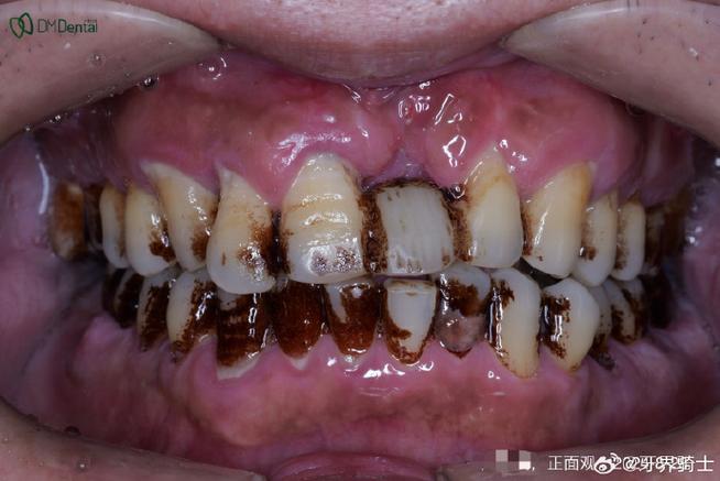
矫正牙齿被腐蚀,通常指在正畸治疗过程中,牙齿表面釉质发生脱矿、溶解,进而形成白斑、龋坏等问题,临床上也称为“正畸龋”或“釉质脱矿”,这是正畸治疗中常见的并发症之一,不仅影响美观,还可能进一步发展为龋齿,损害牙齿健康。
矫正牙齿被腐蚀的常见原因
牙齿釉质是人体最坚硬的组织,其主要成分是羟基磷灰石,当口腔环境中的pH值低于5.5时,釉质会发生脱矿(即矿物质溶解流失),长期如此便导致腐蚀,正畸过程中,牙齿被腐蚀的风险显著增加,主要原因包括:

正畸装置的清洁难度增加
固定矫正器(如传统托槽矫正)的托槽、弓丝、结扎丝等附件会形成大量“清洁死角”,食物残渣和细菌容易附着在这些区域,形成菌斑,即使患者认真刷牙,也难以完全清除菌斑,局部菌斑堆积会产酸(如乳酸、乙酸),持续腐蚀釉质。
口腔卫生维护不到位
部分患者正畸期间口腔卫生意识不足,刷牙时间不足(未达到2分钟)、刷牙方法不正确(如未采用巴氏刷牙法)、未使用牙线或冲牙器等辅助工具,导致菌斑大量积累,尤其对于佩戴隐形矫正器的患者,若未按时摘下清洁矫正器及牙齿,也会导致食物残渣滞留,增加腐蚀风险。
饮食习惯影响
正畸期间,若频繁摄入高糖食物(如糖果、蛋糕、碳酸饮料)或酸性食物(如柠檬、醋、果汁),口腔内pH值降低,釉质脱矿风险升高,糖分是细菌代谢的底物,细菌分解糖产酸,直接破坏釉质;酸性食物则会直接溶解釉质表面的矿物质。
唾液分泌与成分变化
唾液具有缓冲口腔酸碱度、促进釉质再矿化的作用,部分患者正畸期间因紧张、疼痛或药物影响,唾液分泌量减少(唾液流速降低),或唾液中的钙、磷浓度下降,导致缓冲能力和再矿化能力减弱,釉质更易被腐蚀。

个体因素与治疗时间
部分患者本身釉质发育不良(如釉质钙化不全、氟斑牙),或存在唾液腺疾病(如干燥综合征),正畸期间腐蚀风险更高,矫正时间越长(尤其是超过2年的病例),牙齿暴露在菌斑和酸性环境中的时间越长,腐蚀风险累积增加。
矫正牙齿被腐蚀的危害
牙齿腐蚀若未及时干预,会带来一系列健康问题:
- 影响美观:早期表现为釉质表面出现白垩色或棕黄色斑点(脱矿斑),随着病情进展,白斑可能变成龋洞,影响面部美观,尤其前牙区脱斑会直接影响患者自信心。
- 发展为龋齿:脱矿是龋齿的前兆,若细菌继续破坏釉质下层,会形成牙本质龋,导致牙齿疼痛、敏感,严重时甚至需要根管治疗。
