拜博口腔网

  • 新西兰正畸诊所招

    新西兰正畸诊所招

    新西兰正畸行业近年来随着人口增长与口腔健康意识的提升,市场需求持续扩大,专业人才缺口明显,无论是公立口腔医院还是私立正畸诊所,均积极招募具备专业技能与跨文化沟通能力的从业者,以下从职位类型、任职要求、招聘流程、福利待遇及职业发展五个维度,详...

    2026-01-05
    47 0 0
  • 错合会导致磨牙?正畸如何应对?

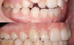
    错合会导致磨牙?正畸如何应对?

    错合畸形是口腔临床常见的疾病,指儿童在生长发育过程中,由先天遗传因素或后天环境因素导致的牙齿、颌骨、颅面之间的位置关系异常,不仅影响面部美观,还可能造成咀嚼功能下降、发音障碍、牙周组织损伤甚至心理健康问题,在错合畸形的诸多表现中,磨牙相关问...

    2026-01-05
    43 0 0
  • 虎牙缺失正畸能恢复吗?前后变化大吗?

    虎牙缺失正畸能恢复吗?前后变化大吗?

    虎牙(上颌尖牙)位于口腔口角处,是牙列中体积最大、牙根最长的牙齿,不仅承担着重要的咀嚼功能,还在维持面部丰满度、支撑口角形态中发挥关键作用,当虎牙因先天缺失、外伤脱落或因正畸需要拔除时,会导致邻牙向缺牙区倾斜、对颌牙伸长,甚至引发咬合紊乱、...

    2026-01-05
    18 0 0
  • 兰州口腔正畸培训

    兰州口腔正畸培训

    兰州作为西北地区重要的中心城市,近年来随着居民健康意识的提升和口腔医疗需求的增长,口腔正畸领域迎来了快速发展,正畸治疗不仅涉及牙齿排列的改善,更关系到口腔功能、面部美学及心理健康,因此对专业正畸医生的需求日益迫切,兰州口腔正畸培训作为培养西...

    2026-01-05
    51 0 0
  • 精于种植专于正畸

    精于种植专于正畸

    随着人们对生活品质要求的不断提升,口腔健康已不再局限于“无病痛”,而是延伸到功能恢复与美学提升的双重需求,在口腔医学领域,种植技术与正畸矫治作为解决牙齿缺失与错颌畸形的核心手段,其专业性与精细化程度直接影响治疗效果与患者体验,“精于种植,专...

    2026-01-05
    119 0 0
  • 正畸牵引压低费用

    正畸牵引压低费用

    正畸牵引压低是口腔正畸治疗中针对牙齿伸长、深覆颌、牙周病继发性牙齿伸长等问题的一种复杂技术,通过牵引装置将过长或位置异常的牙齿向牙槽骨内移动,以恢复正常的咬合关系、改善面部美观及维护牙周健康,这项治疗涉及多环节协同,费用受多种因素影响,患者...

    2026-01-05
    15 0 0
  • 合肥医院牙齿正畸

    合肥医院牙齿正畸

    牙齿排列不齐不仅影响面部美观,还可能引发口腔清洁困难、咬合问题等健康隐患,而牙齿正畸作为有效的解决手段,在合肥各大医院的口腔科已成为热门选择,合肥作为安徽省会,医疗资源集中,尤其在牙齿正畸领域,结合前沿技术与个性化方案,为不同年龄段患者提供...

    2026-01-05
    51 0 0
  • 光华口腔周末正畸

    光华口腔周末正畸

    随着人们对口腔健康和美观需求的提升,牙齿正畸逐渐成为越来越多人的选择,但传统正畸“工作日复诊”的模式,让不少上班族、学生党面临请假难、时间冲突的困扰,光华口腔针对这一痛点,特别推出“周末正畸”服务,通过灵活的时间安排、专业的医疗团队和数字化...

    2026-01-05
    44 0 0
  • 儿童牙科正畸医院

    儿童牙科正畸医院

    儿童牙科正畸是保障儿童口腔健康与面部正常发育的重要环节,选择专业、可靠的儿童牙科正畸医院,直接关系到矫正效果与孩子的治疗体验,儿童的口腔结构处于动态发育阶段,牙齿替换、颌骨生长等特点使得正畸治疗需兼顾功能与美观,同时需充分考虑孩子的心理特点...

    2026-01-05
    42 0 0
  • 重庆口腔正畸协会

    重庆口腔正畸协会

    重庆口腔正畸协会作为推动西南地区口腔正畸学科发展的重要行业组织,自成立以来始终以“规范行业技术、提升诊疗水平、服务大众健康”为核心使命,致力于搭建学术交流、人才培养、科普宣传的综合性平台,随着重庆地区口腔医疗需求的持续增长,正畸技术从传统托...

    2026-01-05
    21 0 0