二次正畸是指患者在完成首次正畸治疗后,因牙齿复发、效果不满意、新增口腔问题(如牙周病、牙齿磨损)或生长发育等因素,进行的再次矫正治疗,相较于初次正畸,二次正畸的复杂性更高,往往涉及牙齿位置的精细调整、咬合关系的重建,甚至骨性问题的改善,在这...
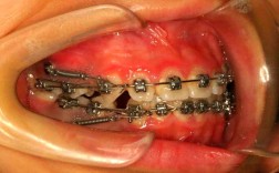
口腔正畸种植钉(也称为微种植体支抗、骨钉)是现代正畸治疗中非常强大的工具,尤其在需要强大、稳定、绝对骨性支抗的情况下(如内收前牙、压低牙齿、移动牙齿整体等)发挥着不可替代的作用,它确实存在一些潜在的缺点和风险,需要在术前充分了解和权衡:主要...