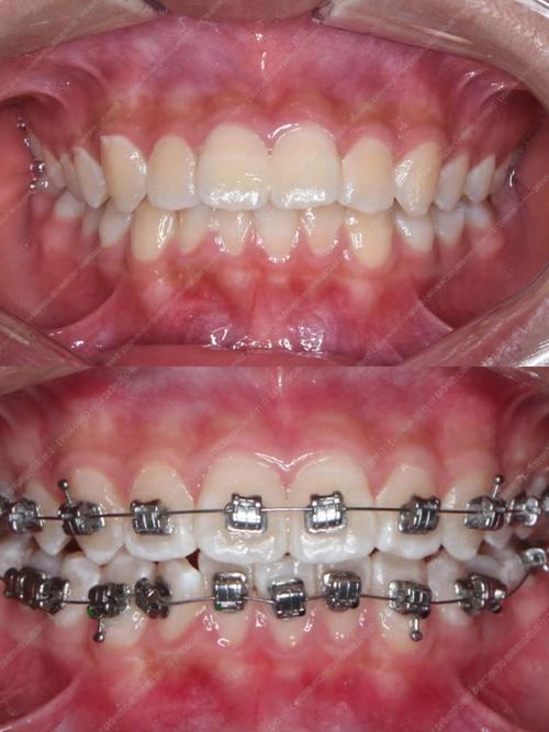
钢丝矫正牙齿前期是整个矫正过程中的关键准备阶段,直接关系到后续矫正效果和治疗体验,这一阶段通常从患者决定通过钢丝矫正改善牙齿问题开始,到正式戴上托槽和弓丝为止,涉及多个专业步骤和患者配合要点,需要医患双方共同协作完成。
咨询与全面检查:明确矫正基础
钢丝矫正前期的首要步骤是进行详细的口腔咨询和全面检查,患者需选择正规口腔机构的正畸医生,进行初步沟通,说明自己的主诉(如牙齿拥挤、龋齿、地包天等)和期望改善的目标,医生会通过口腔视诊初步评估牙齿排列、咬合关系、面部轮廓等情况,但更关键的依赖影像学检查和口腔数据采集。

为制定个性化方案,通常需要完成以下检查项目(可参考下表):
| 检查项目 | 目的 | 说明 |
|---|---|---|
| 口腔全景片(曲面断层片) | 观察全口牙齿数量、位置、牙根形态,判断是否存在埋伏牙、多生牙或牙根吸收 | 必须检查,是评估牙齿整体情况的基础 |
| 头颅侧位片 | 分析颅面骨骼结构、上下颌位置关系、软组织轮廓,判断是否需要配合正颌治疗 | 用于骨性错颌畸形患者,方案设计的重要依据 |
| CBCT(锥形束CT) | 三维观察牙齿与颌骨关系,精确测量牙根长度、倾斜角度,避开重要神经血管 | 复杂病例(如埋伏牙牵引、骨性畸形)必备,可提升方案精准度 |
| 口腔模型 | 记录牙齿原始排列、咬合接触关系,用于方案设计和后期效果对比 | 传统取模或口内扫描获取,扫描更舒适且可数字化存储 |
| 牙周检查 | 评估牙龈健康、牙槽骨状况,测量牙周袋深度 | 牙周炎患者需先治疗,待炎症控制后再开始矫正,否则可能加重牙周损伤 |
| 全身健康评估 | 了解有无系统性疾病(如糖尿病、心脏病、骨质疏松等) | 严重全身疾病可能影响矫正安全性,需先控制病情或调整方案 |
方案设计与沟通:确定治疗路径
在完成检查后,医生会结合患者的牙齿问题、骨骼条件、年龄、美观需求等,制定详细的矫正方案,方案内容通常包括:是否需要拔牙、拔牙位置选择、矫正目标(如排齐牙齿、调整咬合、改善面型)、托槽类型(金属自锁托槽或传统非自锁托槽)、治疗周期(通常1.5-3年)、费用及可能的风险(如牙根吸收、牙龈萎缩等)。
方案沟通是前期的重要环节,患者需充分了解方案的必要性、预期效果及注意事项,拔牙目的(解决拥挤或前突,为牙齿移动提供空间)、托槽类型(自锁托槽摩擦力小,复诊间隔可能延长,但价格较高)、保持器类型(活动保持器或固定保持器)等,若有疑问,应及时提出,与医生达成共识后再开始治疗。
预处理:为矫正创造条件
方案确定后,部分患者需要进行预处理,为后续戴托槽做好准备,常见预处理包括:

