拜博口腔网

  • 口腔儿童反颌正畸

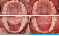
    口腔儿童反颌正畸

    口腔儿童反颌,俗称“地包天”,是指下前牙咬合在上前牙唇侧,或下颌整体处于上颌前方的异常咬合关系,在儿童生长发育期,反颌不仅影响牙齿排列,还可能干扰颌骨正常发育,需引起家长重视,儿童反颌的成因复杂,主要包括遗传因素、不良习惯及局部功能障碍,若...

    2026-01-02
    13 0 0
  • 功能诱导与正畸治疗,如何选择早期矫治方案?

    功能诱导与正畸治疗,如何选择早期矫治方案?

    正畸治疗与功能诱导是口腔正畸领域中两种重要的干预手段,前者主要通过机械性力量调整牙齿与颌骨的位置关系,后者则侧重于利用患者自身的肌肉功能及生长发育潜力引导颌面部正常发育,两者在治疗目标、适用人群及实施方式上存在显著差异,却又常相互配合,共同...

    2025-12-30
    12 0 0
  • 儿童前牙反颌正畸的最佳矫治时机是什么时候?

    儿童前牙反颌正畸的最佳矫治时机是什么时候?

    患者:小明(化名),男,7岁6个月主诉:家长发现孩子上前牙咬在下前牙舌侧,影响美观和咀嚼,就诊时间:混合牙列早期(乳牙列即将结束,恒前牙开始萌出),临床检查与诊断口外检查:面型:面下1/3略显凹陷,下颌前突,颏部前突,上唇后缩,鼻...

    2025-12-12
    12 0 0
  • 乳前牙反合矫治方法

    乳前牙反合矫治方法

    乳前牙反合(俗称“地包天”)在乳牙期(通常指2.5岁至6岁)较为常见,早期干预非常重要,乳牙反合不仅影响咀嚼、发音、美观,更重要的是可能对颌骨发育产生不良影响,增加恒牙反合的风险和矫治难度,矫治原则:早期干预:一旦确诊为乳前牙反合,且存在...

    2025-12-08
    15 0 0
  • 儿童矫正牙方法是什么

    儿童矫正牙方法是什么

    儿童牙齿矫正(正畸)的方法多种多样,选择哪种方法取决于孩子的具体牙齿问题、年龄、生长发育阶段、配合度以及家长和孩子的期望(如美观度、舒适度等),以下是目前儿童常用的几种主要矫正方法:🦷一、固定矫治器(最常见的类型)传统金属托槽("钢牙"...

    2025-12-05
    30 0 0
  • 乳牙替牙期矫治方法有哪些?如何把握最佳干预时机?

    乳牙替牙期矫治方法有哪些?如何把握最佳干预时机?

    乳牙期矫治(PrimaryDentitionStage,约6个月-6岁)主要矫治目标恢复口腔功能:确保咀嚼、发音、吞咽功能正常,引导颌骨发育:纠正影响颌骨正常生长的异常(如反颌),引导恒牙正常萌出:为即将萌出的恒牙创造良好...

    2025-11-29
    11 0 0
  • 8岁矫正牙齿,现在开始正畸效果如何?

    8岁矫正牙齿,现在开始正畸效果如何?

    8岁是进行牙齿矫正(正畸)的一个重要且常见的年龄,这个阶段通常被称为混合牙列期(乳牙和恒牙并存),这个时期进行早期干预(PhaseI/第一阶段矫正)在特定情况下非常有益,但并非所有8岁的孩子都需要矫正,以下是关于8岁孩子牙齿矫正的关键信息...

    2025-11-16
    45 0 0
  • 四岁矫正牙齿,现在会不会太早?

    四岁矫正牙齿,现在会不会太早?

    看到你在关心四岁孩子的牙齿矫正问题,这确实是个值得关注的时机!四岁这个阶段,虽然不是传统意义上的“戴牙套”矫正年龄,但确实是进行早期干预或预防性矫正的关键时期,我来详细解释一下四岁矫正牙齿的相关信息:📍为什么四岁可能需要矫正?这个年龄的矫...

    2025-10-31
    36 0 0
  • 1 / 1
  • 1