“40岁还做牙齿矫正”在很多人看来似乎有些“不合时宜”,甚至会被贴上“折腾”“没必要”的标签,但随着口腔健康意识的提升和矫正技术的进步,越来越多中年人选择在这个年龄段“重启”牙齿矫正,40岁并非矫正的“终点站”,反而可能是兼顾功能与健康的“黄金起点”。
为什么40岁还要做牙齿矫正?
牙齿矫正的核心目的从来不只是“美观”,更是解决口腔功能与健康的潜在问题,对于40岁人群而言,矫正的需求往往比青少年更复杂,也更具现实意义。

是健康问题的“倒逼”。 40岁后,口腔问题会逐渐显现:牙齿拥挤可能导致清洁困难,增加龋齿、牙周炎的风险;咬合异常(如深覆合、深覆盖)会加剧牙齿磨耗,甚至引发颞下颌关节紊乱(表现为关节弹响、张口受限、头痛);牙齿排列不齐还可能影响咀嚼效率,加重胃肠负担,有数据显示,我国40岁以上人群中,牙周炎患病率超过80%,而牙齿不齐正是重要诱因之一,矫正牙齿本质上是“重建口腔生态”,通过调整咬合关系,降低牙周病风险,保护剩余牙。
是生活品质的“主动追求”。 随着职场社交、形象管理的需求提升,牙齿美观成为很多中年人的“隐形加分项”,有人因为牙齿外凸不敢在会议上大笑,有人因牙缝大影响自信,矫正不仅能改善面部轮廓(如改善“凸嘴”“瘪嘴”),更能带来心理上的积极改变,矫正后咀嚼效率提升,能更充分地享受食物,这对注重生活品质的中年人而言,是实实在在的幸福。
是医疗技术的“底气支撑”。 过去矫正常被视为“青少年的专利”,一方面是担心成年人骨骼已定型,矫正效果差;另一方面是顾虑“钢牙”影响形象,隐形矫正、舌侧矫正等技术的成熟,让成年人矫正更舒适、美观;而数字化正畸(如3D模拟、方案预演)能精准预测矫正效果,降低风险,可以说,技术进步让40岁矫正“更可行、更安心”。
40岁矫正:优势与挑战并存
与青少年相比,40岁人群做牙齿矫正既有独特优势,也需面对更多现实挑战。

优势在于“配合度高”与“目标明确”。 青少年矫正可能依赖家长督促,而40岁人群是主动选择,能严格遵医嘱(如认真佩戴保持器、注意口腔卫生);他们对矫正效果的预期更理性,不会盲目追求“网红脸”,而是更侧重功能改善与自然美观,医生沟通成本更低,中年人经济基础更稳定,能选择更高价但体验更好的矫正方式(如隐形矫正)。
挑战则集中在“口腔条件”与“时间成本”上。 40岁以上人群常伴随牙周炎、牙槽骨吸收、牙齿磨耗等问题,若牙周炎未控制就强行矫正,可能导致牙齿松动甚至脱落,术前必须进行全面的牙周评估和治疗,待牙周稳定后才能开始矫正,成年人牙槽骨密度较高,牙齿移动速度比青少年慢10%-20%,矫正周期可能延长至2-3年(青少年通常1.5-2年),对耐心是考验,部分人还可能存在颞下颌关节问题、牙齿缺失等复杂情况,需要多学科联合治疗(如配合关节科、修复科)。
矫正方式怎么选?不同方式的优劣势对比
40岁人群对矫正的舒适度、美观度要求更高,选择时需结合自身口腔条件、预算和生活习惯,以下是常见矫正方式的对比:
| 矫正方式 | 优点 | 缺点 | 适用人群 | 参考价格(万元) |
|---|---|---|---|---|
| 传统金属托槽 | 价格低、强度高、适用范围广(复杂病例) | 美观差、“钢牙”明显、口腔异物感强 | 预算有限、牙齿畸形严重者 | 5-3.0 |
| 陶瓷托槽 | 半隐形(托槽透明)、美观度高于金属托槽 | 硬度较低、易染色、部分复杂病例不适用 | 对美观有要求、预算中等者 | 5-4.0 |
| 隐形矫正(如隐适美) | 完全隐形、可摘戴、舒适度高、方便清洁 | 价格高、对自律性要求高(需每天佩戴20h+) | 轻中度畸形、注重美观与便利的职场人士 | 5-8.0 |
| 舌侧矫正 | 完全隐形(托槽粘在牙齿内侧)、美观度最高 | 价格极高、适应期长(影响发音)、清洁难度大 | 对美观要求极高、预算充足者(如公众人物) | 0-10.0 |
选择建议: 若牙齿畸形复杂(如骨性畸形、严重拥挤),优先考虑传统或陶瓷托槽,确保效果;若以美观为主、畸形较轻,隐形矫正是主流选择;若预算充足且追求极致隐形,舌侧矫正可考虑,但需提前适应发音问题。

