拜博口腔网

  • 正畸牵引导致牙歪

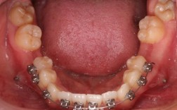
    正畸牵引导致牙歪

    正畸牵引是口腔正畸治疗中常用的技术,通过施加持续、轻柔的牵引力,将错位、萌出不足或埋伏的牙齿移动至正常位置,以恢复牙列的整齐与功能,在牵引过程中,部分患者可能会出现“牙歪”的情况,即牙齿移动后位置偏斜、扭转或与邻牙关系不协调,这不仅影响美观...

    2026-01-02
    28 0 0
  • 1 / 1
  • 1