拜博口腔网

  • 刚矫正完牙齿咬合不好怎么办?急!

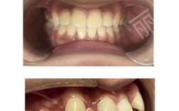
    刚矫正完牙齿咬合不好怎么办?急!

    矫正牙齿后出现咬合不好确实是一个令人困扰的问题,但请放心,这种情况相对常见,而且通常有解决方法,咬合不好可能表现为多种症状,咬合不实/感觉牙齿没碰在一起:咀嚼时感觉某个或某些牙齿接触不到,或者感觉空落落的,咬合过高/咬合过深:某个或某些...

    2025-11-14
    55 0 0
  • 刚矫正完牙齿,现在咬合正常吗?

    刚矫正完牙齿,现在咬合正常吗?

    看到你问“已经矫正牙齿正常吗”,我能理解你此刻的关心和期待,矫正牙齿后,大家都希望看到整齐美观的笑容和健康的咬合功能,但“正常”这个词确实需要更具体的解读,我来帮你梳理一下:“正常”通常指以下几个方面:牙齿排列整齐:牙齿没有明显的拥挤、扭转...

    2025-11-14
    98 0 0
  • 2025矫正牙齿咬合多久能好?最新周期解答

    2025矫正牙齿咬合多久能好?最新周期解答

    矫正牙齿咬合有多久?影响时间的关键因素与全周期解析牙齿咬合不齐(如深覆合、深覆盖、反颌、开颌等)不仅影响咀嚼功能、面部美观,还可能引发龋齿、牙周病、颞下颌关节紊乱等问题,通过正畸矫正改善咬合,是许多人的选择,但“矫正咬合到底需要多久?”是患...

    2025-11-14
    35 0 0
  • 牙齿矫正后睡觉磨牙,最近总犯怎么办?

    牙齿矫正后睡觉磨牙,最近总犯怎么办?

    牙齿矫正(正畸治疗)和睡觉磨牙(夜间磨牙症)是两个口腔问题,它们之间可能存在相互影响,需要分别对待并协同管理,以下是详细的分析和建议:🦷一、牙齿矫正对磨牙的影响(或潜在影响)咬合不稳定期:矫正过程中,牙齿在牙槽骨中缓慢移动,新的咬合关系...

    2025-11-11
    48 0 0
  • 2025牙齿矫正咬合不好,现在还能调整吗?

    2025牙齿矫正咬合不好,现在还能调整吗?

    牙齿矫正后出现咬合不好(也称为咬合紊乱或咬合问题)是一个比较常见但又需要重视的情况,它指的是矫正结束后,上下牙齿在咬合时接触不良、不协调或存在不适感,🦷可能的原因矫正方案设计或执行偏差:目标设定问题:矫正前医生对最终咬合目标的设定可能不...

    2025-11-10
    37 0 0
  • 矫正后咬舌头?最近为啥总这样?

    矫正后咬舌头?最近为啥总这样?

    牙齿矫正后咬舌头是一个相当常见的问题,尤其是在矫正初期和调整期间,这通常是由多种因素共同作用导致的,不必过于恐慌,但需要重视和正确处理,🦷主要原因牙齿位置变化与适应期:牙齿移动:矫正过程中,牙齿被移动到新的位置,在牙齿稳定下来之前,它们...

    2025-11-09
    52 0 0
  • 牙齿矫正后咬合不了?近期矫正者怎么办?

    牙齿矫正后咬合不了?近期矫正者怎么办?

    牙齿矫正后出现咬合不上的情况,确实让人焦虑,但请别太担心,这是一个相对常见的问题,通常有解决方案,以下是可能的原因以及你应该采取的步骤:📍可能的原因牙齿位置尚未完全稳定:刚结束矫正不久:即使矫正器已经摘除,牙齿周围的牙槽骨、牙龈、牙周膜...

    2025-11-08
    40 0 0
  • 2025牙齿矫正斜导靠谱吗?效果真能改善咬合?

    2025牙齿矫正斜导靠谱吗?效果真能改善咬合?

    什么是斜导?斜导是一种粘固在上颌前牙区(通常是切牙和尖牙)舌侧或粘接在上颌前牙区牙冠表面的装置,它的核心特征是一个倾斜的斜面,这个斜面的设计目标是引导下颌骨(和下牙列)向前移动,斜导的核心作用机制改变咬合接触点:当患者自然闭合下颌(咬合)...

    2025-11-08
    38 0 0
  • 牙齿矫正固定

    牙齿矫正固定

    从原理到护理,一篇读懂“钢牙”背后的正畸智慧“牙齿不齐,到底选隐形矫正还是固定矫正?”“听说固定矫正‘铁齿钢牙’,真的像传说中那么难受吗?”“戴上牙套后,饮食要注意什么?会不会影响社交?”关于牙齿矫正固定,很多人既好奇又犹豫,作为深耕口腔正...

    2025-10-30
    42 0 0
  • 牙齿矫正后牙齿往外突,是矫正失败了吗?

    牙齿矫正后牙齿往外突,是矫正失败了吗?

    牙齿矫正后出现牙齿往外突(前牙唇倾或复发)是一个令人担忧的问题,但确实可能发生,这通常不是单一原因造成的,而是多种因素共同作用的结果,以下是可能的原因以及相应的处理建议:🧩一、可能的原因矫正方案设计或执行不当:拔牙选择不当:对于需要拔除...

    2025-10-30
    44 0 0