华西医院作为国内顶尖的口腔医疗中心,其口腔正畸科更是以精湛的技术、权威的专家团队和先进的诊疗设备,成为无数牙齿矫正患者的首选,无论是青少年常见的牙列拥挤、龅牙,还是成人复杂的骨性畸形、咬合问题,华西都能提供个性化、系统化的矫正方案,帮助患者实现牙齿健康与面部美观的双重改善。
华西医院矫正牙齿的完整流程
牙齿矫正是一个系统工程,华西医院遵循严格的诊疗规范,确保每个环节精准高效,通常包括以下步骤:

初诊检查与评估
患者首次到院后,医生会进行全面检查,包括口腔内检查(牙齿排列、咬合关系、牙周状况)、面部拍照(正面、侧面、微笑面)、X光片检查(全景片、头颅侧位片、CBCT等),头颅侧位片用于分析骨骼关系、牙齿角度及面部软组织形态,是制定方案的核心依据;CBCT则能清晰显示牙根位置、骨量情况,为复杂病例提供精准数据,检查后,医生会初步判断是否适合矫正,以及可能的治疗方向。
方案设计与沟通
基于检查结果,正畸医生会结合患者的主观需求(如美观、功能改善)和实际情况,制定个性化方案,方案内容包括:是否需要拔牙、拔哪颗牙,是否需要辅助治疗(如种植钉、扩弓器),选择何种矫治器(传统托槽、自锁托槽、隐形矫正、舌侧矫正等),以及预计治疗时间(通常1.5-3年),医生会通过3D动画模拟矫正效果,与患者充分沟通,确保双方对方案达成一致。
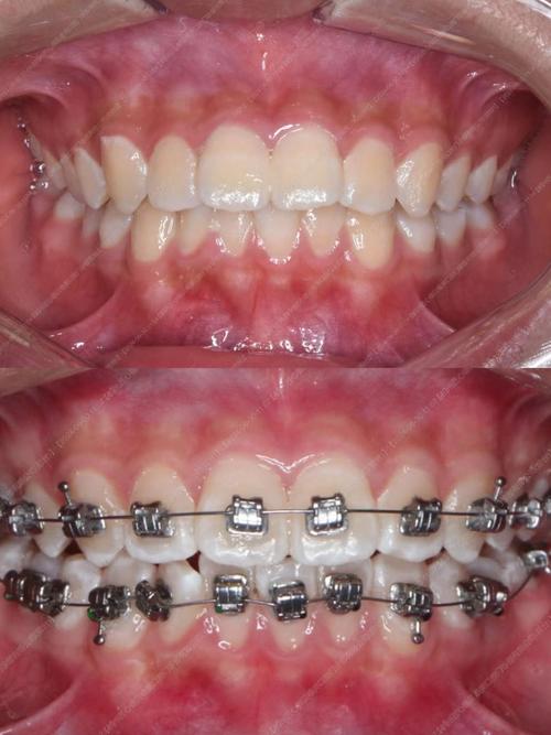
矫治器佩戴与初始调整
方案确定后,患者需进行牙周治疗(如洗牙、补牙、拔除残根),确保口腔健康,随后进入矫治器佩戴阶段:传统托槽需用粘接剂将金属或陶瓷托槽固定在牙齿表面,再通过弓丝施加力量;隐形矫正则通过3D打印技术定制一系列透明牙套,患者自行更换;舌侧矫正将托槽粘在牙齿内侧,隐蔽性最好,佩戴初期,牙齿可能出现轻微酸胀,通常3-5天缓解,期间需避免食用过硬、黏性食物。
定期复诊与动态调整
矫正期间,患者需每4-6周复诊一次,医生会检查牙齿移动情况,更换弓丝或调整托槽位置,隐形矫正患者则需领取下一副牙套,若出现骨性问题(如下巴后缩、面部不对称),可能需配合正颌手术,或使用种植钉加强支抗(即植入颌骨内的微型钛钉,辅助牙齿移动),复诊时,医生还会强调口腔卫生维护,因为托槽周围易堆积食物残渣,若清洁不当易引发龋齿、牙周炎。

