拜博口腔网

  • 牙周病正畸综合治疗效果如何?

    牙周病正畸综合治疗效果如何?

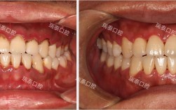
    牙周病是一组累及牙龈、牙周膜、牙槽骨及牙骨质的慢性炎症性疾病,其主要病因是牙菌斑和牙结石堆积,若未及时控制,可导致牙龈退缩、牙槽骨吸收、牙齿移位甚至脱落,正畸治疗通过施加生物力,引导牙齿在牙槽骨内移动,改善排列和咬合功能,但传统正畸对牙周组...

    2025-12-20
    57 0 0
  • 1 / 1
  • 1