拜博口腔网

  • 正畸加力的具体方法有哪些?

    正畸加力的具体方法有哪些?

    正畸加力是口腔正畸治疗中的核心环节,通过矫治装置对牙齿施加持续、轻柔的生理性力量,引导牙齿在牙槽骨中按照预设方向移动,最终实现排列整齐、咬合协调的目标,加力的科学性与合理性直接影响治疗效果、治疗周期及患者舒适度,需根据个体差异、牙齿移动类型...

    2025-12-21
    13 0 0
  • 正畸弱支抗方法如何高效实现精准矫治?

    正畸弱支抗方法如何高效实现精准矫治?

    正畸治疗中,支抗控制是决定治疗效果的核心环节之一,其本质是通过特定装置或手段抵抗牙齿移动的反作用力,引导目标牙按计划移动,弱支抗是指支抗单位提供的抗力较小,允许一定程度的前牙移动或后牙轻微前移,常用于前牙需要大量内收、深覆合纠正或上下颌牙量...

    2025-12-21
    9 0 0
  • 正畸TPA的英文是什么?它的全称又是什么?

    正畸TPA的英文是什么?它的全称又是什么?

    正畸治疗中,TPA是一个常见的专业术语,其英文全称为TranspalatalArch,中文通常译为“横腭弓”或“腭杆”,作为固定矫治技术中的重要辅助装置,TPA主要通过连接上颌左右后牙(通常为第一磨牙和第二前磨牙或第一磨牙),利用其特定的...

    2025-12-19
    9 0 0
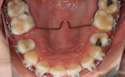
  • 正畸治疗为何离不开面弓?其意义何在?

    正畸治疗为何离不开面弓?其意义何在?

    正畸治疗的核心目标是通过牙齿移动和颌骨改建,实现牙齿排列整齐、咬合功能稳定及面部美观协调的统一,在这一过程中,面弓作为一种关键的口外支抗装置,其意义不仅在于传递矫治力,更在于通过精准的生物力学控制,解决复杂错颌畸形中的颌骨与牙齿位置问题,尤...

    2025-12-19
    10 0 0
  • 下颌种植支抗方法的适用情况与效果怎样?

    下颌种植支抗方法的适用情况与效果怎样?

    下颌种植支抗是正畸治疗中利用外科手术将种植体植入下颌骨内,作为稳定支抗单位,实现牙齿精准移动的重要技术,其核心原理是通过种植体与周围骨组织的骨整合,提供强大的支抗力,避免传统支抗方式(如口外弓、Nance弓等)可能出现的支抗丢失或患者不适,...

    2025-12-19
    17 0 0
  • 传统正畸磨牙远移的方法有哪些?如何操作?

    传统正畸磨牙远移的方法有哪些?如何操作?

    传统正畸磨牙远移是指在固定矫治技术中,通过特定装置对上颌或下颌磨牙(通常为第一磨牙或第二磨牙)施加持续、轻柔的远中向力(向口腔后方移动),以解除前牙拥挤、纠正磨牙关系异常(如Ⅱ类或Ⅲ类错颌)、改善牙弓长度不调等问题,是避免或减少拔牙矫治的重...

    2025-12-18
    21 0 0
  • 种牙为何要打支抗钉?作用和风险有哪些?

    种牙为何要打支抗钉?作用和风险有哪些?

    为了种植牙(种植修复)而打支抗钉,这种情况确实存在,但通常不是在种植牙手术本身时进行,而是在种植牙之前的正畸(牙齿矫正)阶段使用,支抗钉(骨钉)是种牙前“准备土地”的工具之一,以下是详细解释:🧩1.为什么需要支抗钉?(作用)解决空间问题...

    2025-12-18
    16 0 0
  • 临床上如何有效实现上颌6的压低?

    临床上如何有效实现上颌6的压低?

    压低磨牙需要强大的支抗,以防止前牙被压低(导致深覆合加重)或后牙整体前移,要避免牙根吸收、牙髓坏死等并发症,以下是常用的压低上颌6的方法,通常需要正畸医生根据患者的具体错颌类型、骨骼情况、牙根形态、牙周状况以及可利用的支抗来选择组合使用:🛠...

    2025-12-18
    19 0 0
  • 正畸治疗中调整中线位置的有效方法有哪些?

    正畸治疗中调整中线位置的有效方法有哪些?

    正畸治疗中调整中线是一个常见且重要的目标,涉及到将上下牙弓的中线(通过上下颌中切牙接触点的垂直线)调整到一致或理想位置,中线不齐的原因多种多样,调整方法也因此不同,需要根据具体病因、患者年龄、生长发育状态以及错颌畸形的严重程度来制定个性化方...

    2025-12-12
    9 0 0
  • 正畸前牙往后收5mm,效果如何实现?

    正畸前牙往后收5mm,效果如何实现?

    正畸前牙往后收5mm是一个显著且可行的牙齿移动目标,但具体效果、可行性和风险需要专业正畸医生进行详细评估才能确定,以下是关于这个目标的关键信息:📍1.可行性与效果可行:5mm的内收在正畸学上是一个相对常见的移动距离,通常用于改善前突(...

    2025-12-09
    16 0 0