拔牙处理
若方案涉及拔牙,通常会选择拔除功能较小的牙齿,如前磨牙(第一或第二前磨牙),拔牙时机一般在戴托槽前1-2周,目的是让拔牙创口初步愈合,避免矫正过程中创口感染,拔牙后需注意饮食(避免过硬、过热食物)、口腔卫生(饭后漱口,轻柔刷牙),遵医嘱服用消炎药(若需要)。
分牙(放置分牙圈或分牙簧)
分牙是戴托槽前的关键步骤,目的是在相邻牙齿邻面制造微小缝隙(约0.3-0.5mm),便于托槽准确粘贴,常用方法有:放置金属分牙圈(弹性橡皮圈)或使用分牙簧(细钢丝),分牙过程通常有轻微酸胀感,持续3-7天,牙齿会逐渐松动,属正常现象,无需紧张,分牙期间避免咬过硬食物,防止分牙圈脱落。
牙周治疗与口腔清洁
若患者存在牙周炎、牙龈炎等问题,需先进行牙周基础治疗(如洁治、刮治),待牙周健康(牙龈无红肿、出血,牙周袋深度<3mm)再开始矫正,医生会指导患者学习正畸期间的口腔清洁方法,如使用正畸专用牙刷、牙缝刷、冲牙器等,因为矫正过程中牙齿表面会粘贴托槽,更容易堆积食物残渣,若清洁不当易导致龋齿或牙龈增生。
其他处理
对于存在龋齿的患者,需先补牙;有牙结石的需洁牙;若牙齿表面有树脂补料或氟斑牙,可能需要先进行牙齿抛光,确保托槽粘贴面清洁,提高粘贴牢固度。

心理与生活准备:适应矫正过程
钢丝矫正前期,患者还需做好心理和生活上的调整,心理上,需了解矫正过程中可能出现的不适(如初戴托槽后的疼痛、口腔溃疡),树立耐心和信心,避免因短期不适而放弃,生活上,可提前准备软毛牙刷、牙缝刷、正畸蜡(缓解托槽摩擦引起的口腔溃疡)、易咀嚼的食物(如粥、面条、蒸蛋等),避免矫正初期因牙齿酸痛影响进食,需规划好复诊时间(通常4-6周复诊一次),确保按时调整弓丝,避免因间隔过长影响矫正进度。
相关问答FAQs
Q1:钢丝矫正前期拔牙是必须的吗?不拔牙可以矫正吗?
A:拔牙并非必须,需根据牙齿问题决定,若患者牙齿拥挤严重(拥挤度超过5mm)、存在前牙明显前突(龅牙)、或需要调整咬合关系(如深覆合、深覆盖),拔牙可为牙齿移动提供空间,避免因强行排齐导致牙齿突出、面部凹陷等问题,若牙齿拥挤较轻、牙弓空间充足,可通过扩弓、推磨牙向远中等非拔牙方式矫正,具体是否拔牙,需医生通过检查评估后确定,以“最小创伤、最佳效果”为原则。
Q2:前期分牙时牙齿酸痛正常吗?怎么缓解?
A:分牙时牙齿轻微酸胀、松动是正常现象,因为分牙圈产生的压力会使牙齿牙根周围牙槽骨发生轻微改建,属于生理性反应,通常3-7天后会逐渐缓解,无需特殊处理,若酸痛较明显,可避免咬硬食物,用温盐水漱口,或遵医嘱服用布洛芬等止痛药(非必要不建议用药),若分牙圈脱落或牙齿疼痛加剧,需及时复诊检查。