- 影响矫正效果:严重脱矿或龋坏可能导致牙齿结构强度下降,在矫正过程中出现牙齿松动、托槽脱落等问题,延长治疗时间。
- 增加治疗难度:若腐蚀导致牙齿大面积缺损,后期修复(如补牙、贴面、冠修复)会变得复杂,且可能影响矫正方案的调整。
矫正牙齿被腐蚀的预防措施
预防是关键,正畸患者需从多方面入手,降低牙齿腐蚀风险:
加强口腔卫生维护
- 正确刷牙:采用巴氏刷牙法,每天至少刷牙2次,每次2-3分钟,重点清洁托槽周围、牙龈缘和牙齿邻面,可选用正畸专用牙刷(如小头牙刷、U形牙刷),配合含氟牙膏(氟浓度≥1000ppm)。
- 使用辅助工具:每日至少使用1次牙线(推荐正畸专用牙线穿引器),清除邻面菌斑;每周使用1-2次冲牙器,冲洗托槽周围的食物残渣;对于菌斑堆积较多的患者,可使用牙间刷清洁托槽与弓丝之间的缝隙。
- 定期专业清洁:每3-6个月进行1次口腔检查和洁牙(洗牙),清除刷牙无法清除的菌斑和牙结石,尤其正畸期间建议缩短洁牙间隔。
调整饮食习惯
- 减少高糖、酸性食物摄入:避免频繁食用糖果、巧克力、饼干等黏性高糖食物,以及碳酸饮料、果汁、醋等酸性食物,若需饮用酸性饮料,建议使用吸管减少液体与牙齿接触,并立即用清水漱口。
- 增加膳食纤维:多食用新鲜蔬菜、水果(如苹果、胡萝卜),咀嚼时可刺激唾液分泌,帮助中和口腔酸性物质。
- 控制进食频率:避免频繁零食(如每小时吃1次零食),每次进食后口腔pH值降低,需30-60分钟才能恢复,频繁进食会导致口腔长期处于酸性环境。
促进釉质再矿化
- 使用含氟产品:除含氟牙膏外,可配合使用含氟漱口水(如0.12%氟化钠漱口水),每天1次,每次含漱30秒;对于脱矿高风险患者,医生可能建议使用高浓度氟化物凝胶(如1.23%酸性磷酸氟凝胶),每3-6个月在诊所涂布1次。
- 咀嚼无糖口香糖:进餐后咀嚼无糖木糖醇口香糖(刺激唾液分泌),唾液中的钙、磷可促进釉质再矿化,中和酸性物质。
配合医生调整治疗方案
- 选择光滑、不易粘附菌斑的正畸附件(如陶瓷托槽、自锁托槽),减少清洁难度;
- 若存在唾液分泌不足等问题,可咨询医生使用人工唾液或促进唾液分泌的药物;
- 正畸期间定期拍摄口腔X光片,检查釉质状况,早期发现脱矿及时处理。
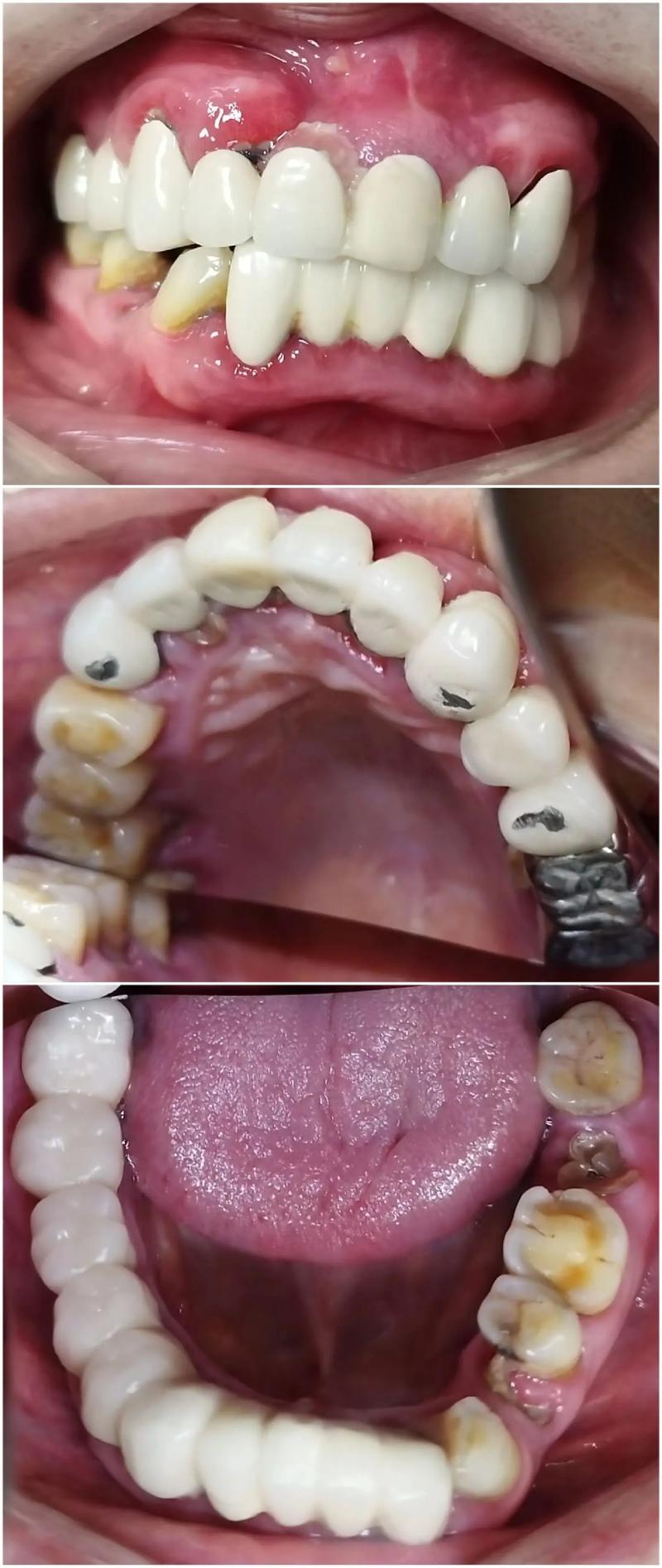
矫正牙齿被腐蚀的处理方法
若已出现牙齿腐蚀,需根据严重程度采取不同措施:
-
早期脱矿(白斑阶段):釉质表面仅有白垩色斑点,尚未形成龋洞,可通过加强再矿化治疗逆转:
