拜博口腔网

  • 矫正牙齿一定要拔门牙吗?专家解析拔门牙矫正的注意事项

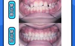
    矫正牙齿一定要拔门牙吗?专家解析拔门牙矫正的注意事项

    拔门牙矫正牙齿并非常规操作,但在特定口腔情况下,医生可能会将其作为治疗方案之一,是否需要拔门牙,需结合牙齿拥挤程度、骨性条件、咬合关系及患者诉求综合判断,不能一概而论,门牙位于口腔前部,对美观、发音及咀嚼功能至关重要,因此拔除门牙是正畸治疗...

    2026-01-22
    39 0 0
  • 杭州牙齿矫正过程要经历哪些阶段?时间与注意事项有哪些?

    杭州牙齿矫正过程要经历哪些阶段?时间与注意事项有哪些?

    杭州牙齿矫正过程是一个系统化、个性化的口腔治疗流程,结合现代数字化技术与医学美学,旨在通过科学方法调整牙齿排列、咬合关系及面部形态,最终实现功能与美观的双重改善,在杭州,随着口腔医疗技术的成熟,矫正流程已形成标准化体系,患者从初诊到完成矫正...

    2026-01-22
    66 0 0
  • 矫正牙齿挂号要注意哪些?挂号前这些细节别忽略!

    矫正牙齿挂号要注意哪些?挂号前这些细节别忽略!

    矫正牙齿是改善口腔健康与面部美观的重要治疗过程,而挂号作为第一步,直接关系到后续治疗的顺利与否,许多患者因对挂号流程、注意事项不熟悉,可能出现挂错科室、选错医生、资料不全等问题,延误治疗时机,详细了解矫正牙齿挂号的各个环节及注意事项,能有效...

    2026-01-22
    24 0 0
  • 钢丝矫正牙齿前期,需做哪些准备及避免哪些事项?

    钢丝矫正牙齿前期,需做哪些准备及避免哪些事项?

    钢丝矫正牙齿前期是整个矫正过程中的关键准备阶段,直接关系到后续矫正效果和治疗体验,这一阶段通常从患者决定通过钢丝矫正改善牙齿问题开始,到正式戴上托槽和弓丝为止,涉及多个专业步骤和患者配合要点,需要医患双方共同协作完成,咨询与全面检查:明确矫...

    2026-01-22
    38 0 0
  • 小孩隐形矫正牙齿效果好吗?有哪些注意事项?

    小孩隐形矫正牙齿效果好吗?有哪些注意事项?

    小孩隐形矫正牙齿是近年来口腔正畸领域的重要进展,尤其受到家长和孩子的青睐,传统金属托槽矫正因美观性差、舒适度低等问题,常让学龄儿童产生抗拒心理,而隐形矫正以其透明、便捷的特性,为儿童牙齿矫正提供了更友好的选择,但家长在考虑这一方案时,需全面...

    2026-01-22
    34 0 0
  • 牙齿矫正能用烤瓷牙吗?效果及注意事项有哪些?

    牙齿矫正能用烤瓷牙吗?效果及注意事项有哪些?

    牙齿矫正是通过外力引导牙齿在牙槽骨内移动,使其排列整齐、咬合协调的口腔治疗方式,而烤瓷牙则是以金属为基底、表面覆盖瓷层的修复体,二者结合能实现牙齿功能与美观的双重改善,许多人在牙齿矫正后,因原有牙齿缺损、变色或形态异常,仍需通过烤瓷牙进一步...

    2026-01-22
    42 0 0
  • 南京磨牙矫正牙齿有哪些有效方法和注意事项?

    南京磨牙矫正牙齿有哪些有效方法和注意事项?

    磨牙(医学上称为“磨牙症”)是一种常见的口腔问题,表现为无意识地在夜间或白天紧咬牙关或研磨牙齿,长期下来可能导致牙齿过度磨损、牙本质敏感、颞下颌关节紊乱,甚至影响面部肌肉和咀嚼功能,南京作为医疗资源丰富的城市,针对磨牙症的矫正方案已形成成熟...

    2026-01-21
    16 0 0
  • 牙齿不齐选隐形矫正?效果与注意事项有哪些?

    牙齿不齐选隐形矫正?效果与注意事项有哪些?

    牙齿不齐是口腔中常见的问题,不仅可能影响面部美观,还可能导致咀嚼功能下降、清洁困难引发龋齿、牙周炎,甚至对心理健康造成困扰,随着医疗技术的进步,隐形矫正凭借其美观、舒适、便捷等优势,逐渐成为越来越多牙齿不齐患者的首选,本文将详细介绍隐形矫正...

    2026-01-21
    17 0 0
  • 牙齿矫正后发现问题,投诉找哪些部门?流程和注意事项有哪些?

    牙齿矫正后发现问题,投诉找哪些部门?流程和注意事项有哪些?

    牙齿矫正过程中,若遇到医生资质不符、矫正效果不达预期、收费不透明、服务态度恶劣等问题,当与诊所协商无果时,投诉是维护自身合法权益的重要途径,有效的投诉需明确渠道、准备充分材料、遵循规范流程,才能提高问题解决效率,以下从投诉情形、对应部门、核...

    2026-01-21
    36 0 0
  • 牙齿拥挤矫正哪家好?选靠谱机构要注意这些!

    牙齿拥挤矫正哪家好?选靠谱机构要注意这些!

    牙齿拥挤是口腔科常见的错颌畸形问题,不仅影响面部美观,还可能导致清洁困难、龋齿、牙周病,甚至咀嚼功能下降,选择一家专业、靠谱的矫正机构对矫正效果至关重要,本文将从资质、医生、技术、服务、口碑等维度详细解析如何判断“牙齿拥挤矫正哪家好”,并附...

    2026-01-21
    70 0 0