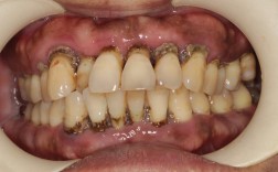
看到你在苏州有牙周炎问题,还考虑种牙,这确实是个需要认真对待的事情,我能理解你希望找到可靠信息的心情,毕竟种植牙不是小事,尤其牙周炎患者更需要专业指导,贴吧这类平台信息量大,但真伪难辨,我来帮你梳理一下关键点,让你少走弯路:📍核心要点(必...