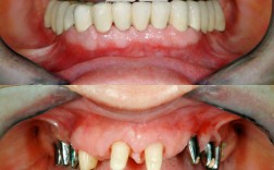
“最里面的牙”通常指的是智齿(第三磨牙)或第二磨牙,能否种植牙,需要根据具体情况综合判断,📍1.如果指的是智齿(第三磨牙):如果智齿本身存在且健康:通常不需要种植牙,智齿如果位置正、能正常萌出、与对颌牙有良好咬合关系、且没有蛀牙、牙周...