美容冠矫正牙齿是一种结合牙齿美学修复与快速矫正的技术,主要针对牙齿排列不齐、颜色异常、缺损、牙缝过大等问题,通过在天然牙体外部佩戴定制美容冠实现牙齿形态与功能的改善,其过程严谨且精细,需多步骤协同完成,具体如下:
术前咨询与口腔检查
这是美容冠矫正的首要环节,医生需全面评估口腔状况,首先通过问诊了解患者的主诉需求(如改善“龅牙”“地包天”或牙齿变色等),再进行口腔检查:观察牙周健康状况(是否有牙龈炎、牙周炎等),拍摄X光片(曲面断层片、根尖片)判断牙根情况、牙槽骨密度及邻牙关系,必要时进行口腔CT扫描,若存在牙周炎症、未治疗的龋齿或牙髓病变,需先控制炎症或完成根管治疗,确保口腔健康基础,医生会与患者沟通美学预期,通过比色板确定美容冠颜色,结合面部轮廓、微笑线等设计初步方案,并告知患者治疗周期、费用及可能风险,签署知情同意书。

牙齿预备
在确定方案后,进入牙齿预备阶段,这是美容冠修复的关键步骤,目的是为美容冠提供足够的空间,确保其厚度均匀、强度足够且不影响咬合,医生会局部麻醉(通常为利多卡因浸润麻醉),根据牙齿位置和缺损程度,使用高速涡轮机磨除部分天然牙体组织:前牙一般磨除唇侧1.0-1.5mm、舌侧0.5-1.0mm、切端1.5-2.0mm,后牙磨除颌面1.5-2.0mm、轴壁1.0-1.5mm,磨除量需保证美容冠最薄处不低于0.5mm(全瓷冠)或0.7mm(烤瓷冠),避免冠体折裂,磨除过程中需注意保护牙髓,若磨除量较大接近牙髓,可先垫底(如玻璃离子水门汀),预备完成后,医生会使用排龈线排龈,暴露牙龈边缘,确保印模清晰。
取模与临时冠制作
牙齿预备完成后,需获取精准的牙体模型,以便技工制作美容冠,传统方式采用硅橡胶或藻酸盐印模材料,分两次取模(初模和精细模),目前更常用数字化口内扫描仪(如iTero),直接获取三维数据,通过计算机辅助设计(CAD)生成数字模型,精准度更高且省时,取模后,医生会在预备好的牙齿上制作临时冠,常用丙烯酸树脂或树脂类材料,临时冠需恢复牙齿形态、咬合及邻接关系,保护磨牙后的敏感牙体,避免牙龈塌陷,临时冠使用临时粘接剂固定,患者需注意避免咬硬物,防止脱落。
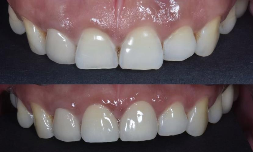
美容冠制作与试戴
印模或数字模型送至技工所后,技师根据设计方案制作美容冠,根据材料不同,可分为全瓷冠(如氧化锆、锂瓷)和烤瓷冠(金属内冠+瓷层),全瓷冠因美观度高、生物相容性好,更受青睐,制作周期通常为1-2周,期间患者需佩戴临时冠,美容冠制作完成后,患者到院试戴:医生检查冠的密合度(边缘是否与牙体密合,无悬突)、颜色(与邻牙协调,避免色差)、形态(自然符合牙齿解剖形态)、咬合(无早接触、干扰,正中颌及前伸颌均稳定)、邻接关系(松紧适度,无食物嵌塞),若需调整,可现场打磨(如调改咬合、抛光边缘),或返回技工所修改,直至患者满意。
永久粘接
试戴合适后,进行永久粘接,首先拆除临时冠,清洁牙体表面,用橡皮障隔离牙齿(避免唾液污染),若牙体敏感可使用脱敏剂,然后对牙体表面进行酸蚀(全瓷冠用氢氟酸,烤瓷冠用磷酸酸蚀),酸蚀后冲洗吹干,涂布粘接剂(如树脂粘接剂),再将美容冠内部涂布粘接剂,轻轻戴入牙体,去除多余粘接剂,光固化灯照射固化(分区域照射,确保粘接剂完全固化),最后检查咬合,调整至舒适,抛光冠边缘及表面,完成治疗。

术后维护
美容冠佩戴后并非一劳永逸,需注意维护:避免咬硬物(如坚果、螃蟹壳)、开酒瓶等,防止冠体崩瓷或折裂;使用巴氏刷牙法清洁牙齿,配合牙线、冲牙器清洁邻接面,防止牙龈炎、龋齿;定期复查(建议每6个月1次),医生检查冠的松动、磨损情况及牙周健康状况,发现问题及时处理。
美容冠适用症状及优势
| 适用症状 | 优势说明 |
|---|---|
| 牙齿排列不齐(轻度拥挤、扭转) | 无需传统牙套矫正,快速改善形态,治疗周期短(通常2-3周完成) |
| 牙齿颜色异常(四环素牙、氟斑牙) | 遮盖能力强,颜色可定制,美观度接近天然牙 |
| 牙体缺损(龋齿、外伤致牙体缺损) | 恢复牙齿完整形态和功能,保护剩余牙体 |
| 牙缝过大、牙冠短小 | 调整牙齿邻接关系,改善比例,提升微笑美观度 |
相关问答FAQs
Q1:美容冠矫正和传统牙齿矫正(如戴牙套)有什么区别?
A:美容冠矫正属于“修复性矫正”,通过磨除部分牙体后佩戴美容冠快速改善牙齿形态,主要解决美学问题,适合成人或对美观要求高、不愿长时间戴牙套者;传统矫正(如金属托槽、隐形牙套)属于“正畸治疗”,通过施加外力缓慢移动牙齿,调整咬合关系,适合牙齿排列不齐、咬合异常等,治疗周期较长(1-2年),但可保留天然牙体,不磨牙。
Q2:美容冠矫正后能用多久?需要注意什么?
A:美容冠使用寿命与材料、维护情况及口腔习惯相关,全瓷冠一般可使用10-15年以上,烤瓷冠8-12年,需注意避免咬硬物、定期口腔清洁、戒烟(减少色素沉着),若出现冠体松动、崩瓷或牙龈红肿,需及时就医检查处理。

