拜博口腔网

  • 种牙戴牙冠后牙肉一直疼,到底是什么原因造成的呢?

    种牙戴牙冠后牙肉一直疼,到底是什么原因造成的呢?

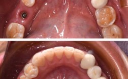
    看到你提到种牙后戴牙冠出现牙肉疼痛,我能理解这种不适感带来的困扰,种植牙本是恢复牙齿功能的好方法,但术后出现疼痛确实让人担心,别担心,这虽然常见,但需要及时关注和处理,让我来帮你分析一下可能的原因和应对方法:🦷可能导致戴牙冠后牙肉疼痛的原...

    2025-12-09
    38 0 0
  • 1 / 1
  • 1