拜博口腔网

  • 正畸拔牙上4 下5

    正畸拔牙上4 下5

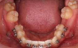
    正畸治疗中,拔牙是常见的调整手段之一,尤其是拔除上颌第一前磨牙(俗称“上4”)和下颌第一前磨牙(俗称“下5”),在临床上应用广泛,这一方案并非随意选择,而是基于牙齿、颌骨、咬合及面部美观等多维度综合评估的结果,其核心目的是通过有限度的牙齿移...

    2025-12-27
    9 0 0
  • 1 / 1
  • 1