拜博口腔网

  • 种植牙后回访电话,一般会询问哪些恢复细节和注意事项?

    种植牙后回访电话,一般会询问哪些恢复细节和注意事项?

    种植牙后的回访电话是非常重要的一环,它体现了诊所对患者术后恢复的持续关注和负责态度,有助于早期发现问题、指导正确护理、解答疑问、提升患者满意度,并建立长期的医患信任关系,以下是一个详细的种植牙后回访电话指南,涵盖了目的、时间点、内容、技巧和...

    2025-11-26
    1 0 0
  • 种植牙报价如何获取?包含哪些费用和注意事项?

    种植牙报价如何获取?包含哪些费用和注意事项?

    影响种植牙价格的核心因素种植体品牌(占大头,约50%-70%)高端品牌(瑞士ITI、瑞典Nobel、美国Zimmer等):5万~3万元/颗优势:生物相容性好,骨结合速度快,长期稳定性强,质保期长(通常10年以上),中端品牌(韩国Osstem...

    2025-11-26
    1 0 0
  • 种植牙品牌这么多,到底哪种好?选品牌要注意啥?

    种植牙品牌这么多,到底哪种好?选品牌要注意啥?

    选择种植牙品牌确实是个需要仔细考虑的问题,因为“好”的定义因人而异,取决于你的具体需求、预算、口腔状况以及所在地区的医疗资源,没有绝对“最好”的品牌,只有“最适合”你的品牌,我可以为你梳理一下主流种植牙品牌的分类、特点以及选择时需要考虑的关...

    2025-11-26
    2 0 0
  • 种植牙的治疗顺序是怎样的?各步骤间隔及注意事项有哪些具体要点?

    种植牙的治疗顺序是怎样的?各步骤间隔及注意事项有哪些具体要点?

    种植牙是一个精密且分阶段进行的外科修复过程,通常需要几个月的时间来完成,其核心目的是在缺牙区的牙槽骨内植入人工牙根(种植体),待其与骨组织牢固结合(骨结合)后,再在其上安装基台和牙冠,最终恢复牙齿的功能和美观,以下是种植牙的标准顺序和主要步...

    2025-11-26
    3 0 0
  • 种植牙植骨手术记录中,哪些关键步骤和注意事项需牢记?

    种植牙植骨手术记录中,哪些关键步骤和注意事项需牢记?

    种植牙植骨手术记录患者基本信息姓名:[患者姓名]性别:[男/女]年龄:[患者年龄]岁病历号/ID:[患者唯一标识号]联系电话:[患者联系电话]手术日期:[年]年[月]日[时]时[分]手术地点:[手术室名称/诊室名称]主刀...

    2025-11-25
    1 0 0
  • 先天缺牙适合种植牙吗?效果及注意事项有哪些?

    先天缺牙适合种植牙吗?效果及注意事项有哪些?

    看到你在关注先天缺牙和种植牙的问题,我能理解这种困扰,先天缺牙确实会让人对笑容和咀嚼功能感到担忧,而种植牙作为现代牙科的重要修复方式,确实是个值得了解的选项,别担心,我来为你详细解析一下两者的关系和种植牙在先天缺牙修复中的应用,🦷先天缺牙...

    2025-11-25
    2 0 0
  • 种植牙临床问题解析,常遇哪些难题?解决方法与注意事项是什么?

    种植牙临床问题解析,常遇哪些难题?解决方法与注意事项是什么?

    种植牙作为一种成熟且成功的牙齿修复方式,其成功率很高(通常在95%以上),但任何医疗过程都存在潜在的临床问题和并发症,了解这些问题有助于患者更好地配合治疗,医生更有效地预防和处理,以下是种植牙临床中可能遇到的主要问题,按发生阶段和类型分类:...

    2025-11-25
    1 0 0
  • 种植牙能用美容仪吗?注意事项和使用技巧全解析!

    种植牙能用美容仪吗?注意事项和使用技巧全解析!

    种植牙能否使用美容仪,需要非常谨慎,并且强烈建议在使用前咨询你的种植牙医生,没有绝对安全的答案,这取决于多种因素,包括:美容仪的类型和工作原理:不同类型的美容仪风险差异巨大,种植牙的位置、类型和状态:是单颗、多颗还是全口?牙冠是金属(如...

    2025-11-25
    1 0 0
  • 种植牙能用漱口水护理吗?正确方法和注意事项有哪些?

    种植牙能用漱口水护理吗?正确方法和注意事项有哪些?

    种植牙使用漱口水护理是可行且推荐的,但需要正确选择和使用,并且不能替代日常的刷牙、牙线/牙缝刷等机械清洁方式,以下是关于种植牙使用漱口水的详细指南:🧼一、为什么种植牙可以使用漱口水?辅助清洁:漱口水可以冲刷掉口腔中部分食物残渣和细菌,尤...

    2025-11-25
    2 0 0
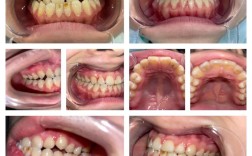
  • 种植牙后还能矫正牙齿吗?注意事项有哪些?

    种植牙后还能矫正牙齿吗?注意事项有哪些?

    种植牙后是否可以进行牙齿矫正,答案是可以,但有非常重要的前提和注意事项,核心在于:种植体本身不能像自然牙齿一样被移动,但矫正可以在种植体周围进行,移动其他牙齿,以下是详细解释:🦷1.种植体本身不能移动骨结合原理:种植牙成功的关键在于种...

    2025-11-25
    6 0 0