强烈不建议半口种牙后吸烟!这不仅会严重影响手术的成功率,还会显著增加种植牙失败的风险,并缩短其使用寿命,以下是详细的解释和原因:🚬1.严重阻碍伤口愈合和骨结合(核心问题)***血液循环受阻:**尼古丁是一种强效的血管收缩剂,会使血...
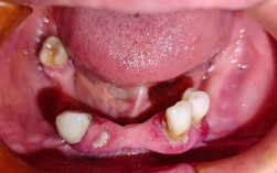
种牙期间吃东西有影响,而且影响非常大,饮食管理是种植牙成功恢复的关键环节之一,尤其是在手术后的初期阶段,以下是不同阶段饮食对种植牙的影响及注意事项:🦷1.手术后初期(术后24-48小时-血肿形成与稳定期)影响:血凝块脱落风险:这是...