2025年夏天,我带着一口拥挤的牙齿走进了口腔诊所,医生指着牙模说“两年后你会拥有一口整齐的牙齿”,那时我以为这是通往自信的捷径,却没想到两年后等来的不是整齐,而是更复杂的麻烦——我的矫正失败了。
最初决定矫正,是因为门牙拥挤导致说话漏风,拍照时总下意识抿嘴,医生检查后说我是轻度骨性龅牙伴牙列拥挤,建议拔除四颗前磨牙,用金属自锁托槽矫正,拔牙时我疼得发抖,但想到“整齐的牙齿”,还是咬牙坚持了,戴上牙套的第一周,牙齿酸软得连粥都喝不下,后来慢慢适应,看着牙齿一天天变整齐,心里还挺得意,可矫正到第18个月时,问题开始出现:下颌右侧牙齿突然咬合不上,脸颊偶尔会莫名酸痛,我以为是正常现象,没太在意,直到拆除牙套那天,医生拿着我的X光片皱起眉头:“牙根吸收了,而且咬合关系没调好。”

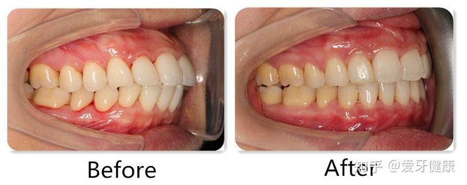
镜子里的牙齿确实比整齐了些,但门牙出现了“扇形张开”,下颌中线明显偏斜,吃苹果时门牙会酸痛,咬硬物时右侧牙齿使不上劲,更糟的是,因为牙根吸收,原本稳固的牙齿出现了轻微松动,我去问医生,对方说“个体差异,属于正常范围”,可我查了资料才知道,牙根吸收超过1/3就属于异常,严重的会导致牙齿脱落,那一刻,我才意识到,这场为期两年的矫正,不仅没让我变自信,反而让牙齿变得更脆弱了。
矫正失败的原因,现在回想起来,其实早有端倪,首先是医生的选择——我去的诊所虽然正规,但负责矫正的医生并没有正畸专科资质,方案设计时只关注了“排齐”,却忽略了我的咬合功能和骨性因素,拔牙设计时,拔除了四颗双尖牙,但没考虑到我的下颌发育不足,导致矫正后下颌后缩,面型反而比矫正前突了,其次是矫正过程中的监控缺失:每次复诊,医生只是简单调整力度,从未拍过全口X光片检查牙根情况,直到拆除牙套才发现问题,还有我自己的疏忽:早期因为疼痛,经常偷懒不戴橡皮筋,后期为了美观,自行要求医生加快排齐速度,这些都在无形中增加了失败的风险。
失败带来的影响远不止牙齿本身,生理上,咬合紊乱导致我经常头痛,颞下颌关节弹响,连打哈欠都会疼;心理上,我再也不敢露齿笑,照镜子时会盯着歪斜的门牙发呆,比矫正前更自卑,更让我心疼的是经济和时间成本:3万块的矫正费打了水漂,二次矫正的评估又花了2000多,医生说可能需要先做牙周治疗,再重新戴一年半的牙套,这意味着我要再忍受一次牙套的痛苦,还要多花至少2万。
我正在为二次矫正做准备,这次我学会了更谨慎:找了三甲医院的正畸专科医生,做了全面的检查(包括头颅侧位片、CBCT和牙周评估),医生说之前的牙根吸收不算严重,但需要先控制牙周炎症,再通过隐形矫正精细调整咬合,虽然过程会更漫长,但我终于明白:矫正牙齿不是“快速变美”的捷径,而是需要医生专业技术和患者耐心配合的“系统工程”,如果再给我一次机会,我一定会在矫正前多问几个“为什么”,在矫正中多留几个“心眼”,而不是盲目相信“整齐就好”的承诺。

矫正目标与实际效果对比表
| 预期目标 | 实际效果 | 差异说明 |
|---|---|---|
| 牙齿整齐排列 | 门牙扇形张开,下颌中线偏斜 | 方案设计未考虑骨性因素 |
| 咬合关系稳定 | 右侧咬合无力,颞下颌关节弹响 | 矫正中未及时调整咬合曲线 |
| 牙根健康 | 下颌前磨牙牙根吸收1/3 | 未定期拍X光片监控牙根情况 |
| 面型改善 | 龅牙改善不明显,下颌后缩 | 拔牙设计不当,忽略软组织代偿 |
相关问答FAQs
Q:矫正失败后可以二次矫正吗?需要重新戴牙套吗?
A:二次矫正通常可行,但需先评估失败原因和牙齿现状,若存在牙根吸收、牙周炎等问题,需先治疗基础疾病;若咬合关系紊乱,可能需要重新设计方案(如隐形矫正、舌侧矫正等),通常需要再次佩戴牙套,时间取决于复杂程度,一般1-2年,建议选择有正畸专科资质的医生,制定详细方案后再开始。
Q:如何避免矫正失败?矫正前需要注意什么?
A:避免矫正失败需从“选医生、定方案、重配合”三方面入手:①选医生:优先选择有正畸专科资质、案例经验丰富的医生,查看其过往案例是否与自身情况相似;②定方案:要求医生提供详细检查报告(头颅侧位片、CBCT、牙周检查等),明确矫正目标(功能与美观并重),对拔牙、支抗设计等关键环节充分沟通;③重配合:严格遵医嘱佩戴橡皮筋、保持器,定期复诊(一般4-6周一次),出现疼痛、咬合异常及时反馈。
