拜博口腔网

  • 门牙种牙图片

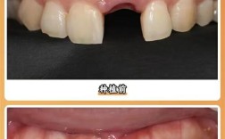
    门牙种牙图片

    门牙作为口腔中最为突出的牙齿,不仅承担着切割食物的功能,更对个人面部美观和自信心有着至关重要的影响,当门牙因意外、疾病或其他原因缺失时,种植牙凭借其美观、稳定、舒适的优势,成为修复的首选方案,而门牙种牙图片则直观展现了从术前评估到最终效果的...

    2025-12-28
    18 0 0
  • 1 / 1
  • 1