牙齿矫正的核心目标是通过外力引导牙齿移动至理想位置,改善咬合功能、提升面部美观及口腔健康,牙齿矫正是否必须戴牙套”,这一问题需结合牙齿问题类型、矫正原理、个人需求等多方面因素综合判断,牙套是当前最主流的矫正工具,但并非唯一选择,具体方案需专业评估后确定。
什么情况下通常需要戴牙套?
牙齿矫正的本质是“施加可控力→牙齿移动→牙槽骨改建→稳定在新位置”,牙套(正畸矫治器)的核心作用是提供持续、精准的矫治力,从而实现牙齿排列、咬合关系及颌骨位置的调整,以下常见错颌畸形通常需要通过牙套矫正:

- 牙齿拥挤:牙量大于骨量,牙齿排列不齐,易嵌塞食物、清洁困难,可能引发龋齿、牙周炎,牙套可扩展牙弓或为牙齿“腾空间”,使其排列整齐。
- 龅牙(上颌前突):上颌牙齿或牙弓向前突出,影响美观,可能伴随嘴唇外翻、露龈笑,牙套通过内收上前牙,改善唇齿关系。
- 地包天(反颌):下前牙咬在上前牙外侧,可能由遗传、不良习惯(如咬唇)或颌骨发育异常导致,影响咀嚼功能及面部轮廓,牙套可调整上下颌牙齿相对位置,甚至引导颌骨生长(儿童期)。
- 深覆颌/深覆盖:上前牙覆盖下前牙过多(深覆盖)或上牙完全覆盖下牙(深覆颌),易导致下前牙磨损、颞下颌关节紊乱,牙套可压低上前牙或伸长下前牙,改善咬合深度。
- 牙齿稀疏:牙量小于骨量,牙齿间存在缝隙,影响美观及发音,牙套可集中牙齿间隙,关闭缝隙或为修复(如镶牙)做准备。
这类问题需通过牙套持续施加力量,才能实现牙齿的精准移动,单纯依靠自我调整或口腔清洁无法解决。
有没有可以不戴牙套的矫正方式?
尽管牙套是主流工具,但部分特殊情况下可通过非牙套方式实现矫正,或仅在特定阶段使用非牙套矫治器:
儿童早期干预(功能性矫治器)
针对3-10岁存在颌骨发育异常(如地包天、下巴后缩、牙弓狭窄)的儿童,可使用功能性矫治器(如MRC、罗慕矫治器),这类装置并非传统意义上的“牙套”,而是通过调整口腔肌肉功能、引导颌骨正常生长,避免错颌畸形加重,为后期恒牙矫正创造条件,针对牙弓狭窄的儿童,扩弓矫治器可扩大上颌牙弓,为恒牙萌出提供空间,部分患儿甚至可避免后期戴固定牙套。
正畸联合正颌手术
对于严重的骨性错颌畸形(如成人严重地包天、面部不对称),单纯戴牙套无法解决颌骨位置问题,需通过正颌手术移动颌骨,而牙套的作用是术前排齐牙齿、术后精细调整咬合,此时牙套是“辅助工具”,核心治疗是手术,但多数患者仍需阶段性戴牙套。

