拜博口腔网

  • 2025矫正牙齿上班,效率受影响吗?怎么破?

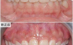
    2025矫正牙齿上班,效率受影响吗?怎么破?

    矫正牙齿(正畸治疗)期间的工作生活确实需要一些调整和适应,但完全可以在不影响工作质量的前提下顺利进行,以下是一些关键的建议和注意事项,帮助你更好地平衡工作与正畸治疗:📍一、核心原则:沟通、规划、适应与你的正畸医生充分沟通:告知你的职业性...

    2025-11-14
    47 0 0
  • 2025矫正牙齿侧脸,现在开始还来得及改善吗?

    2025矫正牙齿侧脸,现在开始还来得及改善吗?

    牙齿矫正(正畸)对侧脸轮廓的影响是非常显著且多方面的,是许多人选择矫正的重要动机之一,矫正不仅仅是排列牙齿,更是通过调整牙齿、颌骨和软组织(主要是嘴唇)的位置关系,来达到面部美学和功能上的协调,以下是矫正牙齿对侧脸可能产生的主要影响:🦷1...

    2025-11-14
    33 0 0
  • 2025年新研究,牙齿矫正会引发口吃吗?

    2025年新研究,牙齿矫正会引发口吃吗?

    看到你同时提到“口吃”和“牙齿矫正”,我能理解你可能正在经历这两方面的困扰,或者想了解它们之间是否存在关联,这两个问题确实常常让人感到困扰,但别担心,它们都有成熟的解决方案,我来帮你梳理一下这两者之间的关系以及各自的应对方法:🧠1.口吃...

    2025-11-14
    32 0 0
  • 矫正中牙齿松动现在怎么办?2025最新解答

    矫正中牙齿松动现在怎么办?2025最新解答

    矫正过程中牙齿出现松动是非常正常且预期内的现象,这恰恰说明矫正治疗正在有效进行中,不必过度担心,但需要正确理解和处理,🦷为什么矫正中牙齿会松动?生理性改建过程:牙齿移动并非牙齿本身在骨头里滑动,而是牙齿周围的牙槽骨发生生理性改建,压力侧:...

    2025-11-13
    38 0 0
  • 现在矫正牙齿,这些劝告真的靠谱吗?

    现在矫正牙齿,这些劝告真的靠谱吗?

    看到你对牙齿矫正的关注,我能理解你此刻的心情,或许你正犹豫是否要迈出这一步,或者想说服某人接受矫正,又或者只是想更全面地了解这个决定背后的意义,无论你是为自己还是为他人考虑,牙齿矫正确实是一个值得认真对待的健康投资,它不仅仅关乎美观,更是对...

    2025-11-13
    39 0 0
  • 2025年牙周炎矫正牙齿危害有哪些?

    2025年牙周炎矫正牙齿危害有哪些?

    牙周炎患者进行牙齿矫正(正畸治疗)存在显著的风险和潜在危害,强烈不建议在牙周炎未得到有效控制的情况下直接进行矫正,这是因为矫正过程会施加额外的力量移动牙齿,而牙周炎已经破坏了牙齿赖以稳固的牙周组织(牙龈、牙槽骨、牙周膜等),这可能导致一系...

    2025-11-13
    36 0 0
  • 2025下颌骨突出矫正,正畸能快速改善吗?

    2025下颌骨突出矫正,正畸能快速改善吗?

    告别“地包天”,重塑面部轮廓的完整指南“地包天”“月亮脸”“侧面看像‘鞋拔子脸’”……这些困扰或许正是下颌骨突出人群的日常,作为影响面部美观与口腔功能的常见问题,下颌骨突出不仅让人产生社交自卑,更可能引发咬合紊乱、颞下颌关节问题等健康隐患,...

    2025-11-12
    37 0 0
  • 2025矫正牙齿,拔牙真的有必要吗?

    2025矫正牙齿,拔牙真的有必要吗?

    矫正牙齿是否需要拔牙,这并非一个绝对的问题,而是取决于每个人的具体情况,拔牙是正畸治疗中一种常见且重要的手段,但并非所有人都需要拔牙,最终决定需要由专业的正畸医生进行全面的口腔检查、分析模型、拍摄X光片(如全景片、头颅侧位片)后,根据你的具...

    2025-11-12
    35 0 0
  • 孕期牙齿正畸矫正能做吗?

    孕期牙齿正畸矫正能做吗?

    怀孕期间进行牙齿正畸矫正是一个需要极其谨慎考虑的问题,大多数正畸医生会强烈建议女性在怀孕前完成正畸治疗,或者在怀孕期间暂停或推迟非必要的正畸治疗,以下是详细的分析和考虑因素:📍为什么孕期正畸需要谨慎?激素变化影响牙龈健康:怀孕期间雌激素和...

    2025-11-12
    61 0 0
  • 夏天能做牙齿矫正吗?高温正畸注意事项来了!

    夏天能做牙齿矫正吗?高温正畸注意事项来了!

    是的,夏天完全可以做牙齿矫正!这并不是一个禁忌季节,夏天做牙齿矫正有很多独特的优势,同时也有一些需要注意的地方,下面详细分析一下:夏天做牙齿矫正的优势时间更充裕(尤其对学生):暑假期间,学生有完整的假期时间,可以更好地适应初戴牙套的不适感...

    2025-11-12
    38 0 0