拜博口腔网

  • 正畸牙齿移动动态图

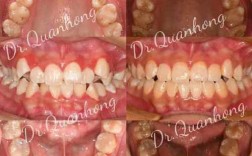
    正畸牙齿移动动态图

    正畸治疗的核心在于通过外力引导牙齿在牙槽骨内有序移动,最终实现排列整齐、咬合协调的目标,而“正畸牙齿移动动态图”正是这一过程的直观可视化工具,它通过数字化技术模拟牙齿在治疗周期中的位置变化,帮助医生精准设计治疗方案,也让患者清晰理解治疗原理...

    2025-12-25
    52 0 0
  • 正畸拔牙间隙变化图

    正畸拔牙间隙变化图

    正畸拔牙是临床中常见的治疗手段,主要用于解决牙齿拥挤、前突、咬合关系异常等问题,而拔牙后的间隙管理是决定治疗效果的核心环节,间隙变化图作为记录和分析拔牙后牙齿移动轨迹、牙槽骨改建过程及最终效果的重要工具,通过动态影像和示意图直观展示了从间隙...

    2025-12-25
    52 0 0
  • 1 / 1
  • 1