龅牙在医学上被称为上颌前突或双颌前突,是一种常见的牙齿颌面畸形,主要表现为上颌牙齿或牙槽骨向前突出,常伴随嘴唇无法自然闭合、露龈笑、侧面轮廓突兀等问题,不仅影响面部美观,还可能导致咬合功能障碍、发音不清、牙龈磨损等健康问题,随着正畸技术的发展,龅牙矫正已成为改善口腔健康与面部美观的重要手段,而矫正过程中的图片记录,则是医患沟通、方案设计、进度跟踪和效果评估的核心工具,从初诊时的面部与口腔照片,到矫正中期的阶段性对比,再到结束后的效果展示,图片直观呈现了牙齿移动的轨迹、面部轮廓的变化,让患者更清晰地了解矫正的价值与过程。
龅牙的类型与图片特征:明确问题是矫正的前提
龅牙的分类直接影响矫正方案的设计,不同类型的龅牙在图片上表现出不同的特征,需通过专业影像(如口腔曲面断层片、头颅侧位片、口内照)进行鉴别,以下是常见龅牙类型及其图片表现特点:

| 类型 | 病因 | 图片表现特征 | 矫正难度 |
|---|---|---|---|
| 牙性龅牙 | 主要是牙齿排列问题,如牙齿倾斜、拥挤导致上前牙前突,牙槽骨和颌骨通常正常。 | 口内照可见上前牙唇倾,牙冠角度大于正常值(正常上前牙牙轴倾斜度约为60°-70°),侧面照显示嘴唇轻微外翻,但鼻唇颏轮廓基本协调;X光片显示牙槽骨厚度正常,无颌骨发育异常。 | 相对简单,通过正畸排齐牙齿、内收前牙即可改善。 |
| 骨性龅牙 | 上颌骨或下颌骨发育异常,如上颌骨前突、下颌骨后缩,常伴随牙齿代偿性前倾。 | 侧面照显示上唇部明显前凸,鼻唇角(鼻底与上唇的夹角)小于90°(正常为90°-100°),颏部后缩,形成“凸面型”;X光片显示上颌骨前突量(SNA角)大于正常值(正常82°±3°),牙槽骨可能吸收或变薄。 | 较复杂,单纯正畸效果有限,常需配合正颌手术(如上颌骨Lefort I型截骨术)才能达到理想效果。 |
| 混合性龅牙 | 兼具牙性和骨性因素,既有牙齿排列异常,也存在轻度颌骨发育问题。 | 图片表现介于牙性和骨性之间:口内照见牙齿唇倾,侧面照嘴唇略外凸,鼻唇角略小于正常,X光片显示SNA角轻度增大,牙轴倾斜度异常。 | 需综合设计,可能通过正畸掩饰治疗(如拔牙内收)结合正颌手术,或单纯正畸延长疗程。 |
矫正方法的图片对比:不同方案下的牙齿变化
龅牙矫正的方法多样,每种技术在图片上呈现的特征和效果差异显著,需根据患者的龅牙类型、年龄、美观需求等选择,以下是常见矫正方式及其图片表现:
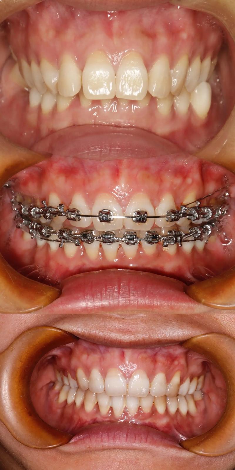
传统金属托槽矫正
通过金属托槽和弓丝施加力量,移动牙齿,是经典的矫正方式,在图片中,金属托槽和钢丝清晰可见,尤其在前牙区较为明显;矫正中期图片可显示牙齿逐渐内收、排列整齐,侧面轮廓逐步改善;结束时图片可见牙齿排列整齐,咬合紧密,侧面鼻唇颏关系协调,优点是适用范围广、性价比高,缺点是美观性较差,图片中可见明显的矫正装置。
