拜博口腔网

  • 保留牙根种植牙,比传统种植好在哪?

    保留牙根种植牙,比传统种植好在哪?

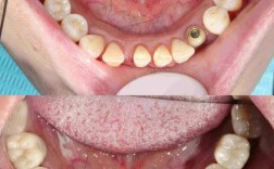
    “保留牙根种植牙”这个说法通常指的是在牙齿的牙根仍然健康或经过处理后可以保留的情况下,直接利用这个牙根作为基础,在上面进行修复(如牙冠)或结合种植体进行修复,这其实是一个比较笼统的概念,在临床上主要有以下几种具体形式和情况:🦷核心概念:利...

    2025-11-27
    35 0 0
  • 1 / 1
  • 1