拜博口腔网

  • 矫正牙齿打骨钉的费用大概是多少?

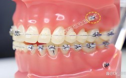
    矫正牙齿打骨钉的费用大概是多少?

    矫正牙齿(正畸)打骨钉(微型种植体支抗钉)的费用没有一个固定的全国统一价,它会受到多种因素的影响,价格差异较大,单颗骨钉的费用大致在1000元人民币到5000元人民币之间,甚至更高,以下是影响骨钉费用的主要因素:地区差异:一线城市(...

    2025-11-22
    22 0 0
  • 矫正牙齿打骨钉痛不痛?

    矫正牙齿打骨钉痛不痛?

    矫正牙齿打骨钉(微型种植钉或支抗钉)的过程通常不会感到剧烈疼痛,但会有一些不适感,具体感受因人而异,以下是详细的分析:📍1.打麻药阶段(可能有一点刺痛)在正式植入骨钉之前,医生会在植入点周围注射局部麻醉药(利多卡因等),注射麻药时,针头...

    2025-11-20
    28 0 0
  • 2025牙齿矫正一定要打骨钉吗?现在还有其他选择吗?

    2025牙齿矫正一定要打骨钉吗?现在还有其他选择吗?

    牙齿矫正不一定需要打钉(骨钉/支抗钉),是否需要打钉,完全取决于你的具体牙齿问题、矫正目标以及医生的治疗方案设计,骨钉(微型种植体)是正畸医生在矫正过程中使用的一种支抗增强工具,它的主要作用是提供稳定、强大的支抗,帮助医生更精准、更高效地移...

    2025-11-16
    43 0 0
  • 牙齿矫正打钉子现在疼吗?

    牙齿矫正打钉子现在疼吗?

    关于牙齿矫正中“打钉子”(通常指植入微种植体支抗钉,也叫种植钉、骨钉)的疼痛问题,我可以给你一个比较全面和坦诚的回答:大多数人在植入种植钉时感觉到的疼痛是轻微、短暂且可控的,远没有想象中可怕,但具体感受因人而异,也取决于操作过程和术后护理...

    2025-11-15
    43 0 0
  • 2025矫正新趋势,打骨钉的好处到底值不值?

    2025矫正新趋势,打骨钉的好处到底值不值?

    矫正牙齿时打骨钉(也称为微种植体支抗钉、微种植钉、骨钉等)是现代正畸技术中非常常用且高效的辅助工具,它的主要好处在于提供稳定、强大、可控的支抗,从而实现传统方法难以达到的牙齿移动效果,尤其适用于一些复杂或精细的矫正需求,以下是打骨钉的主要好...

    2025-11-12
    83 0 0
  • 2025最新,矫正牙齿必须打钉吗?医生揭秘

    2025最新,矫正牙齿必须打钉吗?医生揭秘

    矫正牙齿(正畸治疗)不一定需要打钉(通常指“种植支抗钉”或“微型种植钉”),是否需要打钉,完全取决于你的牙齿错颌畸形的具体类型、严重程度以及正畸医生的治疗方案设计,大部分情况不需要打钉:对于简单的牙齿拥挤、轻度牙列不齐、简单的深覆合或深覆盖...

    2025-11-11
    36 0 0
  • 矫正打骨钉现在还痛吗?最新情况怎么样?

    矫正打骨钉现在还痛吗?最新情况怎么样?

    矫正牙齿打骨钉(也称为微种植体支抗钉、种植钉、骨钉)的疼痛感受是很多人关心的问题,在操作过程中通常不会感到明显疼痛,但术后会有一定的不适感,大多数人觉得可以接受,以下是详细的分析:🦷1.操作过程中的疼痛(通常不痛或轻微)局部麻醉是关键:...

    2025-11-11
    42 0 0
  • 矫正牙齿要打骨钉?2025年专家最新解答!

    矫正牙齿要打骨钉?2025年专家最新解答!

    矫正牙齿会打”这个问题,需要分情况讨论,因为“打”这个词在口腔矫正中有不同的含义:📍1.“打”指打麻药(局部麻醉)常见情况:拔牙:如果矫正方案中需要拔除某些牙齿(通常是为拥挤的牙齿创造空间),在拔牙过程中医生会注射局部麻醉剂,确保拔牙...

    2025-11-03
    60 0 0
  • 矫正牙齿为什么要打钉

    矫正牙齿为什么要打钉

    矫正牙齿时打的“钉子”,在专业术语中称为微种植体支抗,或者更通俗地称为骨钉或种植钉,它们是一种非常小(直径通常只有1.5-2毫米左右)、由生物相容性很好的钛合金制成的螺钉,通过微创手术的方式植入到颌骨的特定位置(通常是牙槽骨内),为什么需要...

    2025-10-31
    38 0 0
  • 牙齿矫正必须打骨钉吗?

    牙齿矫正必须打骨钉吗?

    牙齿矫正并不都需要打骨钉,是否需要打骨钉(也称为微种植体支抗钉)完全取决于你的具体牙齿问题、矫正目标、医生的治疗方案以及患者的意愿,骨钉是矫正医生在特定情况下用来增强支抗(抵抗牙齿移动的反作用力)的一种工具,而不是所有矫正的必需品,什么时候...

    2025-10-28
    62 0 0
  • 1 / 2
  • 1
  • 2