拜博口腔网

  • 沈阳拜博正畸怎么样

    沈阳拜博正畸怎么样

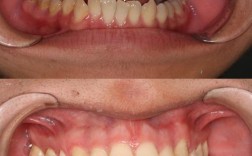
    沈阳拜博口腔作为全国连锁的口腔品牌,在沈阳地区的正畸服务积累了一定的口碑,其整体表现可以从资质背景、医生团队、技术设备、服务流程、价格体系及用户反馈等多个维度综合评估,从实际体验和行业对比来看,沈阳拜博正畸在专业性、规范性和服务细节上具备一...

    2025-12-25
    137 0 0
  • 1 / 1
  • 1