拜博口腔网

  • 第二前磨牙阻生做正畸

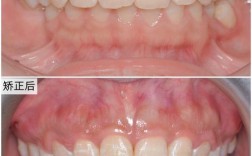
    第二前磨牙阻生做正畸

    第二前磨牙阻生(通常指上颌第二前磨牙)是正畸临床中相对常见但处理起来比较棘手的情况,阻生的牙齿未能正常萌出到牙弓中,可能埋伏在颌骨内、倾斜生长、或者被邻近牙齿阻挡,处理第二前磨牙阻生正畸的目标通常是:成功引导阻生牙萌出到理想位置(如果可能且...

    2025-12-06
    42 0 0
  • 1 / 1
  • 1