拜博口腔网

  • 种植牙后多久能适应?恢复自然咀嚼和舒适感需多长时间?

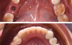
    种植牙后多久能适应?恢复自然咀嚼和舒适感需多长时间?

    种植牙后的适应时间因人而异,主要取决于以下几个关键因素:恢复阶段:术后初期(术后1-3天):这是最不适应的时期,手术部位会有明显的肿胀、疼痛、淤青,可能还有轻微渗血,这是正常的炎症反应,医生通常会开止痛药和消炎药来缓解,咀嚼功能基本丧失,...

    2025-11-24
    28 0 0
  • 牙齿矫正用冰晶自锁托槽,效果舒适度真的比传统好吗?

    牙齿矫正用冰晶自锁托槽,效果舒适度真的比传统好吗?

    “冰晶自锁”通常指的是陶瓷自锁托槽,它是牙齿矫正托槽的一种,结合了美观性(陶瓷材质)和自锁技术(减少摩擦力)两大特点,下面详细解释一下这种托槽以及它的优缺点:什么是陶瓷自锁托槽(冰晶自锁)?材质:陶瓷:主要由高强度的单晶或多晶氧化铝(蓝宝...

    2025-11-21
    32 0 0
  • 硅胶牙齿矫正器的矫正效果、舒适度及安全性如何?

    硅胶牙齿矫正器的矫正效果、舒适度及安全性如何?

    🦷核心关系:硅胶是现代隐形矫正器的核心材料隐形矫正器的主要材质:目前市面上主流的隐形矫正器品牌(如隐适美、Spark、正雅等)几乎全部采用医用级高分子聚合物材料制成,这种材料最核心的成分就是热塑性聚氨酯弹性体,本质上就是一种特殊的硅胶(或...

    2025-11-21
    35 0 0
  • 隐形矫正牙齿好吗?效果、舒适度与传统对比如何?

    隐形矫正牙齿好吗?效果、舒适度与传统对比如何?

    矫正牙齿选择隐形牙套(如隐适美、时代天使等)是否“好”,这个问题没有绝对的答案,因为它高度依赖于个人的具体情况、需求、预算和自律性,隐形矫正有非常明显的优势,但也有其局限性,以下是隐形矫正的主要优缺点分析,帮助你判断它是否适合你:🌟隐形矫...

    2025-11-20
    45 0 0
  • 传统托槽牙齿矫正效果如何?优缺点有哪些?

    传统托槽牙齿矫正效果如何?优缺点有哪些?

    🧩一、什么是传统托槽矫正?传统托槽矫正,也称为“固定矫治”,是指通过将托槽(小金属或陶瓷方块)粘接在牙齿的唇面(外面)或舌面(里面),然后利用弓丝(金属丝)穿过托槽上的槽沟,并施加持续、轻柔的力量,来移动牙齿,最终达到排列整齐、改善咬合...

    2025-11-20
    27 0 0
  • 隐形矫正牙齿效果如何?舒适度好吗?适合哪些人?价格贵不贵?复诊频繁吗?

    隐形矫正牙齿效果如何?舒适度好吗?适合哪些人?价格贵不贵?复诊频繁吗?

    看到你问“隐形矫正牙齿s”,我猜你可能想了解“隐形矫正牙齿”,特别是“隐适美”(Invisalign)这个品牌,因为“s”可能是打字时的多余字符或者指代某个特定系列(比如隐适美S系列,但更常见的是直接说隐适美),我来为你详细解释一下隐形矫正...

    2025-11-18
    43 0 0
  • 牙齿矫正陶瓷的效果、舒适度及安全性如何?

    牙齿矫正陶瓷的效果、舒适度及安全性如何?

    什么是陶瓷托槽?陶瓷托槽是牙齿矫正(正畸)中使用的“小装置”,它们被粘合在牙齿表面,用来固定矫正弓丝,从而施加力量移动牙齿,与传统的金属托槽不同,陶瓷托槽的主要特点是美观性——它们通常由透明或与牙齿颜色相近的高强度陶瓷材料制成,这使得它们在...

    2025-11-18
    42 0 0
  • 传统矫正牙齿效果好吗?优缺点有哪些?安全与舒适度如何?

    传统矫正牙齿效果好吗?优缺点有哪些?安全与舒适度如何?

    “传统矫正牙齿”通常指的是使用金属托槽(钢牙)和弓丝的固定矫正技术,这是牙齿矫正领域最经典、应用最广泛的方法之一,它到底好不好呢?答案是:它非常有效,但也有明显的优缺点,是否“好”取决于你的具体需求、牙齿状况、预算和个人偏好,以下是传统矫正...

    2025-11-17
    29 0 0
  • 孩子牙齿隐形矫正,家长最关心的效果与安全问题有哪些?

    孩子牙齿隐形矫正,家长最关心的效果与安全问题有哪些?

    🦷一、什么是牙齿隐形矫正?原理:利用一系列由透明高分子材料(如医用级高分子聚合物)制成的、可自行摘戴的透明牙套,过程:正畸医生通过专业软件(如Invisalign的ClinCheck)为患者量身定制一套牙套序列,每副牙套都有微小的、...

    2025-11-17
    36 0 0
  • 2025牙齿矫正器弹簧黑科技?舒适度效果双提升?

    2025牙齿矫正器弹簧黑科技?舒适度效果双提升?

    牙齿矫正器中的“弹簧”是正畸治疗中非常重要的力学元件,它们的核心作用是提供轻柔、持续、可控的力,引导牙齿在牙槽骨中缓慢、安全地移动到理想位置,这些“弹簧”并非我们日常所见的那种螺旋弹簧,而是由正畸丝(弓丝)在特定位置弯制或形成的特殊形状,...

    2025-11-17
    36 0 0