陶瓷托槽矫正
托槽材料为透明陶瓷,与牙齿颜色接近,美观性优于金属托槽,图片中托槽呈半透明状,远距离观察不易察觉,适合对美观有要求的患者;矫正效果与金属托槽一致,图片显示牙齿移动轨迹与金属矫正相似,但外观更隐蔽。
隐形矫正(隐形牙套)
通过一系列透明牙套逐步移动牙齿,图片中可清晰展示每副牙套的贴合度、牙齿移动的3D模拟动画,以及佩戴前后的对比,患者可通过手机APP查看牙齿移动进度,图片中可见牙套覆盖牙齿的完整形态,无任何金属部件;矫正过程中,定期拍摄的口内照可对比牙齿是否按计划移动,侧面轮廓变化更自然,尤其适合成年人和对美观要求极高者。

舌侧矫正
将托槽粘在牙齿内侧,完全隐藏于口内,图片中几乎看不到外部矫正装置,适合追求“隐形”效果的患者,但技术难度高,对医生操作要求严格;图片中需通过特定角度(如张口时)才能观察到内侧托槽,矫正效果与唇侧矫正一致,侧面轮廓改善显著。
矫正不同阶段的图片变化:见证牙齿的“旅行”
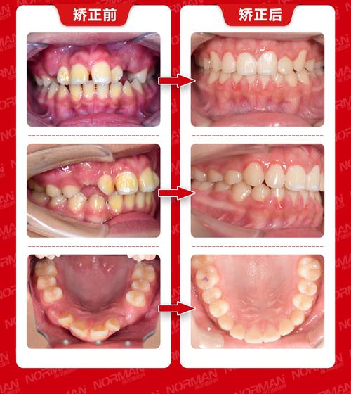
龅牙矫正是一个循序渐进的过程,不同阶段的图片记录了牙齿从“异常”到“正常”的完整变化,通常可分为初期、中期和末期三个阶段:
初期(1-3个月):适应与初步调整
初诊时拍摄的图片(包括正面、侧面、口内照)是矫正的基础,记录了龅牙的原始状态:口内照可见上前牙唇倾、牙列拥挤或稀疏,侧面照显示嘴唇无法闭合、露龈笑,佩戴矫正器1-3个月后,图片可见牙齿开始轻微移动,部分患者可能出现牙齿酸痛、口腔溃疡,口内照显示托槽粘贴稳固,弓丝开始发挥作用;侧面轮廓变化不明显,但部分患者因牙齿内收,嘴唇紧张感略有缓解。
中期(4-12个月):关键移动期
此阶段是牙齿移动的核心时期,图片变化显著,口内照可见上前牙逐渐直立,牙列间隙关闭,咬合关系开始调整;侧面照显示上唇凸度减轻,鼻唇角增大,露龈笑现象改善;对于拔牙矫正的患者(如中度龅牙需拔除4颗前磨牙),X光片和全景片可显示牙根移动方向正常,无骨吸收风险,医生会通过定期拍摄的照片(通常1-2个月一次)评估进度,及时调整矫正力量。

末期(12-18个月):精细调整与稳定
矫正接近完成时,图片显示牙齿排列整齐,上下牙咬合紧密,侧面轮廓自然,嘴唇闭合舒适,露龈笑消失,此时需拍摄“结束前”对比照片,与初诊图片直观对比,展现矫正效果;同时取模制作保持器,佩戴保持器1-3个月后拍摄的图片可显示牙齿位置稳定,无复发迹象。
如何通过图片判断矫正效果:关键观察点
矫正效果的评估需结合多角度图片,患者可通过以下几点自行初步判断,最终效果以医生专业评估为准:
- 正面图片:观察牙齿中线是否与面部中线对齐(如两颗门牙的中线应与鼻尖、下巴中线在一条直线上),牙列是否整齐,有无“大小牙”或“歪斜牙”。
