拜博口腔网

  • 成人矫正牙齿一般需要多长时间?

    成人矫正牙齿一般需要多长时间?

    成人矫正牙齿所需的时间差异很大,没有一个绝对统一的答案,平均需要1.5年到3年左右,但具体到每个人,矫正时间会受到多种因素的影响,主要可以归纳为以下几点:📍1.牙齿问题的复杂程度(最重要的因素)简单问题:如果只是轻微的牙齿拥挤、少量间...

    2025-11-21
    30 0 0
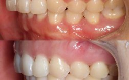
  • 牙齿偏合矫正怎么做?效果如何?周期多长?

    牙齿偏合矫正怎么做?效果如何?周期多长?

    “牙齿偏合”通常指的是牙齿错颌畸形,也就是我们常说的牙齿不齐、咬合关系异常,这是一种非常普遍的口腔问题,不仅影响美观,更重要的是可能影响口腔功能(咀嚼、发音)、牙周健康甚至心理健康,牙齿矫正(正畸治疗)就是解决这些问题的核心方法,下面我将为...

    2025-11-21
    22 0 0
  • 牙齿矫正一般需要多长时间才能完成?

    牙齿矫正一般需要多长时间才能完成?

    牙齿矫正所需的时间因人而异,没有一个固定的答案,但通常在1年到3年之间,具体时间取决于多种因素:📍主要影响因素牙齿问题的复杂程度:简单问题:例如轻微的牙齿拥挤、少量前牙不齐、单纯的小龅牙(牙性),矫正时间相对较短,可能在6个月到1年半左...

    2025-11-21
    26 0 0
  • 30岁矫正牙齿需要多久?

    30岁矫正牙齿需要多久?

    30岁矫正牙齿所需的时间没有一个固定的答案,因为它受到多种因素的综合影响,我可以为你详细分析这些因素,并给出一个大致的时间范围:📍影响矫正时间的主要因素牙齿问题的复杂程度(最关键因素):简单拥挤/不齐:如果只是牙齿排列拥挤、有少量缝隙或...

    2025-11-20
    33 0 0
  • 南京透明矫正牙齿的价格、效果和矫正周期是怎样的?

    南京透明矫正牙齿的价格、效果和矫正周期是怎样的?

    📍一、什么是透明矫正?透明矫正通常指使用一系列由医用高分子材料(如SmartStage、隐适美、时代天使等品牌)制成的透明、可摘戴的牙套来排齐牙齿、调整咬合、改善面型,它相比传统金属托槽矫正,具有以下显著优势:美观性:牙套透明,佩戴后...

    2025-11-20
    28 0 0
  • 隐形矫正牙齿一般需要多长时间完成矫正?

    隐形矫正牙齿一般需要多长时间完成矫正?

    隐形矫正牙齿(如隐适美、时代天使等)所需的时间因人而异,没有一个绝对固定的“标准”答案,整个矫正过程(从开始佩戴第一副牙套到完成所有目标并摘下保持器)通常需要1.5年到3年左右,以下是影响矫正时间的关键因素和更详细的说明:📌主要影响因素牙...

    2025-11-20
    35 0 0
  • 矫正牙齿矫正大概需要多长时间?

    矫正牙齿矫正大概需要多长时间?

    矫正牙齿所需的时间因人而异,没有一个固定的答案,它受到多种因素的影响,但通常在1.5年到3年之间比较常见,以下是影响矫正时间的主要因素和更详细的说明:📍影响矫正时间的关键因素牙齿问题的复杂程度:简单病例:如果只是轻微的拥挤、个别牙齿扭转...

    2025-11-20
    35 0 0
  • 成年人矫正牙齿一般需要多长时间?

    成年人矫正牙齿一般需要多长时间?

    成年人牙齿矫正所需的时间没有绝对固定的答案,平均需要1到3年,具体时间受多种因素影响,差异很大,以下是影响矫正时间的主要因素:牙齿问题的复杂程度:简单病例:如果只是轻微的牙齿拥挤、不齐或个别牙齿扭转,没有严重的咬合问题(如深覆合、深覆盖、...

    2025-11-19
    26 0 0
  • 株洲中心医院牙齿矫正效果如何?需要多长时间?花多少钱?

    株洲中心医院牙齿矫正效果如何?需要多长时间?花多少钱?

    株洲中心医院口腔科/正畸科概况综合实力强:作为三甲医院,其口腔科拥有先进的医疗设备、规范的诊疗流程和完善的消毒隔离措施,保障治疗的安全性和规范性,专业团队:口腔科通常设有专门的正畸专业组或正畸专科医生,这些医生通常具有扎实的理论基础和丰...

    2025-11-19
    30 0 0
  • 牙齿矫正最快周期是多少?最短需要多长时间完成?

    牙齿矫正最快周期是多少?最短需要多长时间完成?

    牙齿矫正的“最快周期”是一个相对概念,没有绝对统一的答案,因为它高度依赖于个体牙齿的具体情况、矫正目标、所选择的矫正方法以及医生的技术和方案设计,我们可以探讨一下在特定条件下可能达到的相对较快的矫正周期:📌最有可能达到较快周期的几种情况和...

    2025-11-19
    34 0 0