拜博口腔网

  • 珠海植牙多少钱?靠谱医院怎么选?

    珠海植牙多少钱?靠谱医院怎么选?

    珠海作为粤港澳大湾区的重要节点城市,近年来在口腔医疗领域发展迅速,种植牙技术日益成熟,成为越来越多缺牙患者的优选方案,随着居民口腔健康意识的提升和医疗技术的进步,珠海植牙市场呈现出需求旺盛、服务多元的特点,从高端私立口腔诊所到公立医院口腔科...

    2026-01-01
    12 0 0
  • 珠海正畸哪个医院好

    珠海正畸哪个医院好

    珠海正畸选择哪家医院,是不少市民关心的问题,正畸不仅关乎牙齿美观,更影响咬合功能、口腔健康甚至面部轮廓,因此选择专业、靠谱的医院至关重要,判断一家医院是否适合,需综合考量资质、医生技术、设备先进性、服务体验及价格等多方面因素,下面从这些维度...

    2026-01-01
    11 0 0
  • 珠海植牙价格表

    珠海植牙价格表

    珠海作为珠三角重要的海滨城市,近年来口腔医疗行业发展迅速,种植牙技术也逐渐成熟,对于有牙齿缺失问题的市民来说,种植牙因其美观、舒适、咀嚼功能接近真牙等优点,成为修复缺失牙的理想选择,种植牙的价格一直是大家关注的焦点,由于种植体品牌、牙冠材料...

    2025-12-31
    8 0 0
  • 珠海惠民种牙

    珠海惠民种牙

    珠海惠民种牙政策是珠海市政府响应“健康中国2030”规划纲要,针对市民“种牙贵、种牙难”问题推出的重要民生举措,旨在通过政府补贴、规范市场、优化流程等方式,降低种植牙费用,提升口腔医疗服务可及性,自政策实施以来,已帮助数万市民重获健康牙齿,...

    2025-12-27
    10 0 0
  • 珠海摩尔口腔种牙效果如何?价格透明吗?值得信赖吗?

    珠海摩尔口腔种牙效果如何?价格透明吗?值得信赖吗?

    珠海摩尔口腔作为当地知名的口腔医疗机构,在种植牙领域积累了丰富的临床经验和技术优势,致力于为缺牙患者提供高效、安全、美观的修复方案,机构拥有专业的医疗团队、先进的诊疗设备以及严格的服务流程,从术前检查到术后维护形成完整体系,帮助众多患者重获...

    2025-12-19
    9 0 0
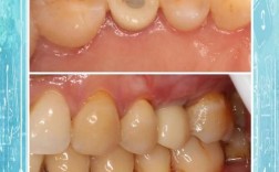
  • 珠海拜博种牙价格

    珠海拜博种牙价格

    珠海拜博种牙价格2024最新:多少钱一颗?附费用构成+避坑指南牙齿缺失后,种植牙因“媲美真牙、稳固耐用”成为越来越多珠海市民的修复首选,而作为珠海地区知名的连锁口腔机构,“拜博口腔”常被问到:“在拜博种牙要多少钱?”本文结合2024年最新市...

    2025-12-18
    13 0 0
  • 珠海拜博口腔 曾志铎

    珠海拜博口腔 曾志铎

    专业种植牙与正畸口碑,2024最新医保政策与就诊指南在珠海,提到“靠谱的口腔医生”和“规范的口腔机构”,很多人会第一时间想到珠海拜博口腔和曾志铎医生,随着大众对口腔健康需求的升级,从基础的补牙拔牙到复杂的种植牙、牙齿矫正,消费者越来越注重医...

    2025-11-30
    7 0 0
  • 珠海大病医保政策覆盖哪些病?报销比例和申请条件如何?

    珠海大病医保政策覆盖哪些病?报销比例和申请条件如何?

    2024最新版!珠海大病医保政策全解读:报销比例、申请流程、常见问题一文看懂在珠海,一场大病不仅考验患者的健康,更可能给家庭带来沉重的经济负担,而珠海大病医保(即珠海市城乡居民大病保险或职工大额医疗费用补助),正是市民应对高额医疗费用的“安...

    2025-11-19
    62 0 0
  • 2025珠海牙齿矫正怎么选?最新价格&技术攻略来了!

    2025珠海牙齿矫正怎么选?最新价格&技术攻略来了!

    珠海的牙齿矫正(正畸)服务选择非常丰富,涵盖了公立医院口腔科、大型连锁口腔诊所以及本地信誉良好的私立诊所,选择哪家取决于你的具体需求、预算、对医生和机构的要求,以及牙齿矫正的复杂程度,以下是关于珠海牙齿矫正的详细信息和选择建议:🏥一、主...

    2025-11-15
    69 0 0
  • 2025珠海Straumann种植牙最新效果怎么样?

    2025珠海Straumann种植牙最新效果怎么样?

    Straumann(士卓曼)种植牙简介品牌地位:Straumann是全球领先的种植牙品牌之一,瑞士制造,以其高品质、高成功率、卓越的生物相容性和长期稳定性而闻名,核心优势:材料:主要采用纯钛(Titanium)和创新的Roxolid®...

    2025-11-14
    37 0 0
  • 1 / 2
  • 1
  • 2