- 侧面图片:重点关注鼻唇角(正常90°-100°)、颏唇沟(下唇与下巴间的凹陷,应明显存在)、上唇凸度(上唇应自然覆盖上牙冠1/3-1/2),矫正后侧面轮廓应从“凸面型”变为“直面型”,嘴唇不再外翻。
- 咬合图片:上下牙咬合时,上前牙应覆盖下前牙约1/3(正常覆盖),无深覆合(上前牙过度覆盖下前牙)或深覆盖(龅牙本质);后牙咬合应紧密,无“锁合”或“早接触”。
- 动态图片:微笑时,上唇应自然上提,露出上牙冠2/3-3/4,牙龈露出不超过2mm(无露龈笑),笑容对称自然。
选择矫正机构时的图片参考:案例的真实性与专业性
在选择矫正机构时,案例图片是评估医生技术和效果的重要依据,需注意以下几点:
- 图片的真实性:要求查看未经修图的原始案例,包括矫正前、中、后的对比,尤其是侧面轮廓和咬合功能的细节,正规机构通常会保留患者授权的案例,避免使用网络素材。
- 案例的相似性:优先选择与自己龅牙类型(如骨性/牙性)、年龄、牙齿问题相似的案例,观察其矫正后的效果是否符合自身需求(如美观度、功能恢复)。
- 图片的专业性:案例应包含多角度照片(正面、侧面、口内、咬合)、X光片等,能清晰展示牙齿移动轨迹和颌骨变化,而非仅展示“好看”的侧面轮廓。
注意事项:图片记录背后的健康管理
矫正过程中的图片不仅是“纪念”,更是健康管理的工具:
- 定期拍摄:遵医嘱每月或每两个月拍摄一次口内照和面部照,便于医生及时发现牙齿移动异常(如牙根吸收、牙根倾斜),调整方案。
- 口腔卫生维护:矫正期间牙齿清洁难度增加,需通过口内照观察牙龈状况(有无红肿、出血),若出现牙周问题,需及时治疗并加强清洁(如使用冲牙器、正畸专用牙刷)。
- 保持器的重要性:矫正结束后,佩戴保持器是防止复发的关键,需定期拍摄保持器佩戴后的图片,跟踪牙齿稳定性,若发现牙齿轻微移位,及时复诊调整。
相关问答FAQs
Q1:龅牙矫正后图片效果能维持多久?
A:矫正效果的维持时间取决于多因素:①矫正方案的彻底性:骨性龅牙若未配合正颌手术,单纯正畸效果可能随时间推移轻微复发;②保持器佩戴依从性:矫正后前两年需全天佩戴保持器(进食、刷牙时取下),之后可逐渐过渡至夜间佩戴,若中途停戴,牙齿可能移位;③口腔习惯:长期咬唇、吐舌、咬硬物等习惯会增加复发风险,若严格保持口腔卫生和佩戴习惯,矫正效果可长期稳定,建议每年拍摄一次复查图片,跟踪牙齿状态。
Q2:如何通过矫正前的图片判断适合的矫正方式?
A:通过矫正前图片可初步判断,但最终方案需结合临床检查:①若图片显示仅为牙齿前倾(牙性龅牙),牙槽骨和颌骨正常,可选择传统托槽、隐形矫正等,拔牙与否需根据拥挤程度决定;②若图片显示上颌骨明显前突(骨性龅牙),侧面呈“凸面型”,SNA角过大,单纯正畸效果有限,可能需配合正颌手术;③若对美观要求高,且图片显示牙齿移动幅度不大(如轻度牙性龅牙),隐形矫正或陶瓷托槽更合适;④若图片显示牙龈萎缩、牙槽骨吸收(牙周问题),需先治疗牙周,选择对牙周刺激小的矫正方式(如自锁托槽),避免加重损伤。
