拜博口腔网

  • 为何有人正畸中途放弃?背后原因是什么?

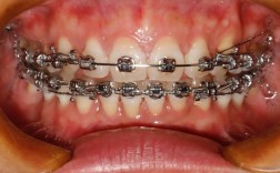
    为何有人正畸中途放弃?背后原因是什么?

    牙齿正畸已成为现代人改善口腔健康与面部美观的常见选择,但临床数据显示,约15%-20%的正畸患者会因各种原因中途放弃,这一现象不仅让前期投入的时间、金钱付诸东流,更可能给牙齿健康埋下隐患,为何有人会放弃正畸?放弃后又面临哪些问题?如何科学应...

    2025-12-20
    12 0 0
  • 种植牙导板能高温消毒吗?

    种植牙导板能高温消毒吗?

    种植牙导板通常不建议使用高温高压蒸汽灭菌(如121°C)进行消毒,主要原因如下:📍1.材料特性:*种植导板通常由**树脂类材料(如光固化树脂、环氧树脂)或高性能工程塑料(如PEEK-聚醚醚酮)**制成,*这些材料在高温下(尤其是...

    2025-11-25
    85 0 0
  • 种植牙80岁

    种植牙80岁

    80岁老人能否做种植牙,答案是:可以,但需要非常严格的个体化评估和充分的准备,年龄本身不是绝对禁忌症,但高龄确实会增加一些风险和挑战,需要医生和患者/家属共同权衡利弊,以下是针对80岁老人种植牙需要重点考虑的方面:🧬1.全身健康状况评...

    2025-11-25
    26 0 0
  • 牙齿矫正真的很疼吗?矫正期间疼痛感强不强?能忍受吗?

    牙齿矫正真的很疼吗?矫正期间疼痛感强不强?能忍受吗?

    牙齿矫正过程中确实会伴随一些不适感,但说它“很疼”可能有些夸张,更准确的描述是酸痛、胀痛或压力感,而且这种疼痛通常是暂时的、可控的,并且因人而异,以下是关于牙齿矫正疼痛的详细说明:🦷1.疼痛的主要来源和发生时间初戴矫治器后(1-5天)...

    2025-10-27
    53 0 0
  • 牙齿矫正会很痛吗?痛感能承受吗?

    牙齿矫正会很痛吗?痛感能承受吗?

    牙齿矫正过程中通常会有不适感,但“很痛”这个程度因人而异,且绝大多数人认为这种不适是可以忍受的,它更像是一种酸痛、胀痛或压力感,而不是持续性的剧痛,以下是关于矫正过程中疼痛和不适的详细说明:📍1.不适的主要来源和发生时间初戴矫正器时:...

    2025-10-27
    63 0 0
  • 牙齿矫正的时候到底疼不疼?矫正过程的疼痛程度如何?

    牙齿矫正的时候到底疼不疼?矫正过程的疼痛程度如何?

    牙齿矫正过程中确实可能会经历一些不适或疼痛,但程度因人而异,且通常是暂时的、可以管理的,大部分人都能够忍受并顺利完成矫正,以下是关于矫正疼痛的详细说明:🦷1.什么时候最疼?***刚戴上/更换牙套后:**这是最常见的疼痛期,***...

    2025-10-26
    47 0 0
  • 1 / 1
  • 1