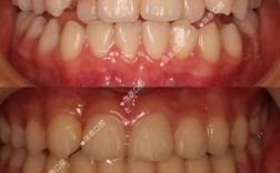
种植牙后若牙龈或黏膜异常增生,多由炎症刺激或修复体压迫引发,轻微者可观察,明显时需就医处理以
种植牙作为一种先进的缺牙修复技术,已广泛应用于临床多年,然而在实际诊疗过程中,部分患者会出现不同程度的增生现象,这一情况既可能发生在软组之中织(如牙龈),也可能涉及硬组织(如颌骨),以下从多维度深入解析种植牙相关增生问题的成因、表现及应对策略,帮助读者全面了解这一复杂议题。

核心概念界定
种植牙基础原理
种植牙通过外科手术将钛合金制成的种植体植入缺失牙区域的牙槽骨内,待二者形成稳定的骨结合后,安装基台并连接上部牙冠,理想状态下,周围软组织应贴合紧密且形态自然,但受多种因素影响可能出现异常增生。
增生的本质
医学上的“增生”指细胞数量增多导致的体积增大,可分为两类: | 类型 | 发生部位 | 典型特征 | 常见诱因 | |----------------|--------------------|----------------------------------|----------------------------| | 软组织增生 | 牙龈/黏膜 | 红肿隆起、易出血、边缘不规则 | 感染、异物刺激、激素波动 | | 硬组织增生 | 牙槽骨 | X线显示局部密度增高、突起 | 应力集中、代谢紊乱 |
增生的主要诱因剖析
✅ 生物学因素
- 慢性炎症反应:口腔卫生不良引发菌斑堆积→持续低度感染→纤维母细胞活跃增殖→牙龈肥厚,研究显示,约35%的种植体周围炎患者伴随明显软组织增生。
- 免疫排斥机制:极少数患者对种植体材料产生超敏反应,激活T淋巴细胞介导的迟发型变态反应,表现为肉芽肿样增生。
- 内分泌影响:妊娠期女性因雌激素水平飙升,原有轻微炎症易发展为妊娠性龈瘤;糖尿病患者的高血糖环境促进结缔组织过度生长。
⚙️ 力学因素
- 咬合力失衡:对颌牙过早接触或侧向力过大时,种植体颈部承受异常压力,诱发代偿性骨改建,严重者可形成外生骨疣。
- 微动效应:初期稳定性不足导致种植体微小晃动,刺激骨膜成骨细胞异常分化,出现局灶性骨赘生物。
💊 医源性因素
| 操作环节 | 风险点 | 后果 |
|---|---|---|
| 备洞阶段 | 转速过高产热损伤骨壁 | 继发性骨坏死伴反应性增生 |
| 缝合技术 | 张力过大压迫龈缘 | 缺血性溃疡愈合后的瘢痕增生 |
| 修复体设计 | 肩台位置过深刺激沟底 | 持续性炎症引发的乳头状增生 |
🌿 患者自身特质
- 解剖结构特殊:薄龈型患者的角化层较薄,抗摩擦能力弱,更易因刷牙不当造成创伤性增生。
- 用药史关联:长期服用抗癫痫药(苯妥英钠)、免疫抑制剂(环孢素)的患者,药物副作用可直接诱导纤维结缔组织增生。
临床表现分级与鉴别要点
🔍 动态观察指标
| 阶段 | 症状描述 | 辅助检查手段 |
|---|---|---|
| 初期(1-3月) | 种植体周围轻度发红,探诊少量渗血 | 探针深度>4mm提示潜在风险 |
| 进展期 | 可见半球形红色肿块覆盖穿龈区 | CBCT显示近中/远中骨吸收凹陷 |
| 晚期 | 增生组织遮挡邻牙接触面,影响咀嚼 | 活检病理见大量毛细血管扩张 |
⚠️ 需警惕的危急信号
- 增生速度超过每月2mm
- 表面呈菜花样改变或破溃糜烂
- 伴随同侧淋巴结肿大 此类情况需立即排除恶性病变可能,尽管极其罕见,但延误诊断可能造成严重后果。
系统化解决方案
🔧 阶梯式治疗方案
| 程度 | 处理方法 | 预期效果 |
|---|---|---|
| 轻度 | 激光修整+氯己定含漱液 | 7-10天消退80%以上 |
| 中度 | 翻瓣刮治术+引导组织再生膜应用 | 3个月内重建正常龈袖结构 |
| 重度 | 显微外科切除+自体骨移植 | 6个月后实现功能美学恢复 |
🛡️ 三级预防体系
- 术前防控:采用数字化导板精准定位,避开颏孔等敏感区域;对高风险人群提前进行正畸治疗拓宽间隙。
- 术中优化:使用亲水大颗粒喷砂处理的种植体表面,缩短骨整合时间;严格控制窝洞预备产热<47℃。
- 术后管理:定制个性化印模杆指导家庭护理,前3个月每周进行专业维护,重点清除螺纹间隙菌斑。
典型案例对照表
| 病例编号 | 主诉 | 检查结果 | 治疗方案 | 随访结果(1年) |
|---|---|---|---|---|
| A-007 | 左下第二磨牙区肿胀 | 牙龈指数PI=5,探诊深度6mm | 矢量控制下的增生切除术 | 完全消退,无复发迹象 |
| B-112 | 右上前牙区硬块 | CBCT示唇侧骨板增厚2.3mm | 超声骨刀打磨+GBR技术 | 骨轮廓恢复正常,美观改善 |
关键注意事项
- 切勿自行处理:家用盐敷、针刺放血等土法可能加重感染,甚至损伤种植体表面活性涂层。
- 重视早期干预:发现增生苗头应在2周内就诊,此时通过简单抛光即可逆转,拖延至后期需全麻手术。
- 跨学科协作:复杂病例需联合牙周科、口腔外科、修复科共同制定方案,必要时借助3D打印技术制作手术导板。
相关问答FAQs
Q1: 种植牙后出现增生是不是意味着失败了?
答:不完全是,轻度增生属于可控范围,及时处理不影响使用寿命,只有当增生导致种植体松动、骨吸收超过1/3或反复感染时,才需要考虑移除种植体,数据显示,规范治疗后90%以上的增生病例能保留种植体。
Q2: 为什么别人没增生就我有?
答:个体差异占主导因素,您的牙龈厚度、唾液成分、遗传背景都会影响愈合模式,例如亚洲人种普遍牙龈较厚,发生率比欧美人群高15%-20%,吸烟者的血管收缩会延缓创口愈合,间接增加增生概率,建议携带完整病历找专科