极轻微牙齿不齐的“美学修复”
若仅存在1-2颗轻微扭转或缝隙,且咬合功能正常,部分患者可能选择通过树脂贴面、瓷贴面或牙冠修复“遮盖”问题,而非正畸矫正,但这并非真正的“矫正”,只是通过改变牙齿外观改善美观,无法移动牙根或调整咬合,且会磨损健康牙体组织,需谨慎选择。
牙套的类型与选择:如何找到适合自己的“工具”?
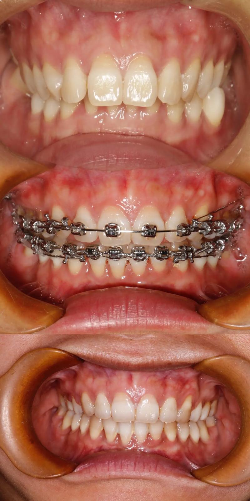
若需戴牙套,目前主流分为固定牙套、活动矫治器及隐形牙套三大类,具体选择需结合牙齿复杂度、美观需求、舒适度及预算:
| 类型 | 特点 | 优点 | 缺点 | 适用人群 |
|---|---|---|---|---|
| 固定牙套 | 粘接于牙齿表面,患者不可摘戴 | 矫治力精准,控制力强,适用复杂病例 | 美观度差,口腔清洁难度大,饮食限制多 | 牙齿严重拥挤、骨性错颌需配合手术者 |
| - 传统金属 | 金属托槽+弓丝 | 性价比高,矫正力度大 | 明显影响美观,易磨口腔黏膜 | 预算有限、对美观要求不高的青少年 |
| - 陶瓷 | 透明/牙色托槽+弓丝 | 半隐形,美观度提升 | 托槽易染色,强度略低于金属 | 对美观有需求、矫正难度中等者 |
| 隐形牙套 | 可摘戴的透明塑料牙套 | 完全隐形,舒适度高,方便清洁饮食 | 依赖患者 compliance(佩戴时间需≥22小时/天),复杂病例效果有限 | 轻中度错颌、成人对美观要求高者 |
| 活动矫治器 | 可摘戴,由基托和钢丝组成 | 费用低,可自行摘戴,适用于简单病例 | 稳定性差,控制力弱,矫正周期长 | 儿童早期干预、暂时性矫正 |
选择是否戴牙套的关键因素
牙齿矫正是否必须戴牙套,最终需由正畸医生通过专业检查(包括口腔模型、X光片、头影测量等)后制定个性化方案,核心考量以下因素:
- 牙齿问题复杂度:简单牙列不齐可能仅通过隐形牙套或活动矫治器解决,而严重拥挤、骨性畸形通常需固定牙套或联合手术。
- 年龄与生长发育阶段:儿童处于生长发育高峰期,功能性矫治器可能避免戴牙套;成人颌骨已定型,主要依靠牙套移动牙齿,方案更依赖牙齿情况。
- 个人需求与依从性:若对美观要求高、生活节奏快,隐形牙套是优选,但需确保每日佩戴时间足够;若无法坚持佩戴,固定牙套的控制力更可靠。
- 医生经验与技术:不同医生对不同牙套的熟练度不同,例如舌侧牙套(完全隐形但粘接于舌侧)对医生技术要求极高,需选择有经验的正畸医生。
牙齿矫正并非“必须戴牙套”,但绝大多数错颌畸形需通过牙套(固定、隐形或功能性矫治器)实现牙齿移动,是否需要戴牙套、选择何种牙套,需结合牙齿问题类型、年龄、个人需求及医生专业评估,不可盲目跟风,建议在正规医院口腔正畸科就诊,通过全面检查制定个性化方案,才能在安全的前提下达到理想的矫正效果。

相关问答FAQs
Q1:隐形牙套和传统牙套怎么选?哪个效果更好?
A:选择需结合牙齿复杂度和个人需求,隐形牙套美观、舒适,适合轻中度拥挤、龅牙等简单病例,但依赖患者佩戴时间(需每天22小时以上),复杂病例(如严重扭转、骨性问题)效果可能不如传统牙套,传统固定牙套(金属/陶瓷)矫治力强、控制精准,适用范围广,尤其适合复杂错颌,但美观度差、口腔清洁较难,效果上,并非“哪个更好”,而是“哪个更适合”,需医生评估后选择。
Q2:矫正期间牙齿疼是正常的吗?如何缓解?
A:矫正初期(戴牙套后1-3天)及每次复诊加力后,牙齿可能出现轻微酸胀、疼痛,属于正常现象,是牙齿移动过程中的生理反应,通常持续3-5天可逐渐缓解,可通过温盐水漱口、吃软食(如粥、面条)、避免咀嚼过硬食物缓解,若疼痛剧烈或持续超过一周,需及时复诊检查是否存在托槽脱落、牙齿移动异常等问题。
