拜博口腔网

  • 种牙植骨什么人

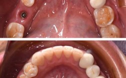
    种牙植骨什么人

    种植牙是目前修复缺失牙的有效方式,但并非所有人都能直接进行种植牙手术,当患者牙槽骨量不足(如骨宽度、高度不够)、骨质量较差时,往往需要先进行植骨手术,为种植体提供足够的骨支持,究竟哪些人需要进行种牙植骨呢?本文将从多个维度详细解析需要植骨的...

    2025-12-31
    47 0 0
  • 长期缺牙还能种植牙吗?需满足哪些条件?

    长期缺牙还能种植牙吗?需满足哪些条件?

    长期缺牙通常是可以进行种植牙修复的,但需要根据具体情况评估,并且治疗过程可能会比近期缺牙的情况更复杂、时间更长、费用也可能更高,以下是长期缺牙进行种植牙需要考虑的关键因素和可能遇到的问题:🦴1.牙槽骨吸收与萎缩(最主要的问题)原因:牙...

    2025-11-26
    60 0 0
  • 缺多颗牙适合种植牙吗?种植修复的适用情况有哪些?

    缺多颗牙适合种植牙吗?种植修复的适用情况有哪些?

    是的,缺多颗牙通常非常适合种植牙修复,甚至可以说是目前最理想、最接近天然牙的修复方式之一,但是否适合以及具体方案如何,需要经过专业医生的全面评估,以下是关于多颗牙缺失进行种植牙修复的详细分析:✅为什么多颗牙缺失非常适合种植牙?恢复咀嚼功能...

    2025-11-25
    35 0 0
  • 1 / 1
  • 1