提供支撑,绞钢丝通过将托槽与带环或托槽紧密结扎,将大牙与整个矫治系统“锁定”,避免其在受力时发生非预期移动,在拔牙矫正中,若需将前牙向内收,绞钢丝会将上颌磨牙结扎在颊面管上,通过弓丝传递的力量,确保磨牙仅发生微小的近中倾斜,而非整体前移,从而为前牙移动提供充足支抗。
关闭拔牙间隙,调整磨牙位置
对于拔除前磨牙的病例,关闭间隙时需通过弓丝与结扎丝的配合,将磨牙向近中移动,绞钢丝在此过程中承担“传递者”角色:它将弓丝产生的牵引力传递至磨牙托槽,推动磨牙移动;通过调整结扎的松紧度(如“滑动法”结扎时保持适度张力,避免力量过大导致牙根吸收),确保磨牙沿预设方向移动(如垂直向压低或近中整体移动),在下颌拔牙病例中,若需将下颌磨牙向近中移动关闭间隙,医生会用0.25mm的绞钢丝将磨牙托槽与弓丝紧密结扎,通过弓丝的“滑动”机制实现间隙关闭。
纠正磨牙扭转与倾斜,实现精细调整
部分患者存在磨牙扭转(如上颌第一磨牙近中颊尖旋转)或倾斜(如磨牙近中倾斜导致咬合紊乱),此时需通过绞钢丝进行“微调”,对于扭转的磨牙,医生可采用“8字结扎”:用一段绞钢丝穿过磨牙托槽的翼部,与邻牙托槽交叉结扎,通过交叉产生的扭转力,逐渐将旋转的牙齿纠正至正常位置;对于倾斜的磨牙,则可通过“垂直结扎”(将钢丝从托槽垂直方向结扎)或“水平结扎”(从水平方向结扎),调整牙齿的倾斜角度,确保咬合接触点均匀。
辅助保持,防止复发
矫正进入后期,牙齿位置稳定至关重要,绞钢丝可通过“连续结扎”方式,将大牙与邻牙或整个牙列固定在一起,通过“牙弓丝+结扎丝”的双重固定,防止牙齿在保持期内发生轻微移位,尤其对于磨牙这类多根牙,牙周改建时间较长(通常需6-12个月),绞钢丝的辅助固定能为牙周组织提供更稳定的恢复环境,降低复发风险。

不同矫正阶段中大牙绞钢丝的应用特点
| 矫正阶段 | 主要作用 | 操作要点 | 钢丝选择 |
|---|---|---|---|
| 排齐与整平期 | 固定托槽,防止脱落 | 结扎力度适中,避免过紧损伤牙釉质或过松导致托槽移位;结扎丝末端需向牙体方向弯折,避免刺激黏膜 | 2mm不锈钢丝(柔韧性好,便于调整) |
| 关闭拔牙间隙期 | 传递牵引力,移动磨牙 | 确保弓丝完全入槽,结扎后弓丝无“翘起”;若需滑动法结扎,结扎圈需留有2-3mm滑动空间 | 25mm不锈钢丝(强度足够,可承受较大牵引力) |
| 精细调整期 | 纠正扭转、倾斜,调整咬合关系 | 配合弹性圈进行“8字结扎”或“垂直结扎”;通过调整结扎角度,精准控制牙齿三维移动方向 | 2mm镍钛丝(弹性佳,持续释放轻柔力量) |
| 保持期 | 辅助稳定牙齿,防止复发 | 与保持器弓丝联合使用,采用连续结扎;结扎后需检查牙齿无松动,咬合无干扰 | 2mm不锈钢丝(稳定性强,不易变形) |
患者护理与注意事项
大牙区域因咀嚼功能频繁,绞钢丝的护理尤为重要:
- 口腔卫生:使用正畸牙刷(刷头小、刷毛软)与牙缝刷,重点清洁大牙托槽周围;配合冲牙器冲洗钢丝缝隙,避免食物残渣堆积导致龋坏或牙龈炎。
- 饮食禁忌:避免啃硬物(如坚果、骨头)、黏性食物(如口香糖、年糕),防止钢丝变形或结扎丝松脱,影响矫正效果。
- 不适处理:若钢丝末端刺激黏膜,可取正畸蜡覆盖钢丝尖端;若出现剧烈疼痛或牙齿松动异常,需及时复诊调整。
相关问答FAQs
Q1:大牙上的绞钢丝经常扎嘴,怎么办?
A:绞钢丝扎嘴多因结扎丝末端未完全埋入托槽沟或过长突出,可先用正畸蜡覆盖刺激部位,暂时缓解不适;若频繁扎嘴,可能是医生结扎时未修剪钢丝,需复诊请医生调整结扎方式或修剪钢丝末端,确保其与牙面平齐,避免刺激黏膜。
Q2:正畸结束后,大牙的绞钢丝需要拆除吗?拆了牙齿会不会松动?
A:矫正结束后,绞钢丝会随整个矫治器(托槽、带环等)一起拆除,拆除后牙齿进入保持阶段,需佩戴保持器(如Hawley保持器或透明保持器),保持器通过包裹牙齿并提供轻微约束,帮助牙周组织改建、稳定牙齿位置,只要遵医嘱佩戴保持器(通常需1-2年),牙齿一般不会因拆除绞钢丝而松动,反而能降低复发风险。

