拜博口腔网

  • 不拍片就种牙

    不拍片就种牙

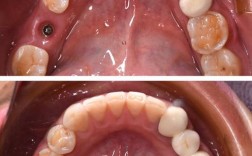
    在口腔医疗领域,种植牙因功能、美观及使用寿命等优势,成为缺牙修复的首选方式,部分机构或医生为缩短诊疗时间、降低成本,或迎合患者“快速种牙”的需求,跳过关键影像检查环节,直接进行种植手术,即“不拍片就种牙”,这种看似高效的做法,实则隐藏着巨大...

    2025-12-27
    9 0 0
  • 1 / 1
  • 1