拜博口腔网

  • 南京华美牙齿正畸

    南京华美牙齿正畸

    南京华美牙齿正畸作为南京地区专注于牙齿矫正的专业机构,始终以“精准矫治、美学修复”为核心,结合数字化技术与个性化方案,为不同年龄段患者提供一站式正畸服务,无论是青少年常见的牙齿排列不齐、龅牙,还是成人因咬合问题、美观需求矫正,南京华美均以严...

    2026-01-06
    60 0 0
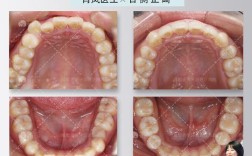
  • 成都正畸详询华美6

    成都正畸详询华美6

    在成都这座以“慢生活”著称的城市,人们对美的追求从未停歇,一口整齐洁白的牙齿不仅是健康的象征,更是自信笑容的加分项,近年来,随着口腔医疗技术的进步,牙齿正畸逐渐成为越来越多成都市民改善面部轮廓、提升生活品质的选择,在众多口腔机构中,华美口腔...

    2025-12-27
    57 0 0
  • 成都华美种植牙

    成都华美种植牙

    看到你在了解成都华美种植牙的信息,这确实是个需要仔细考虑的决定,种植牙是一项重要的口腔修复投资,选择一家靠谱的机构至关重要,我来帮你梳理一下关于成都华美口腔(通常指“成都华美紫馨医学美容医院口腔科”或“华美口腔连锁”在成都的机构)种植牙的相...

    2025-11-25
    32 0 0
  • 2025徐州种植牙至华美最新动态如何?

    2025徐州种植牙至华美最新动态如何?

    📍情况一:华美”指的是徐州本地的“华美口腔医院/门诊”这种情况比较常见,徐州本地通常有名为“华美口腔”或类似名称的连锁或本地口腔机构,✅这种情况下,您的流程非常简单:信息收集与咨询:线上:通过“华美口腔”的官方网站、微信公众号、抖音、...

    2025-11-12
    52 0 0
  • 2025上海华美牙齿矫正实力如何?

    2025上海华美牙齿矫正实力如何?

    上海华美牙齿矫正的核心实力与优势品牌背景与规模:连锁保障:上海华美是“华美医疗美容集团”在上海的重要分院,大型连锁机构通常拥有相对标准化的管理体系、技术培训体系和采购体系,在设备更新、医生资源调配、服务质量控制方面可能比小型机构更有保障,...

    2025-11-09
    46 0 0
  • 上海华美种植牙怎么样

    上海华美种植牙怎么样

    上海华美种植牙采用先进数字化技术,资深医师团队操作,配备高端设备,提供个性化方案,术后跟踪完善,患者反馈...

    2025-08-26
    144 0 0
  • 华美种植牙日记

    华美种植牙日记

    ✨华美种植牙初体验!从精准测量到微创植入,全程舒适无痛,术后恢复迅速,新牙稳固美观,咀嚼自如,重获自信...

    2025-08-23
    130 0 0
  • 1 / 1
  • 1