拜博口腔网

  • 种植牙要多少钱 门牙

    种植牙要多少钱 门牙

    种植门牙的价格差异较大,受多种因素影响,单颗门牙种植的总费用大致在8,000元-25,000元人民币之间,甚至更高,这是一个比较宽泛的范围,具体价格需要根据你的个人情况和选择的诊所/医生来确定,以下是影响门牙种植价格的关键因素和费用构...

    2025-11-26
    4 0 0
  • 种植牙可以做门牙吗?修复效果、寿命及注意事项有哪些?

    种植牙可以做门牙吗?修复效果、寿命及注意事项有哪些?

    是的,种植牙完全可以用于修复门牙缺失,并且是目前最理想、最推荐的门牙修复方式之一,门牙(尤其是上颌中切牙和侧切牙)位于口腔最前方,承担着重要的切割食物功能,并且对美观要求极高,种植牙修复门牙具有以下显著优势:✅种植牙修复门牙的优势美观效果...

    2025-11-26
    2 0 0
  • 种植牙门牙会贵一点吗

    种植牙门牙会贵一点吗

    是的,种植牙门牙通常会比种植后牙(如磨牙)贵一些,这主要是由于以下几个关键因素的综合作用:🦷1.美学要求极高位置显眼:门牙位于口腔最前方,是面部笑容的焦点,任何瑕疵都极其明显,自然度要求:门牙牙冠的颜色、透明度、形态、纹理、大小、排...

    2025-11-25
    5 0 0
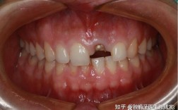
  • 种植牙门牙照片

    种植牙门牙照片

    关于种植牙门牙的照片,我理解您想了解种植牙门牙的实际效果和外观,由于版权、隐私以及个体差异的原因,我无法直接在这里提供具体的照片,我可以为您详细描述种植牙门牙的理想效果特征,并告诉您如何找到可靠的照片参考,以及关键点:📸种植牙门牙的理想效...

    2025-11-24
    15 0 0
  • 2025门牙掉了现在做种植牙过程是怎样的?

    2025门牙掉了现在做种植牙过程是怎样的?

    门牙掉了做种植牙是一个相对复杂但效果非常好的修复方式,它不仅能恢复美观,还能恢复良好的咀嚼功能和发音,整个过程通常需要几个月的时间,涉及多个步骤,以下是详细的种植牙过程:🦷一、初期评估与规划(至关重要)口腔检查:医生会详细检查你的口腔状...

    2025-11-16
    58 0 0
  • 现在矫正牙齿能拔门牙吗?

    现在矫正牙齿能拔门牙吗?

    矫正牙齿通常不轻易拔除门牙(中切牙和侧切牙),因为门牙在口腔中扮演着至关重要的角色,对美观、发音和咬合功能都有重要影响,但在某些特殊且必要的情况下,正畸医生可能会考虑拔除门牙作为治疗方案的一部分,以下是关于矫正牙齿拔门牙的详细分析:📍为什...

    2025-11-14
    45 0 0
  • 现在做多颗门牙种植牙,全过程要多久?

    现在做多颗门牙种植牙,全过程要多久?

    多颗门牙种植牙是一个复杂但效果显著的治疗方案,旨在恢复缺失门牙的功能(咀嚼、发音)和美观(微笑曲线),这个过程通常比单颗种植更复杂,涉及更精细的规划、更多的手术步骤以及更长的治疗周期,以下是多颗门牙种植牙的典型过程步骤:📌一、术前评估与规...

    2025-11-09
    56 0 0
  • 2025年门牙掉了,现在还能种种植牙吗?

    2025年门牙掉了,现在还能种种植牙吗?

    门牙掉了完全可以进行种植牙修复,而且种植牙是目前修复单颗门牙缺失最理想、最自然的方式之一,能否成功种植以及最终效果如何,需要经过详细的口腔检查和评估,取决于以下几个关键因素:🦷1.牙槽骨条件(最重要的因素)骨量充足:种植体需要植入牙槽...

    2025-11-07
    35 0 0
  • 种植牙门牙一颗多少钱?

    种植牙门牙一颗多少钱?

    种植门牙一颗的价格差异很大,没有一个固定的数字,主要取决于以下几个关键因素:📍影响种植门牙价格的主要因素种植体品牌和类型:国际一线品牌:如瑞士的Straumann(士卓曼)、ITI(同属于士卓曼集团)、瑞典的NobelBiocare(...

    2025-10-30
    42 0 0
  • 矫正牙齿多久能用门牙

    矫正牙齿多久能用门牙

    矫正牙齿后门牙能够正常使用(即可以安全地用于咀嚼食物)的时间因人而异,没有一个绝对固定的答案,这主要取决于以下几个关键因素:牙齿移动的阶段和程度:初期排齐阶段:刚戴上牙套的1-3个月,牙齿(包括门牙)处于初步移动和排齐的位置,此时门牙可能...

    2025-10-29
    44 0 0
  • 1 / 2
  • 1
  • 2