40岁矫正,这些“注意事项”要牢记
-
术前检查是“必修课”:除了常规的口腔全景片、头影测量,必须做牙周检查(包括牙周探诊、X光片评估牙槽骨)、颞下颌关节检查,必要时还要做咬合模型分析,若有牙周炎,需先进行牙周治疗(如洗牙、刮治),待牙周指标(如牙龈出血指数、牙周袋深度)正常后才能开始矫正。
-
口腔卫生“不能松”:40岁人群牙龈更敏感,矫正期间食物残渣易嵌塞,若清洁不到位,会加速牙槽骨吸收,建议使用正畸专用牙刷(如“V”形牙刷)、冲牙器,牙缝大的话还要配合牙线,每次进食后立即清洁。
-
与医生“充分沟通”:明确自己的核心诉求(是解决咬合问题还是改善美观?),了解矫正的预期效果、周期、可能的风险(如牙齿脱矿、牙根吸收),以及矫正后是否需要终身佩戴保持器(成年人复发风险高于青少年,必须遵医嘱佩戴)。
-
饮食与生活习惯“调整”:矫正期间避免啃硬物(如骨头、坚果)、黏性食物(如口香糖、年糕),以免托槽脱落;若选择隐形矫正,需戒烟(烟渍易附着在牙套上,影响美观),避免喝含色素饮料(如咖啡、红酒)时佩戴牙套。
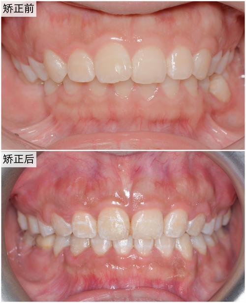
案例:42岁职场妈妈的“矫正逆袭”
李女士(42岁,企业中层)因牙齿拥挤导致刷牙总刷不干净,近几年频繁出现牙龈出血、牙痛,检查后发现中度牙周炎,同时牙齿磨耗严重(咬合异常),医生建议:先治疗牙周(3个月洗牙+刮治),再选择隐形矫正(避开“钢牙”尴尬),矫正过程中,李女士严格佩戴牙套(每天22小时),配合冲牙器清洁,18个月后牙齿排列整齐,牙周健康改善,咬合恢复正常,甚至因脸型微调(侧脸线条更流畅)而更显年轻。“以前觉得40岁矫正太折腾,现在才发现这是对健康的投资,早该做了。”
40岁做牙齿矫正,从来不是“跟风”,而是对健康与生活品质的理性选择,它需要面对比青少年更多的挑战,但只要牙周条件允许、选择专业医生、做好长期配合,就能收获整齐的牙齿、健康的咬合,以及由内而外的自信,年龄从不是限制,当你开始关注口腔健康,什么时候开始都不晚。
相关问答FAQs
Q1:40岁矫正会不会比年轻人慢?效果会打折扣吗?
A:成年人牙槽骨密度较高,牙齿移动速度确实比青少年慢10%-20%,矫正周期可能延长至2-3年(青少年通常1.5-2年),但只要牙周健康、配合治疗,效果并不会打折扣,成年人的配合度更高(如严格佩戴保持器、注意口腔卫生),反而能保证矫正效果的稳定性,医生会通过数字化技术(如骨改建预测)精准设计方案,确保牙齿移动到理想位置。
Q2:矫正期间影响社交和工作吗?会不会“丑”一两年?
A:传统金属托槽确实对美观有影响,但隐形矫正、陶瓷托槽等“半隐形”方式已能很好解决社交顾虑,隐形牙套透明轻薄,面对面交谈几乎看不出;陶瓷托槽颜色接近牙齿,社交距离下也不明显,矫正初期(1-2周)可能会有轻微不适(如牙齿酸胀),但不影响正常工作和生活,适应期后基本无感,若担心美观,可选择隐形矫正,既能悄悄变美,又不耽误职场形象。