- 每日使用含氟牙膏刷牙,配合高浓度氟牙膏(如5000ppm氟化钠牙膏)局部涂抹;
- 定期涂氟(每1-2个月1次),使用含氟凝胶或树脂加强再矿化;
- 严格口腔卫生维护,避免酸性刺激。
-
中度脱矿(形成龋洞):白斑表面出现缺损,需进行充填治疗(补牙):
- 去除腐质后,使用树脂材料恢复牙齿外形和功能;
- 若龋洞较深,接近牙髓,需垫底后充填,避免刺激牙髓。
-
严重脱矿(大面积龋坏或牙髓感染):
- 若龋坏累及牙髓,需进行根管治疗,清除感染牙髓后充填根管,再做牙冠修复;
- 若牙齿大面积缺损无法保留,可能需拔除后修复(如种植牙、 bridge)。
不同清洁工具的使用对比
为帮助患者选择合适的清洁工具,以下是常用正畸清洁工具的对比:
| 清洁工具 | 作用 | 使用方法 | 注意事项 |
|---|---|---|---|
| 正畸专用牙刷 | 清洁托槽周围及牙齿表面 | 小头刷毛深入托槽与弓丝间,45度角轻柔刷动 | 避免用力过猛损伤牙龈,每月更换刷头 |
| 正畸牙线+穿引器 | 清洁牙齿邻面 | 用穿引器将牙线穿过弓丝,呈"C"形包裹牙齿邻面 | 每个邻面来回刮擦3-5次,避免拉扯牙线损伤牙龈 |
| 冲牙器 | 冲洗托槽缝隙及牙龈沟 | 调节中等压力,对准托槽与牙龈交界处冲洗 | 水温接近体温,避免压力过大损伤牙周组织 |
| 含氟漱口水 | 减少菌斑,促进再矿化 | 饭后或刷牙后含漱30秒,每天1次 | 不可替代刷牙,含氟漱口水需在医生指导下使用 |
相关问答FAQs
Q1:矫正牙齿上出现白斑是不是一定腐蚀了?需要处理吗?
A:矫正牙齿上出现白斑(白垩色斑块)是釉质脱矿的典型表现,属于腐蚀的早期阶段,此时釉质中的矿物质流失,但尚未形成龋洞,虽然白斑可能通过再矿化治疗逆转,但若不及时处理,脱矿会进一步发展,形成龋洞,发现白斑后需立即加强口腔卫生(如增加刷牙频率、使用含氟产品),并咨询医生进行专业评估和处理(如涂氟、再矿化治疗),避免病情加重。
Q2:矫正期间如何判断牙齿是否被腐蚀?需要多久检查一次?
A:判断牙齿是否被腐蚀可通过以下方法:① 自我检查:刷牙时观察牙齿表面是否有白斑、黄褐色斑点或缺损,尤其注意托槽周围、牙龈缘和牙齿邻面;② 感觉异常:牙齿对冷、热、酸、甜刺激敏感,或出现自发疼痛,可能提示脱矿或龋坏已较严重,正畸期间建议每3-6个月进行1次专业口腔检查,医生通过临床检查、口腔内窥镜或X光片可早期发现脱矿迹象,及时干预。
