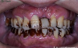
正畸矫正牙齿是改善咬合功能与面部美观的常见方式,但部分人在矫正过程中或拆下牙套后,会发现牙齿表面出现小黑点,这些黑点不仅影响美观,还可能是牙齿健康的“警报信号”,小黑点的成因多样,需结合具体情况分析,及时干预才能避免牙齿损伤。
正畸牙齿出现小黑点,主要与以下因素相关,首先是托槽周围清洁不到位导致的龋齿,正畸装置中的托槽、弓丝等附件容易成为食物残渣的“藏身地”,若刷牙时未能彻底清洁,细菌会分解糖分产酸,腐蚀牙釉质,初期形成白垩色脱矿斑,逐渐发展为龋洞,呈现为黑点,常见于牙齿邻面、牙龈边缘等不易清洁的部位,其次是釉质脱矿,矫正期间口腔卫生维护难度增加,加之部分患者可能频繁摄入含糖饮料或酸性食物,会导致牙釉质表面矿物质流失,出现脱矿斑,初期为白色斑点,后期易被色素染色形成黑点,是龋齿的前兆,托槽边缘色素沉着也可能导致类似“黑点”的现象,金属托槽与牙齿之间存在微小缝隙,长期饮用咖啡、茶、酱油等深色饮品或食物,色素会沉积在这些缝隙中,形成色素沉着,并非牙齿本身龋坏,但需与龋齿区分,部分患者在正畸前存在未发现的隐匿龋齿,矫正过程中牙齿移动可能使原本被遮挡的龋损暴露,或清洁时发现原本不易察觉的黑点。

针对以上成因,预防是关键,日常口腔清洁需做到“精细化”:采用巴氏刷牙法(刷毛与牙齿呈45度角,水平震颤拂刷),每天至少两次,每次3分钟,重点清洁托槽周围及牙齿邻面;配合使用正畸专用牙线(含牙缝刷)或水牙线,清除牙缝残渣;定期使用含氟牙膏或含氟漱口水,增强釉质抗酸能力,饮食方面需减少高糖、酸性食物(如碳酸饮料、糖果、果干)摄入,避免正畸期间咀嚼过硬食物,防止托槽脱落的同时减少牙齿磨损,进食后及时漱口,30分钟内避免刷牙(防止釉质软化后被磨损),每3-6个月需到正畸科复查,医生会通过口腔检查、探针或X光片评估牙齿清洁情况,及时发现早期脱矿或龋损,进行针对性处理(如涂氟、再矿化治疗)。
若已出现小黑点,需根据成因采取不同处理方式,若是龋齿形成的黑点(龋洞),需根据龋坏深度选择树脂填充、嵌体修复或根管治疗(累及牙髓时);釉质脱矿早期可通过含氟再矿化凝胶、专业涂氟促进釉质修复,严重脱矿形成龋洞则需按龋齿处理;托槽边缘色素沉着可通过专业洁牙(喷砂、超声波洁牙)去除色素,若色素渗透较深可能需牙齿美白或树脂修复;原有隐匿龋齿则需结合牙齿移动计划,先治疗龋齿再继续矫正,避免龋损加重。
相关问答FAQs
-
问:正畸后牙齿上的小黑点能去除吗?需要拔牙吗?
答:能否去除取决于黑点成因,若是色素沉着或轻度脱矿,通过洁牙、再矿化治疗可改善;若是龋齿形成的黑点(龋洞),需补牙修复,一般无需拔牙,除非龋坏严重累及牙根,建议及时就医检查,明确诊断后针对性处理。
(图片来源网络,侵删) -
问:正畸期间如何判断牙齿是否开始脱矿?自己能发现吗?
答:脱矿早期牙齿表面会出现不透明的白垩色斑点,边界模糊,多位于托槽周围或牙龈边缘,患者可通过镜子观察或用舌头舔舐感知牙齿表面是否粗糙,若发现白斑,需加强清洁并咨询医生,可通过口腔检查或探针、X光片确诊,早期干预可逆转脱矿。
