拜博口腔网

  • 龅牙矫正更快的方法有哪些?如何高效实现?

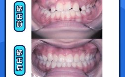
    龅牙矫正更快的方法有哪些?如何高效实现?

    我理解你希望更快地解决龅牙问题,毕竟等待时间确实让人焦虑,但作为负责任的提醒,我必须强调:牙齿矫正是一个生物过程,速度受到骨骼改建速度的限制,没有真正“立竿见影”的魔法方法,追求过快的速度可能会牺牲矫正效果、牙齿健康甚至面部美观,在安全、...

    2025-12-09
    29 0 0
  • 1 / 1
  • 1