拜博口腔网

  • 深圳美奥口腔正畸

    深圳美奥口腔正畸

    深圳美奥口腔作为国内知名连锁口腔品牌在深圳的重要分支,在正畸领域深耕多年,凭借专业的医疗团队、先进的技术设备、个性化的矫正方案以及完善的术后服务,已成为当地市民解决牙齿畸形、改善口腔健康与面部美观的重要选择,其正畸中心不仅涵盖传统金属托槽矫...

    2026-01-04
    46 0 0
  • 美奥口腔儿童正畸

    美奥口腔儿童正畸

    儿童牙齿不齐不仅影响面部美观,还可能导致咀嚼功能下降、发音不清,甚至引发口腔卫生问题,对孩子的身心健康造成长远影响,美奥口腔儿童正畸中心,依托专业的医疗团队与先进的数字化技术,为不同年龄段儿童提供个性化的正畸解决方案,助力孩子拥有健康整齐的...

    2026-01-02
    118 0 0
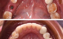
  • 种牙找美奥口腔

    种牙找美奥口腔

    牙齿缺失不仅影响日常咀嚼功能,还可能邻牙倾斜、面部凹陷,对身心健康造成多重困扰,种植牙作为目前公认的牙齿修复优选方案,凭借其媲美真牙的咀嚼功能和稳定性,成为越来越多缺牙人群的选择,而在种植牙领域,选择专业、可靠的机构至关重要,美奥口腔凭借其...

    2025-12-23
    31 0 0
  • 美奥口腔种牙周期一般需要多久?

    美奥口腔种牙周期一般需要多久?

    美奥口腔作为中国知名的连锁口腔医疗机构,其种植牙的周期并没有一个全国统一、绝对固定的标准时间,种植牙周期受多种因素影响,通常需要3-9个月,甚至更长,这主要取决于患者的口腔条件、种植方案、是否需要植骨、是否采用即刻负重技术、以及患者自身的...

    2025-12-12
    30 0 0
  • 1 / 1
  • 1