矫治完成与保持
当牙齿排列整齐、咬合关系正常后,进入保持阶段,医生会拆除矫治器,制作保持器——通常为透明压膜保持器(戴在上、下牙列)或 Hawley 保持器(包含钢丝和基托),需全天佩戴(进食、刷牙时取下)6个月,之后夜间长期佩戴,防止牙齿复发,保持器是矫正成功的关键,若不坚持佩戴,可能导致牙齿反弹。
华西医院矫正牙齿的核心优势
顶尖专家团队与丰富经验
华西口腔正畸科汇聚了国内知名专家,包括教授、副教授及多名博士、硕士生导师,团队在各类错颌畸形的矫治上经验丰富,尤其擅长处理疑难病例(如成人骨性畸形、唇腭牙颌面畸形、二次矫正等),许多医生在国际学术组织任职,参与制定行业指南,确保诊疗方案与国际前沿接轨。
先进数字化技术赋能
华西全面引入数字化正畸流程:口内扫描仪替代传统取模,10分钟即可获取精准的牙齿3D模型,提升患者舒适度;计算机辅助设计(CAD)和计算机辅助制造(CAM)技术,可模拟牙齿移动路径,预测矫正效果,方案设计更精准;3D打印技术用于定制个性化矫治器(如隐形牙套、种植钉导板),缩短治疗周期,对于复杂病例,CBCT与3D成像结合能直观展示骨骼与牙齿关系,辅助手术方案设计。
多学科联合诊疗模式
华西口腔医院设有正畸、颌面外科、牙周科、修复科、儿童口腔科等亚专科,针对合并多种问题的患者(如牙周病伴牙列拥挤、颞下颌关节紊乱伴咬合异常),可通过多学科联合会诊(MDT),制定“正畸-牙周联合治疗”“正畸-正颌联合手术”等综合方案,确保治疗效果与口腔健康的长远稳定。

严格的诊疗质量控制
从初诊检查到保持期管理,华西建立了一套标准化质控体系:每个病例需经过主治医师、副主任医师、主任医师三级审核,确保方案科学合理;治疗过程中定期进行病例讨论,及时调整方案;患者档案实行电子化管理,全程追踪牙齿移动数据与恢复情况,最大限度降低治疗风险。
矫正牙齿的注意事项
术前准备
- 口腔清洁:矫正前需完成全口洁牙,若有龋齿、牙周炎,需先治疗再矫正,否则可能加重病情。
- 心理建设:矫正周期较长,需有耐心,避免因初期不适而中途放弃。
- 时间安排:青少年建议利用寒暑假开始矫正,避开开学初期;成人患者需考虑工作复诊时间,尽量选择弹性较大的矫治器(如隐形矫正)。
治疗中的配合
- 口腔卫生:使用正畸专用牙刷(如V形牙刷)、牙线、冲牙器,每天至少刷牙3次,每次3分钟,避免托槽周围存留食物残渣。
- 饮食管理:避免啃硬物(骨头、坚果)、黏性食物(口香糖、年糕),防止托槽脱落;隐形矫正患者需摘下牙套进食,避免染色。
- 紧急情况:若托槽脱落、弓丝刺嘴,可使用正畸蜡暂时覆盖,并及时复诊处理。
保持期的重要性
牙齿矫正后,牙槽骨改建需要时间(约1-2年),此时牙齿位置不稳定,必须坚持佩戴保持器,即使感觉牙齿“稳固”,也不能擅自停戴,否则极易复发,建议每年定期复查,评估保持效果。
华西医院矫正牙齿费用参考
矫正费用因矫治器类型、病例复杂度、治疗周期等因素差异较大,以下是常见矫治器的大致费用范围(仅供参考,具体以医院面诊为准):
| 矫治器类型 | 费用范围(元) | 特点 |
|---|---|---|
| 传统金属托槽 | 15,000-25,000 | 经济实惠,技术成熟,但美观性较差,口腔清洁难度较高。 |
| 陶瓷自锁托槽 | 20,000-35,000 | 托槽为透明陶瓷,美观性较好,自锁设计可减少复诊次数,缩短治疗周期。 |
| 隐形矫正(隐适美) | 35,000-80,000 | 透明牙套,隐蔽性强,可自行摘戴,口腔清洁方便,但价格较高,复杂病例效果受限。 |
| 舌侧矫正 | 80,000-150,000 | 托槽粘在牙齿内侧,完全隐形,但对医生技术要求极高,费用昂贵,治疗周期较长。 |
注:费用通常包含矫治器、复诊调整、保持器,若需拔牙、种植钉、正颌手术等,会产生额外费用;华西医院支持医保报销部分项目(如拔牙、牙周治疗),但矫治器费用多为自费。
相关问答FAQs
Q1:华西医院矫正牙齿需要提前多久预约?如何预约?
A:华西医院口腔科号源紧张,建议提前1-3个月预约,普通号可通过“华西第二医院”微信公众号或“华西医院”官网预约;专家号、特需号需提前1-6个月,部分专家号需通过医院APP“华西通”抢号,初诊患者建议先挂“口腔正畸科普通号”,完成检查后根据医生建议再选择专家或特需号。
Q2:矫正过程中牙齿疼痛难忍,正常吗?如何缓解?
A:矫正初期(佩戴矫治器后1-3天)及每次复诊调整后,牙齿出现轻微酸胀、疼痛是正常现象,因为牙齿受力移动时牙周组织会产生反应,一般疼痛持续3-5天会逐渐缓解,可通过以下方式改善:① 饮食宜软,避免咀嚼过硬食物;② 用冰袋冷敷面部,每次15分钟,每日2-3次,减轻炎症反应;③ 遵医嘱服用布洛芬等止痛药(若疼痛剧烈),若疼痛持续超过1周,或出现牙龈肿胀、咬合困难等异常,需及时复诊检查。
