拜博口腔网

  • 牙齿矫正技术已成熟,效果与安全真能万无一失吗?

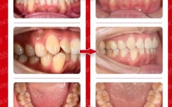
    牙齿矫正技术已成熟,效果与安全真能万无一失吗?

    是的,牙齿矫正技术已经非常成熟,可以说,它是口腔医学中发展最完善、应用最广泛、效果最可预测的领域之一,以下从几个方面说明其成熟度:历史悠久,基础扎实:现代牙齿矫正技术(使用固定矫治器)已有超过100年的历史,经过一个多世纪的发展,基础理论(...

    2025-11-19
    52 0 0
  • 天使隐形矫正牙齿效果如何?真的隐形且舒适吗?

    天使隐形矫正牙齿效果如何?真的隐形且舒适吗?

    “天使隐形矫正”是什么?“天使隐形矫正”通常指的是国产隐形牙套品牌“时代天使”(Angelalign)的产品系列,它是国内最早、也是目前市场占有率最高的国产隐形矫正品牌之一,与进口品牌“隐适美”(Invisalign)在市场上形成主要竞争...

    2025-11-18
    43 0 0
  • 种植牙要考虑哪些方面?费用、效果、适应症如何权衡?

    种植牙要考虑哪些方面?费用、效果、适应症如何权衡?

    种植牙是一项重要的口腔修复决策,需要全面考虑多个因素,以确保成功、舒适和长期效果,以下是一些关键考虑点:🦷一、口腔健康与条件评估(这是基础!)牙槽骨状况:骨量:种植体需要植入牙槽骨中,足够的骨高度、宽度和密度是成功的关键,如果骨量不足,...

    2025-11-18
    30 0 0
  • 二十几岁矫正牙齿晚不晚?效果会受年龄影响吗?

    二十几岁矫正牙齿晚不晚?效果会受年龄影响吗?

    二十几岁矫正牙齿,完全可行,而且是非常普遍且明智的选择!这个年龄段进行正畸治疗有独特的优势和需要考虑的因素,下面为你详细分析:🦷一、为什么二十几岁矫正牙齿是个好时机?骨骼发育稳定:相比青少年,成年人的颌骨已经发育完成,牙齿移动更可预测...

    2025-11-18
    34 0 0
  • 上海全口种植牙价格多少?效果靠谱吗?

    上海全口种植牙价格多少?效果靠谱吗?

    上海作为国际化大都市,在口腔种植领域拥有非常丰富的资源和先进的技术,全口种植牙(即全口牙列缺失的种植修复)是其中的高端项目,以下是关于上海全口种植牙的全面信息,帮助你做出明智的选择:📍一、核心信息概览技术主流:All-on-4/All-o...

    2025-11-18
    34 0 0
  • 海南海口牙齿矫正多少钱?效果好不好?哪家医院专业?

    海南海口牙齿矫正多少钱?效果好不好?哪家医院专业?

    📍一、主要选择类型公立医院口腔科/正畸科:代表机构:海南省口腔医院(海口总院)、海南医学院附属医院口腔科、海口市人民医院口腔科等,优点:权威性高:背靠大型综合医院,医生团队整体专业水平有保障,尤其在处理复杂病例、伴有全身性疾病的患者...

    2025-11-18
    32 0 0
  • 只矫正一颗牙可行吗?效果和邻牙健康会有影响吗?

    只矫正一颗牙可行吗?效果和邻牙健康会有影响吗?

    “牙齿只矫正一个”这个想法听起来似乎简单直接,但实际上在正畸学中,通常不建议也难以真正只矫正一颗牙齿,原因如下:📍1.牙齿是相互关联的整体牙弓系统:你的牙齿排列在一个叫做“牙弓”的弧形结构上,像多米诺骨牌一样相互依存、相互影响,移动一...

    2025-11-18
    34 0 0
  • 24岁想矫正牙齿,现在开始还来得及吗?效果会受年龄影响吗?

    24岁想矫正牙齿,现在开始还来得及吗?效果会受年龄影响吗?

    看到24岁的你想要矫正牙齿,我真心为你感到高兴!这个年纪正是追求更好笑容和自信的黄金时期,无论你是觉得牙齿排列不齐、咬合有问题,还是单纯想改善笑容,现在开始矫正都完全来得及,而且是非常明智的决定,成年人矫正牙齿不仅可行,而且效果往往非常理想...

    2025-11-18
    38 0 0
  • 上海隐形矫正牙齿技术如何选择?效果、优势、注意事项有哪些?

    上海隐形矫正牙齿技术如何选择?效果、优势、注意事项有哪些?

    主流隐形矫正技术品牌(在上海均广泛应用)上海市场上的隐形矫正品牌非常齐全,覆盖了不同价位和需求:隐适美:技术特点:全球隐形矫正的鼻祖和领导者,技术最成熟、临床案例最多、应用最广泛,拥有强大的材料科学、软件算法和3D打印技术,优势:材料性能...

    2025-11-18
    47 0 0
  • 咸阳牙齿矫正要花多少钱?效果好不好?要做多久?哪家医院靠谱?

    咸阳牙齿矫正要花多少钱?效果好不好?要做多久?哪家医院靠谱?

    📍一、咸阳牙齿矫正的主要选择大型公立医院口腔科/口腔医院:优势:医生资质通常较高(多为副教授、教授级别),技术规范严谨,收费相对透明(参考省物价局标准),处理复杂病例经验丰富,医保报销范围更广(部分项目可报),代表机构:咸阳市中心医院口...

    2025-11-18
    30 0 0